Skip to main content

Human CD14 Antibody

R&D Systems, part of Bio-Techne | Catalog # MAB11722

Recombinant Monoclonal Antibody.
R&D Systems, part of Bio-Techne
Catalog #
Availability
Size / Price
Qty
Loading...
MAB11722-100
MAB11722-SP

Key Product Details

Species Reactivity

Human

Applications

Multiplex Immunofluorescence, Immunohistochemistry, Western Blot

Label

Unconjugated

Antibody Source

Recombinant Monoclonal Rabbit IgG Clone # 3334A

Product Specifications

Immunogen

Synthetic peptide
Accession # P08571

Specificity

Detects recombinant human CD14 protein in Direct ELISA.

Clonality

Monoclonal

Host

Rabbit

Isotype

IgG

Scientific Data Images for Human CD14 Antibody

CD14 in Human Appendix via seqIF™ staining on COMET™

CD14 was detected in immersion fixed paraffin-embedded sections of human Appendix using Rabbit Anti-Human CD14, Monoclonal Antibody (Catalog #MAB11722) at 3ug/mL at 37 ° Celsius for 4 minutes. Before incubation with the primary antibody, tissue underwent an all-in-one dewaxing and antigen retrieval preprocessing using PreTreatment Module (PT Module) and Dewax and HIER Buffer H (pH 9; Epredia Catalog # TA-999-DHBH). Tissue was stained using the Alexa Fluor™ Plus 647 Goat anti-Rabbit IgG Secondary Antibody at 1:200 at 37 ° Celsius for 2 minutes. (Yellow; Lunaphore Catalog # DR647RB) and counterstained with DAPI (blue; Lunaphore Catalog # DR100). Specific staining was localized to the membrane. Protocol available in COMET™ Panel Builder.

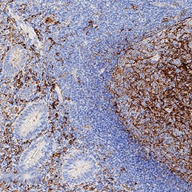
Detection of CD14 in Human Appendix.

CD14 was detected in immersion fixed paraffin-embedded sections of human appendix using Rabbit Anti-Human CD14 Monoclonal Antibody (Catalog # MAB11722) at 3 µg/ml for 1 hour at room temperature followed by incubation with the Anti-Rabbit IgG VisUCyte™ HRP Polymer Antibody (Catalog # VC003) or the HRP-conjugated Anti-Rabbit IgG Secondary Antibody (Catalog # HAF008). Before incubation with the primary antibody, tissue was subjected to heat-induced epitope retrieval using VisUCyte Antigen Retrieval Reagent-Basic (Catalog # VCTS021). Tissue was stained using DAB (brown) and counterstained with hematoxylin (blue). Specific staining was localized to the membrane. View our protocol for IHC Staining with VisUCyte HRP Polymer Detection Reagents.

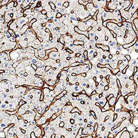
Detection of CD14 in Human Liver.

CD14 was detected in immersion fixed paraffin-embedded sections of human liver using Rabbit Anti-Human CD14 Monoclonal Antibody (Catalog # MAB11722) at 3 µg/ml for 1 hour at room temperature followed by incubation with the Anti-Rabbit IgG VisUCyte™ HRP Polymer Antibody (Catalog # VC003) or the HRP-conjugated Anti-Rabbit IgG Secondary Antibody (Catalog # HAF008). Before incubation with the primary antibody, tissue was subjected to heat-induced epitope retrieval using VisUCyte Antigen Retrieval Reagent-Basic (Catalog # VCTS021). Tissue was stained using DAB (brown) and counterstained with hematoxylin (blue). Specific staining was localized to the membrane. View our protocol for IHC Staining with VisUCyte HRP Polymer Detection Reagents.

