Skip to main content

Key Product Details

Species Reactivity

Human

Applications

Immunohistochemistry, Western Blot

Label

Unconjugated

Antibody Source

Monoclonal Mouse IgG2B Clone # 1033614

Product Specifications

Immunogen

Human embryonic kidney cell HEK293-derived human CD3 delta/CD3d
Phe22-Ala105
Accession # P04234

Specificity

Detects human CD3 delta/CD3d in ELISA and Western blots.

Clonality

Monoclonal

Host

Mouse

Isotype

IgG2B

Scientific Data Images for Human CD3 delta/CD3d Antibody

Detection of Human CD3 delta/CD3d by Western Blot.

Western blot shows lysates of Jurkat human acute T cell leukemia cell line. PVDF membrane was probed with 2 µg/mL of Mouse Anti-Human CD3 delta/CD3d Monoclonal Antibody (Catalog # MAB10672) followed by HRP-conjugated Anti-Mouse IgG Secondary Antibody (HAF018). A specific band was detected for CD3 delta/CD3d at approximately 23 kDa (as indicated). This experiment was conducted under reducing conditions and using Western Blot Buffer Group 1.

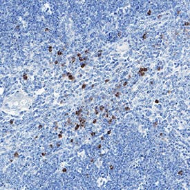
CD3 delta/CD3d in Human Thymus.

CD3 delta/CD3d was detected in immersion fixed paraffin-embedded sections of human thymus using Mouse Anti-Human CD3 delta/CD3d Monoclonal Antibody (Catalog # MAB10672) at 5 µg/mL for 1 hour at room temperature followed by incubation with the Anti-Mouse IgG VisUCyte™ HRP Polymer Antibody (VC001). Before incubation with the primary antibody, tissue was subjected to heat-induced epitope retrieval using Antigen Retrieval Reagent-Basic (CTS013). Tissue was stained using DAB (brown) and counterstained with hematoxylin (blue). Specific staining was localized to cell surface and cytoplasm in lymphocytes. Staining was performed using our protocol for IHC Staining with VisUCyte HRP Polymer Detection Reagents.

Applications for Human CD3 delta/CD3d Antibody

Application
Recommended Usage

Immunohistochemistry

5-25 µg/mL
Sample: Immersion fixed paraffin-embedded sections of human thymu

Western Blot

2 µg/mL
Sample: Jurkat human acute T cell leukemia cell line

Formulation, Preparation, and Storage

Purification

Protein A or G purified from hybridoma culture supernatant

Reconstitution

Reconstitute at 0.5 mg/mL in sterile PBS. For liquid material, refer to CoA for concentration.

Reconstitution Buffer Available:
Size / Price
Qty
Loading...

Formulation

Lyophilized from a 0.2 μm filtered solution in PBS with Trehalose. *Small pack size (SP) is supplied either lyophilized or as a 0.2 µm filtered solution in PBS.

Shipping

Lyophilized product is shipped at ambient temperature. Liquid small pack size (-SP) is shipped with polar packs. Upon receipt, store immediately at the temperature recommended below.

Stability & Storage

Use a manual defrost freezer and avoid repeated freeze-thaw cycles.
  • 12 months from date of receipt, -20 to -70 °C as supplied.
  • 1 month, 2 to 8 °C under sterile conditions after reconstitution.
  • 6 months, -20 to -70 °C under sterile conditions after reconstitution.

Background: CD3 delta/CD3d

CD3d, also known as CD3 delta and T3D, is a single-pass type I membrane protein. CD3 delta/CD3d is part of the T-cell receptor/CD3 complex (TCR/CD3 complex) and is involved in T-cell development and signal transduction (1). The encoded membrane protein represents the delta subunit of the CD3 complex, and along with four other CD3 subunits, binds either TCR alpha/beta or TCR gamma/delta to form the TCR/CD3 complex on the surface of T cells (2). CD3 delta/CD3d contains an 84 amino acid extracellular domain, a 21 amino acid transmembrane domain, and a 45 amino acid cytoplasmic domain. Human CD3 delta/CD3d shares 89%, 61%, and 57% sequence identity in its extracellular domain with its cynomolgus monkey, rat, and mouse homologs, respectively. CD3 delta/CD3d, like other subunit members CD3G and CD3E of the TCR-CD3 complex, contains an extracellular Ig domain and a single immunoreceptor tyrosine-based activation motif (3, 4). Defects in CD3 delta/CD3d cause severe combined immunodeficiency autosomal recessive T-cell-negative/B-cell-positive/NK-cell-positive (T-/B+/NK+ SCID) which is a genetically and clinically heterogeneous group of rare congenital disorders characterized by impairment of both humoral and cell-mediated immunity, leukopenia, and low or absent antibody levels (5, 6).

References

  1. Gil, J. et al. (2011) J. Clin. Invest. 121:3872.
  2. Carson, G.R. et al. (1991) J. Biol. Chem. 266:7883.
  3. Birnbaum, M.E. et al. (2014). Proc. Natl. Acad. Sci. USA. 111:17576.
  4. Wucherpfennig, K. et al. (2010). Cold Spring Harb Perspect. Biol. 2:a005140.
  5. Kim, S.T. et al. (2010) J. Immunol. 185:2951.
  6. Holst, J. et al. (2008) Nat. Immunol. 9:658.

Long Name

CD3 delta

Alternate Names

CD3D

Entrez Gene IDs

915 (Human); 12500 (Mouse); 25710 (Rat); 102133701 (Cynomolgus Monkey)

Gene Symbol

CD3D

UniProt

Additional CD3 delta/CD3d Products

Product Documents for Human CD3 delta/CD3d Antibody

Certificate of Analysis

To download a Certificate of Analysis, please enter a lot number in the search box below.

Note: Certificate of Analysis not available for kit components.

Product Specific Notices for Human CD3 delta/CD3d Antibody

For research use only

Loading...
Loading...
Loading...
Loading...