Skip to main content

Key Product Details

Species Reactivity

Human

Applications

Immunohistochemistry, Western Blot, Immunocytochemistry

Label

Unconjugated

Antibody Source

Monoclonal Mouse IgG2B Clone # 1090519

Product Specifications

Immunogen

Synthetic Peptide

Specificity

Detects a synthetic peptide specific for human Cytokeratin 7 around amino acid 300 in Direct ELISA.

Clonality

Monoclonal

Host

Mouse

Isotype

IgG2B

Scientific Data Images for Human Cytokeratin 7 Antibody

Detection of Human Cytokeratin 7 by Western Blot.

Western Blot shows lysates of KATO-III human gastric carcinoma cell line, OVCAR-3 human ovarian carcinoma cell line, SK-BR-3 human breast cancer cell line and A549 human lung carcinoma cell line. PVDF membrane was probed with 0.5 µg/ml of Mouse Anti-Human Cytokeratin 7 Monoclonal Antibody (Catalog # MAB11626) followed by HRP-conjugated Anti-Mouse IgG Secondary Antibody (Catalog # HAF018). A specific band was detected for Cytokeratin 7 at approximately 52 kDa (as indicated). This experiment was conducted under reducing conditions and using Western Blot Buffer Group 1.

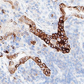
Detection of Cytokeratin 7 in Human Lung Cancer.

Cytokeratin 7 was detected in immersion fixed paraffin-embedded sections of human lung cancer using Mouse Anti-Human Cytokeratin 7 Monoclonal Antibody (Catalog # MAB11626) at 5 µg/ml for 1 hour at room temperature followed by incubation with the Anti-Mouse IgG VisUCyte™ HRP Polymer Antibody (Catalog # VC001). Before incubation with the primary antibody, tissue was subjected to heat-induced epitope retrieval using VisUCyte Antigen Retrieval Reagent-Basic (Catalog # VCTS021). Tissue was stained using DAB (brown) and counterstained with hematoxylin (blue). Specific staining was localized to the cytoplasm. View our protocol for IHC Staining with VisUCyte HRP Polymer Detection Reagents.

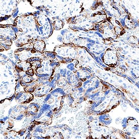
Detection of Cytokeratin 7 in Human Placenta.

Cytokeratin 7 was detected in immersion fixed paraffin-embedded sections of human placenta using Mouse Anti-Human Cytokeratin 7 Monoclonal Antibody (Catalog # MAB11626) at 5 µg/ml for 1 hour at room temperature followed by incubation with the Anti-Mouse IgG VisUCyte™ HRP Polymer Antibody (Catalog # VC001). Before incubation with the primary antibody, tissue was subjected to heat-induced epitope retrieval using VisUCyte Antigen Retrieval Reagent-Basic (Catalog # VCTS021). Tissue was stained using DAB (brown) and counterstained with hematoxylin (blue). Specific staining was localized to the cytoplasm. View our protocol for IHC Staining with VisUCyte HRP Polymer Detection Reagents.

Applications for Human Cytokeratin 7 Antibody

Application
Recommended Usage

Immunocytochemistry

3-25 µg/mL
Sample: Immersion fixed SK-BR-3 human breast cancer cell line

Immunohistochemistry

3-25 µg/mL
Sample: Immersion fixed paraffin-embedded sections of human lung cancer and human placenta

Western Blot

0.5 µg/mL
Sample: KATO-III human gastric carcinoma cell line, OVCAR-3 human ovarian carcinoma cell line, SK-BR-3 human breast cancer cell line and A549 human lung carcinoma cell line

Formulation, Preparation, and Storage

Purification

Protein A or G purified from hybridoma culture supernatant

Reconstitution

Reconstitute lyophilized material at 0.2 mg/ml in sterile PBS. For liquid material, refer to CoA for concentration.

Reconstitution Buffer Available:
Size / Price
Qty
Loading...

Formulation

Lyophilized from a 0.2 μm filtered solution in PBS with Trehalose.

Shipping

Lyophilized product is shipped at ambient temperature. Liquid small pack size (-SP) is shipped with polar packs. Upon receipt, store immediately at the temperature recommended below.

Stability & Storage

Use a manual defrost freezer and avoid repeated freeze-thaw cycles.
  • 12 months from date of receipt, -20 to -70 °C as supplied.
  • 1 month, 2 to 8 °C under sterile conditions after reconstitution.
  • 6 months, -20 to -70 °C under sterile conditions after reconstitution.

Background: Cytokeratin 7

Cytokeratin 7 is a 51 kDa type II keratin and a member of the keratin gene family. Cytokeratin 7 is specifically expressed in the simple epithelia lining the cavities of the internal organs and in the gland ducts and blood vesicles. It is found in simple glandular epithelia and in transitional epithelium. Combined with cytokeratin-20, cytokeratin-7 is often used for assessing the origin of metastatic cancer.

References

  1. Schweizer J, Bowden PE, Coulombe PA, Langbein L, Lane EB, Magin TM, Maltais L, Omary MB, Parry DA, Rogers MA, Wright MW. New consensus nomenclature for mammalian keratins. J Cell Biol. 2006 Jul 17;174(2):169-74. doi: 10.1083/jcb.200603161. Epub 2006 Jul 10. PMID: 16831889; PMCID: PMC2064177. 
  2. Dum D, Menz A, Völkel C, De Wispelaere N, Hinsch A, Gorbokon N, Lennartz M, Luebke AM, Hube-Magg C, Kluth M, Fraune C, Möller K, Bernreuther C, Lebok P, Clauditz TS, Jacobsen F, Sauter G, Uhlig R, Wilczak W, Steurer S, Minner S, Marx AH, Simon R, Burandt E, Krech T. Cytokeratin 7 and cytokeratin 20 expression in cancer: A tissue microarray study on 15,424 cancers. Exp Mol Pathol. 2022 Jun;126:104762. doi: 10.1016/j.yexmp.2022.104762. Epub 2022 Apr 4. PMID: 35390310.

Alternate Names

CK-7, CK7, K2C7, K7

Entrez Gene IDs

3855 (Human); 110310 (Mouse); 300242 (Rat)

Gene Symbol

KRT7

Additional Cytokeratin 7 Products

Product Documents for Human Cytokeratin 7 Antibody

Certificate of Analysis

To download a Certificate of Analysis, please enter a lot number in the search box below.

Note: Certificate of Analysis not available for kit components.

Product Specific Notices for Human Cytokeratin 7 Antibody

For research use only

Loading...
Loading...
Loading...
Loading...