Skip to main content

Human CD31/PECAM-1 Antibody

R&D Systems, part of Bio-Techne | Catalog # MAB11678

R&D Systems, part of Bio-Techne

Key Product Details

Species Reactivity

Human

Applications

Multiplex Immunofluorescence, Immunohistochemistry, Western Blot, Immunocytochemistry, COMET

Label

Unconjugated

Antibody Source

Monoclonal Rabbit IgG Clone # 3179D

Product Specifications

Immunogen

Chinese Hamster Ovary cell line, CHO-derived human CD31/PECAM-1
Gln28-Lys601
Accession # P16284

Specificity

Detects recombinant human CD31/PECAM-1 protein in direct ELISA.

Clonality

Monoclonal

Host

Rabbit

Isotype

IgG

Scientific Data Images for Human CD31/PECAM-1 Antibody

Detection of CD31 in Human Prostate Cancer via seqIF™ staining on COMET™

CD31 Antibody was detected in immersion fixed paraffin-embedded sections of human Prostate Cancer using Rabbit Anti-Human CD31, Monoclonal Antibody (Catalog #MAB11678) at 8ug/mL at 37° Celsius for 2 minutes. Before incubation with the primary antibody, tissue underwent an all-in-one dewaxing and antigen retrieval preprocessing using PreTreatment Module (PT Module) and Dewax and HIER Buffer H (pH 9; Epredia Catalog # TA-999-DHBH). Tissue was stained using the Alexa Fluor™ Plus 555 Goat anti-Rabbit IgG Secondary Antibody at 1:100 at 37 ° Celsius for 2 minutes. (Yellow; Lunaphore Catalog # DR555RB) and counterstained with DAPI (blue; Lunaphore Catalog # DR100). Specific staining was localized to the membrane of endothelial cells. Protocol available in COMET™ Panel Builder.​​

Detection of Human CD31/PECAM-1 by Western Blot.

Western Blot shows lysates of THP-1 human acute monocytic leukemia cell line. PVDF membrane was probed with 1 µg/ml of Rabbit Anti-Human CD31/PECAM-1 Monoclonal Antibody (Catalog # MAB11678) followed by HRP-conjugated Anti-Rabbit IgG Secondary Antibody (Catalog # HAF008). A specific band was detected for CD31/PECAM-1 at approximately 130 kDa (as indicated). This experiment was conducted under reducing conditions and using Western Blot Buffer Group 1.

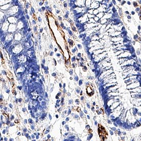
Detection of CD31/PECAM-1 in Human Colon.

CD31/PECAM-1 was detected in immersion fixed paraffin-embedded sections of human colon using Rabbit Anti-Human CD31/PECAM-1 Monoclonal Antibody (Catalog # MAB11678) at 3 µg/ml for 1 hour at room temperature followed by incubation with the Anti-Rabbit IgG VisUCyte™ HRP Polymer Antibody (Catalog # VC003) or the HRP-conjugated Anti-Rabbit IgG Secondary Antibody (Catalog # HAF008). Before incubation with the primary antibody, tissue was subjected to heat-induced epitope retrieval using VisUCyte Antigen Retrieval Reagent-Basic (Catalog # VCTS021). Tissue was stained using DAB (brown) and counterstained with hematoxylin (blue). Specific staining was localized to the membrane. View our protocol for IHC Staining with VisUCyte HRP Polymer Detection Reagents.

Applications for Human CD31/PECAM-1 Antibody

Application
Recommended Usage

COMET

Immunocytochemistry

1-10 µg/mL
Sample: Immersion fixed HUVEC human umbilical vein endothelial cells.

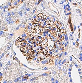
Immunohistochemistry

1-10 µg/mL
Sample: Immersion fixed paraffin-embedded sections of human colon and human kidney

Multiplex Immunofluorescence

8 µg/mL
Sample: Immersion fixed paraffin-embedded sections of human Prostate Cancer

Western Blot

1 µg/mL
Sample: THP-1 human acute monocytic leukemia cell line

Formulation, Preparation, and Storage

Purification

Protein A or G purified from hybridoma culture supernatant

Reconstitution

Reconstitute lyophilized material at 0.2 mg/ml in sterile PBS. For liquid material, refer to CoA for concentration.

Reconstitution Buffer Available:
Size / Price
Qty
Loading...

Formulation

Lyophilized from a 0.2 μm filtered solution in PBS with Trehalose.

Shipping

Lyophilized product is shipped at ambient temperature. Liquid small pack size (-SP) is shipped with polar packs. Upon receipt, store immediately at the temperature recommended below.

Stability & Storage

Use a manual defrost freezer and avoid repeated freeze-thaw cycles.
  • 12 months from date of receipt, -20 to -70 °C as supplied.
  • 1 month, 2 to 8 °C under sterile conditions after reconstitution.
  • 6 months, -20 to -70 °C under sterile conditions after reconstitution.

Background: CD31/PECAM-1

The CD31 adhesion molecule, also known as PECAM-1, is expressed in large amounts on endothelial cells at intercellular junctions and on T cell subsets, and to a lesser extent on platelets and most other leukocytes such as monocytes and neutrophils. CD31 binds to itself homotypically, and also to the leukocyte integrin alphav beta3 heterotypically. CD31 is required for the transendothelial migration of leukocytes through intercellular junctions of vascular endothelial cells. CD31 has been found in human plasma, and the presence of this circulating isoform is suggested to modulate the transendothelial migration of leukocytes.

Long Name

Platelet Endothelial Cell Adhesion Molecule 1

Alternate Names

CD31, EndoCAM, PECA1, PECAM-1, PECAM1

Entrez Gene IDs

5175 (Human); 18613 (Mouse); 29583 (Rat)

Gene Symbol

PECAM1

UniProt

Additional CD31/PECAM-1 Products

Product Documents for Human CD31/PECAM-1 Antibody

Certificate of Analysis

To download a Certificate of Analysis, please enter a lot number in the search box below.

Note: Certificate of Analysis not available for kit components.

Product Specific Notices for Human CD31/PECAM-1 Antibody

For research use only

Loading...
Loading...
Loading...
Loading...