Skip to main content

Human Erythropoietin/EPO Antibody

R&D Systems, part of Bio-Techne | Catalog # AB-286-NA

R&D Systems, part of Bio-Techne
Catalog #
Availability
Size / Price
Qty
Loading...
AB-286-NA

Key Product Details

Species Reactivity

Validated:

Human

Cited:

Human, Hamster - Cricetulus (Chinese Hamster)

Applications

Validated:

Immunohistochemistry, Western Blot, Neutralization

Cited:

Western Blot, Neutralization, Immunocytochemistry, Immunoprecipitation, ELISA Detection

Label

Unconjugated

Antibody Source

Polyclonal Rabbit IgG

Product Specifications

Immunogen

Chinese hamster ovary cell line (CHO)-derived recombinant human Erythropoietin/EPO

Specificity

Detects human Erythropoietin/EPO in direct ELISAs and Western blots.

Clonality

Polyclonal

Host

Rabbit

Isotype

IgG

Endotoxin Level

<0.10 EU per 1 μg of the antibody by the LAL method.

Scientific Data Images for Human Erythropoietin/EPO Antibody

Cell Proliferation Induced by Erythropoietin/EPO and Neutralization by Human Erythropoietin/EPO Antibody.

Cell Proliferation Induced by Erythropoietin/EPO and Neutralization by Human Erythropoietin/EPO Antibody.

Recombinant Human Erythropoietin/EPO (Tissue Culture Grade) (Catalog # 287-TC) stimulates proliferation in the TF-1 human erythroleukemic cell line in a dose-dependent manner (orange line) as measured by Resazurin (Catalog # AR002). Proliferation elicited by Recombinant Human Erythropoietin/EPO (Tissue Culture Grade) (0.2 units/mL) is neutralized (green line) by increasing concentrations of Rabbit Anti-Human Erythropoietin/EPO Polyclonal Antibody (Catalog # AB-286-NA). The ND50 is typically <3 µg/mL.
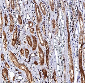
Erythropoietin/EPO antibody in Human Kidney by Immunohistochemistry (IHC-P).

Erythropoietin/EPO in Human Kidney.

Erythropoietin/EPO was detected in immersion fixed paraffin-embedded sections of human kidney using Rabbit Anti-Human Erythropoietin/EPO Polyclonal Antibody (Catalog # AB-286-NA) at 15 µg/mL for 1 hour at room temperature followed by incubation with the Anti-Rabbit IgG VisUCyte™ HRP Polymer Antibody (Catalog # VC003). Tissue was stained using DAB (brown) and counterstained with hematoxylin (blue). Specific staining was localized to convoluted tubules. View our protocol for IHC Staining with VisUCyte HRP Polymer Detection Reagents.

Applications for Human Erythropoietin/EPO Antibody

Application
Recommended Usage

Immunohistochemistry

5-15 µg/mL
Sample: Immersion fixed paraffin-embedded sections of human kidney

Western Blot

1 µg/mL
Sample: Recombinant Human Erythropoietin/EPO (Ultrapure) (Catalog # 286-EP)

Neutralization

Measured by its ability to neutralize Erythropoietin/EPO-induced proliferation in the TF‑1 human erythroleukemic cell line. Kitamura, T. et al. (1989) J. Cell Physiol. 140:323. The Neutralization Dose (ND50) is typically <3 µg/mL in the presence of 0.2 units/mL Recombinant Human Erythropoietin/EPO (Tissue Culture Grade).

Reviewed Applications

Read 1 review rated 4 using AB-286-NA in the following applications:

Formulation, Preparation, and Storage

Purification

Protein A or G purified

Reconstitution

Reconstitute at 1 mg/mL in sterile PBS.

Reconstitution Buffer Available:
Size / Price
Qty
Loading...

Formulation

Lyophilized from a 0.2 μm filtered solution in PBS with Trehalose.

Shipping

The product is shipped at ambient temperature. Upon receipt, store it immediately at the temperature recommended below.

Stability & Storage

Use a manual defrost freezer and avoid repeated freeze-thaw cycles.
  • 12 months from date of receipt, -20 to -70 °C as supplied.
  • 1 month, 2 to 8 °C under sterile conditions after reconstitution.
  • 6 months, -20 to -70 °C under sterile conditions after reconstitution.

Background: Erythropoietin/EPO

Erythropoietin (EPO) is a 34 kDa glycoprotein hormone in the type I cytokine family and is related to thrombopoietin. Its three N-glycosylation sites, four alpha helices, and N- to C-terminal disulfide bond are conserved across species. Glycosylation of EPO is required for biological activities in vivo. Mature human EPO shares 75%‑84% amino acid sequence identity with bovine, canine, equine, feline, mouse, ovine, porcine, and rat EPO. Epo is primarily produced in the kidney by a population of fibroblast-like cortical interstitial cells adjacent to the proximal tubules. It is also produced in much lower, but functionally significant amounts by fetal hepatocytes and in adult liver and brain. EPO promotes erythrocyte formation by preventing the apoptosis of early erythroid precursors which express the EPO receptor (EPO R). EPO R has also been described in brain, retina, heart, skeletal muscle, kidney, endothelial cells, and a variety of tumor cells. Ligand induced dimerization of EPO R triggers JAK2-mediated signaling pathways followed by receptor/ligand endocytosis and degradation. Rapid regulation of circulating EPO allows tight control of erythrocyte production and hemoglobin concentrations. Anemia or other causes of low tissue oxygen tension induce EPO production by stabilizing the hypoxia-induceable transcription factors HIF-1 alpha and HIF-2 alpha. EPO additionally plays a tissue-protective role in ischemia by blocking apoptosis and inducing angiogenesis.

Alternate Names

ECYT5, EPO, MVCD2

Entrez Gene IDs

2056 (Human); 13856 (Mouse); 24335 (Rat)

Gene Symbol

EPO

Additional Erythropoietin/EPO Products

Product Documents for Human Erythropoietin/EPO Antibody

Certificate of Analysis

To download a Certificate of Analysis, please enter a lot number in the search box below.

Note: Certificate of Analysis not available for kit components.

Product Specific Notices for Human Erythropoietin/EPO Antibody

For research use only

Loading...
Loading...
Loading...
Loading...
Loading...