Applications for Human CD14 Antibody

Application
Recommended Usage

Immunohistochemistry

1-10 µg/mL
Sample: Immersion fixed paraffin-embedded sections of human appendix and human liver

Multiplex Immunofluorescence

3 µg/mL
Sample: Immersion fixed paraffin-embedded sections of human appendix

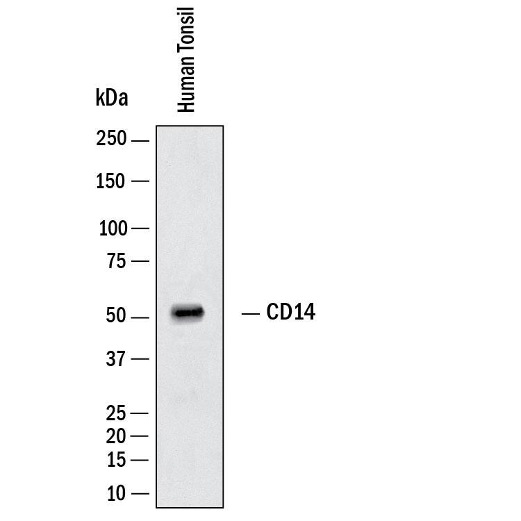
Western Blot

2 µg/mL
Sample: Human tonsil

Formulation, Preparation, and Storage

Purification

Protein A or G purified from hybridoma culture supernatant

Reconstitution

Reconstitute lyophilized material at 0.2 mg/ml in sterile PBS. For liquid material, refer to CoA for concentration.

Reconstitution Buffer Available:
Size / Price
Qty
Loading...

Formulation

Lyophilized from a 0.2 μm filtered solution in PBS with Trehalose.

Shipping

Lyophilized product is shipped at ambient temperature. Liquid small pack size (-SP) is shipped with polar packs. Upon receipt, store immediately at the temperature recommended below.

Stability & Storage

Use a manual defrost freezer and avoid repeated freeze-thaw cycles.
  • 12 months from date of receipt, -20 to -70 °C as supplied.
  • 1 month, 2 to 8 °C under sterile conditions after reconstitution.
  • 6 months, -20 to -70 °C under sterile conditions after reconstitution.

Background: CD14

CD14 is a 55 kDa cell surface glycoprotein that is preferentially expressed on monocytes/macrophages. The human CD14 cDNA encodes a 375 amino acid (aa) residue precursor protein with a 19 aa signal peptide and a C-terminal hydrophobic region characteristic for glycosylphosphatidyinositol (GPI)-anchored proteins. Human CD14 has four potential N-linked glycosylation sites and also bears O-linked carbohydrates. The amino acid sequence of human CD14 is approximately 65% identical with the mouse, rat, rabbit, and bovine proteins. CD14 is a pattern recognition receptor that binds lipopolysaccharides (LPS) and a variety of ligands derived from different microbial sources. The binding of CD14 with LPS is catalyzed by LPS-binding protein (LBP). The toll-like-receptors have also been implicated in the transduction of CD14-LPS signals. Similar to other GPI-anchored proteins, soluble CD14 can be released from the cell surface by phosphatidyinositol-specific phospholipase C. Soluble CD14 has been detected in serum and body fluids. High concentrations of soluble CD14 have been shown to inhibit LPS-mediated responses. However, soluble CD14 can also potentiate LPS response in cells that do not express cell surface CD14.

References

  1. Wright, S.D. et al. (1990) Science 249:1431.
  2. Pugin, J. et al. (1993) Proc. Natl. Acad. Sci. USA 90:2744.
  3. Beutler, B. (2000) Current Opinion in Immunology 12:20.
  4. Stelter, F. (2000) Chem. Immunol. 74:25.

Alternate Names

CD14

Entrez Gene IDs

929 (Human); 12475 (Mouse); 60350 (Rat); 100037938 (Porcine)

Gene Symbol

CD14

UniProt

Additional CD14 Products

Product Documents for Human CD14 Antibody

Certificate of Analysis

To download a Certificate of Analysis, please enter a lot number in the search box below.

Note: Certificate of Analysis not available for kit components.

Product Specific Notices for Human CD14 Antibody

For research use only

Loading...
Loading...
Loading...
Loading...