Skip to main content

Human Caspase-1 Antibody

R&D Systems, part of Bio-Techne | Catalog # MAB62156

Recombinant Monoclonal Antibody.
R&D Systems, part of Bio-Techne

Key Product Details

Species Reactivity

Human

Applications

Immunohistochemistry, Western Blot, Immunocytochemistry

Label

Unconjugated

Antibody Source

Recombinant Monoclonal Rabbit IgG Clone # 2666E

Product Specifications

Immunogen

E. coli-derived recombinant human Caspase-1
Asn120-Asp297
Accession # P29466

Specificity

Detects human Caspase-1 in direct ELISAs and Western blots.

Clonality

Monoclonal

Host

Rabbit

Isotype

IgG

Scientific Data Images for Human Caspase-1 Antibody

Detection of Human Caspase-1 by Western Blot.

Western blot shows lysates of A431 human epithelial carcinoma cell line. PVDF membrane was probed with 2 µg/mL of Rabbit Anti-Human Caspase-1 Monoclonal Antibody (Catalog # MAB62156) followed by HRP-conjugated Anti-Rabbit IgG Secondary Antibody (HAF008). A specific band was detected for Caspase-1 at approximately 48 kDa (as indicated). This experiment was conducted under reducing conditions and using Western Blot Buffer Group 1.

Caspase-1 in PC-3 Human Cell Line.

Caspase-1 was detected in immersion fixed PC-3 human prostate cancer cell line (positive staining) and U937 human histiocytic lymphoma cell line (negative control) using Rabbit Anti-Human Caspase-1 Monoclonal Antibody (Catalog # MAB62156) at 8 µg/mL for 3 hours at room temperature. Cells were stained using the NorthernLights™ 557-conjugated Anti-Rabbit IgG Secondary Antibody (red; NL004) and counterstained with DAPI (blue). Specific staining was localized to cell nuclei and cytoplasm. Staining was performed using our protocol for Fluorescent ICC Staining of Non-adherent Cells.

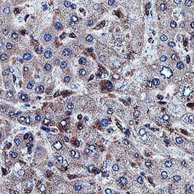
Caspase-1 in Human Lymph Node.

Caspase-1 was detected in immersion fixed paraffin-embedded sections of human lymph node using Rabbit Anti-Human Caspase-1 Monoclonal Antibody (Catalog # MAB62156) at 3 µg/mL for 1 hour at room temperature followed by incubation with the Anti-Rabbit IgG VisUCyte™ HRP Polymer Antibody (VC003). Before incubation with the primary antibody, tissue was subjected to heat-induced epitope retrieval using Antigen Retrieval Reagent-Basic (CTS013). Tissue was stained using DAB (brown) and counterstained with hematoxylin (blue). Specific staining was localized to cytoplasm in Kupffer cells. Staining was performed using our protocol for IHC Staining with VisUCyte HRP Polymer Detection Reagents.

Applications for Human Caspase-1 Antibody

Application
Recommended Usage

Immunocytochemistry

8-25 µg/mL
Sample: Immersion fixed PC-3 human prostate cancer cell line

Immunohistochemistry

3-25 µg/mL
Sample: Immersion fixed paraffin-embedded sections of human lymph node

Western Blot

2 µg/mL
Sample: A431 human epithelial carcinoma cell line

Formulation, Preparation, and Storage

Purification

Protein A or G purified from cell culture supernatant

Reconstitution

Reconstitute at 0.5 mg/mL in sterile PBS. For liquid material, refer to CoA for concentration.

Reconstitution Buffer Available:
Size / Price
Qty
Loading...

Formulation

Lyophilized from a 0.2 μm filtered solution in PBS with Trehalose. *Small pack size (SP) is supplied either lyophilized or as a 0.2 µm filtered solution in PBS.

Shipping

Lyophilized product is shipped at ambient temperature. Liquid small pack size (-SP) is shipped with polar packs. Upon receipt, store immediately at the temperature recommended below.

Stability & Storage

Use a manual defrost freezer and avoid repeated freeze-thaw cycles.
  • 12 months from date of receipt, -20 to -70 °C as supplied.
  • 1 month, 2 to 8 °C under sterile conditions after reconstitution.
  • 6 months, -20 to -70 °C under sterile conditions after reconstitution.

Background: Caspase-1

Caspase-1, also known as IL-1 beta-Converting Enzyme (ICE), is an aspartic protease that plays a key role in the inflammatory response and apoptosis. Caspase-1 precursor (about 50kDa) can be cleaved and the active enzyme consists of a complex of two 20 kDa (aa 120-297) and two 10 kDa (aa 317-404) subunits which associate following cleavage of inactive precursors. Caspase-1 is required for proteolytic cleavage of the IL-1 beta precursor to form the active proinflammatory cytokine. Alternate splicing generates several additional Caspase-1 isoforms with deletions in the propeptide regions or also in the mature subunits. Within the large subunit, human Caspase 1 shares 61% aa sequence identity with mouse and rat Caspase-1.

Alternate Names

CASP1, Caspase1, ICE

Entrez Gene IDs

834 (Human)

Gene Symbol

CASP1

UniProt

Additional Caspase-1 Products

Product Documents for Human Caspase-1 Antibody

Certificate of Analysis

To download a Certificate of Analysis, please enter a lot number in the search box below.

Note: Certificate of Analysis not available for kit components.

Product Specific Notices for Human Caspase-1 Antibody

For research use only

Loading...
Loading...
Loading...
Loading...