Skip to main content

Human CD8 alpha Antibody

R&D Systems, part of Bio-Techne | Catalog # MAB3804

Recombinant Monoclonal Antibody.
R&D Systems, part of Bio-Techne

Key Product Details

Species Reactivity

Human

Applications

Immunohistochemistry, Flow Cytometry, Immunocytochemistry

Label

Unconjugated

Antibody Source

Recombinant Monoclonal Rabbit IgG Clone # 2760B

Product Specifications

Immunogen

Mouse myeloma cell line NS0-derived recombinant human CD8 alpha
Ser22-Val198
Accession # NP_741969

Specificity

Detects human CD8 alpha in direct ELISAs

Clonality

Monoclonal

Host

Rabbit

Isotype

IgG

Scientific Data Images for Human CD8 alpha Antibody

Detection of CD8 in Human Blood Lymphocytes by Flow Cytometry.

Human peripheral blood lymphocytes were stained with (A) Rabbit Anti-Human CD8 Monoclonal Antibody (Catalog # MAB3804) or (B) Rabbit IgG isotype control antibody (MAB1050) followed by anti-Rabbit IgG PE-conjugated secondary antibody (F0110) and Mouse Anti-Human CD3 epsilon APC-conjugated Monoclonal Antibody (FAB100A). Staining was performed using our Staining Membrane-associated Proteins protocol.

CD8 alpha in Human PBMCs.

CD8 alpha was detected in immersion fixed human peripheral blood mononuclear cells (PBMCs) (positive staining) and HDLM-2 human Hodgkin’s lymphoma cell line (negative staining) using Rabbit Anti-Human CD8 alpha Monoclonal Antibody (Catalog # MAB3804) at 8 µg/mL for 3 hours at room temperature. Cells were stained using the NorthernLights™ 557-conjugated Anti-Rabbit IgG Secondary Antibody (red; NL004) and counterstained with DAPI (blue). Specific staining was localized to cell surface. Staining was performed using our protocol for Fluorescent ICC Staining of Non-adherent Cells.

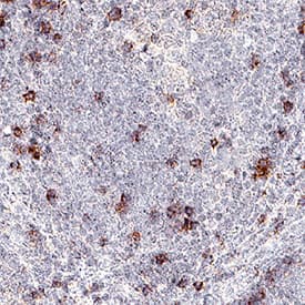
CD8 alpha in Human lymph node.

CD8 alpha was detected in immersion fixed paraffin-embedded sections of human lymph node using Rabbit Anti-Human CD8 alpha Monoclonal Antibody (Catalog # MAB3804) at 3 µg/mL for 1 hour at room temperature followed by incubation with the Anti-Rabbit IgG VisUCyte™ HRP Polymer Antibody (VC003). Before incubation with the primary antibody, tissue was subjected to heat-induced epitope retrieval using Antigen Retrieval Reagent-Basic (CTS013). Tissue was stained using DAB (brown) and counterstained with hematoxylin (blue). Specific staining was localized to lymphocytes. Staining was performed using our protocol for IHC Staining with VisUCyte HRP Polymer Detection Reagents.

Applications for Human CD8 alpha Antibody

Application
Recommended Usage

Flow Cytometry

0.25 µg/106 cells
Sample: Human peripheral blood lymphocytes

Immunocytochemistry

8-25 µg/mL
Sample: Immersion fixed human peripheral blood mononuclear cells (PBMCs) 

Immunohistochemistry

3-25 µg/mL
Sample: Immersion fixed paraffin-embedded sections of human lymph node

Reviewed Applications

Read 1 review rated 5 using MAB3804 in the following applications:

Formulation, Preparation, and Storage

Purification

Protein A or G purified from cell culture supernatant

Reconstitution

Reconstitute at 0.5 mg/mL in sterile PBS. For liquid material, refer to CoA for concentration.

Reconstitution Buffer Available:
Size / Price
Qty
Loading...

Formulation

Lyophilized from a 0.2 μm filtered solution in PBS with Trehalose. *Small pack size (SP) is supplied either lyophilized or as a 0.2 µm filtered solution in PBS.

Shipping

Lyophilized product is shipped at ambient temperature. Liquid small pack size (-SP) is shipped with polar packs. Upon receipt, store immediately at the temperature recommended below.

Stability & Storage

Use a manual defrost freezer and avoid repeated freeze-thaw cycles.
  • 12 months from date of receipt, -20 to -70 °C as supplied.
  • 1 month, 2 to 8 °C under sterile conditions after reconstitution.
  • 6 months, -20 to -70 °C under sterile conditions after reconstitution.

Background: CD8

CD8 is a heterodimeric glycoprotein consisting of an alpha and beta chain. It is expressed on cytolytic T cells and functions in conjunction with the T cell receptor in the recognition of MHC/peptide complexes.

Alternate Names

CD8, CD8A

Entrez Gene IDs

925 (Human); 12525 (Mouse); 24930 (Rat); 102124337 (Cynomolgus Monkey); 493799 (Feline)

Gene Symbol

CD8A

UniProt

Additional CD8 Products

Product Documents for Human CD8 alpha Antibody

Certificate of Analysis

To download a Certificate of Analysis, please enter a lot number in the search box below.

Note: Certificate of Analysis not available for kit components.

Product Specific Notices for Human CD8 alpha Antibody

For research use only

Loading...
Loading...
Loading...
Loading...
Loading...