Skip to main content

Human CD69 Antibody

R&D Systems, part of Bio-Techne | Catalog # MAB11691

Recombinant Monoclonal Antibody.
R&D Systems, part of Bio-Techne
Catalog #
Availability
Size / Price
Qty
Loading...
MAB11691-100
MAB11691-SP

Key Product Details

Species Reactivity

Human

Applications

Multiplex Immunofluorescence, Immunohistochemistry, Western Blot

Label

Unconjugated

Antibody Source

Recombinant Monoclonal Rabbit IgG Clone # 3190A

Product Specifications

Immunogen

Mouse myeloma cell line, NS0-derived human CD69
Gly64-Lys199
Accession # Q07108

Specificity

Detects recombinant human CD69 protein in Direct ELISA.

Clonality

Monoclonal

Host

Rabbit

Isotype

IgG

Scientific Data Images for Human CD69 Antibody

CD69 in Human Tonsil via seqIF™ staining on COMET™​

CD69 was detected in immersion fixed paraffin-embedded sections of human Tonsil using Rabbit Anti-Human CD69, Monoclonal Antibody (Catalog # MAB11691) at 25ug/mL at 37° Celsius for 4 minutes. Before incubation with the primary antibody, tissue underwent an all-in-one dewaxing and antigen retrieval preprocessing using PreTreatment Module (PT Module) and Dewax and HIER Buffer H (pH 9; Epredia Catalog # TA-999-DHBH). Tissue was stained using the Alexa Fluor™ Plus 647 Goat anti-Rabbit IgG Secondary Antibody at 1:200 at 37 ° Celsius for 2 minutes. (Yellow; Lunaphore Catalog # DR647RB) and counterstained with DAPI (blue; Lunaphore Catalog # DR100). Specific staining was localized to the membrane. Protocol available in COMET™ Panel Builder.

Detection of CD69 in Human Lymph Node.

CD69 was detected in immersion fixed paraffin-embedded sections of human lymph node using Rabbit Anti-Human CD69 Monoclonal Antibody (Catalog # MAB11691) at 3 µg/ml for 1 hour at room temperature followed by incubation with the Anti-Rabbit IgG VisUCyte™ HRP Polymer Antibody (Catalog # VC003) or the HRP-conjugated Anti-Rabbit IgG Secondary Antibody (Catalog # HAF008). Before incubation with the primary antibody, tissue was subjected to heat-induced epitope retrieval using VisUCyte Antigen Retrieval Reagent-Basic (Catalog # VCTS021). Tissue was stained using DAB (brown) and counterstained with hematoxylin (blue). Specific staining was localized to the cell surface. View our protocol for IHC Staining with VisUCyte HRP Polymer Detection Reagents.

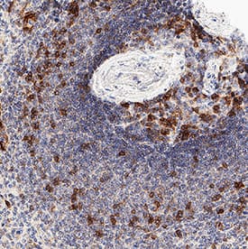
Detection of CD69 in Human Spleen.

CD69 was detected in immersion fixed paraffin-embedded sections of human spleen using Rabbit Anti-Human CD69 Monoclonal Antibody (Catalog # MAB11691) at 3 µg/ml for 1 hour at room temperature followed by incubation with the Anti-Rabbit IgG VisUCyte™ HRP Polymer Antibody (Catalog # VC003) or the HRP-conjugated Anti-Rabbit IgG Secondary Antibody (Catalog # HAF008). Before incubation with the primary antibody, tissue was subjected to heat-induced epitope retrieval using VisUCyte Antigen Retrieval Reagent-Basic (Catalog # VCTS021). Tissue was stained using DAB (brown) and counterstained with hematoxylin (blue). Specific staining was localized to the cell surface. View our protocol for IHC Staining with VisUCyte HRP Polymer Detection Reagents.

Applications for Human CD69 Antibody

Application
Recommended Usage

Immunohistochemistry

1-10 µg/mL
Sample: Immersion fixed paraffin-embedded sections of human lymph node and human spleen

Multiplex Immunofluorescence

25 µg/mL
Sample: Immersion fixed paraffin-embedded sections of human Tonsil

Western Blot

2 µg/mL
Sample: Human tonsil, human thymus and human CD4+ T cells

Formulation, Preparation, and Storage

Purification

Protein A or G purified from hybridoma culture supernatant

Reconstitution

Reconstitute lyophilized material at 0.2 mg/ml in sterile PBS. For liquid material, refer to CoA for concentration.

Reconstitution Buffer Available:
Size / Price
Qty
Loading...

Formulation

Lyophilized from a 0.2 μm filtered solution in PBS with Trehalose.

Shipping

Lyophilized product is shipped at ambient temperature. Liquid small pack size (-SP) is shipped with polar packs. Upon receipt, store immediately at the temperature recommended below.

Stability & Storage

Use a manual defrost freezer and avoid repeated freeze-thaw cycles.
  • 12 months from date of receipt, -20 to -70 °C as supplied.
  • 1 month, 2 to 8 °C under sterile conditions after reconstitution.
  • 6 months, -20 to -70 °C under sterile conditions after reconstitution.

Background: CD69

CD69, also known as Leu 23, AIM, EA-1, and MLR-3, is a type II transmembrane glycoprotein and is expressed on activated T cells, B cells, NK cells, neutrophils and eosinophils, Langerhans cells, and platelets.

Alternate Names

CD69, EA-1, Leu23, MLR-3, p60

Entrez Gene IDs

969 (Human); 12515 (Mouse)

Gene Symbol

CD69

UniProt

Additional CD69 Products

Product Documents for Human CD69 Antibody

Certificate of Analysis

To download a Certificate of Analysis, please enter a lot number in the search box below.

Note: Certificate of Analysis not available for kit components.

Product Specific Notices for Human CD69 Antibody

For research use only

Loading...
Loading...
Loading...
Loading...