Skip to main content

Key Product Details

Species Reactivity

Validated:

Human

Cited:

Human, Opossum, Transgenic Mouse

Applications

Validated:

Immunohistochemistry, Western Blot

Cited:

Immunohistochemistry, Western Blot

Label

Unconjugated

Antibody Source

Polyclonal Goat IgG

Product Specifications

Immunogen

Mouse myeloma cell line NS0-derived recombinant human Carboxylesterase 2/CES2
Gln27-Leu559
Accession # O00748

Specificity

Detects human Carboxylesterase 2/CES2 in direct ELISAs and Western blots. In direct ELISAs, less than 5% cross-reactivity with recombinant human CES1, recombinant mouse (rm) CES2, rmCES3, and rmCES5 is observed.

Clonality

Polyclonal

Host

Goat

Isotype

IgG

Scientific Data Images for Human Carboxylesterase 2/CES2 Antibody

Detection of Human Carboxylesterase 2/CES2 antibody by Western Blot.

Detection of Human Carboxylesterase 2/CES2 by Western Blot.

Western blot shows lysates of HepG2 human hepatocellular carcinoma cell line and NCI-N87 human gastric carcinoma cell line. PVDF membrane was probed with 1 µg/mL of Goat Anti-Human Carboxylesterase 2/CES2 Antigen Affinity-purified Polyclonal Antibody (Catalog # AF5657) followed by HRP-conjugated Anti-Goat IgG Secondary Antibody (Catalog # HAF019). A specific band was detected for Carboxylesterase 2/CES2 at approximately 60-65 kDa (as indicated). This experiment was conducted under reducing conditions and using Immunoblot Buffer Group 8.

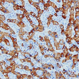
Detection of Carboxylesterase 2/CES2 in Human Liver.

Carboxylesterase 2/CES2 was detected in immersion fixed paraffin-embedded sections of human liver using Goat Anti-Human Carboxylesterase 2/CES2 Antigen Affinity-purified Polyclonal Antibody (Catalog # AF5657) at 15 µg/ml for 1 hour at room temperature followed by incubation with the Anti-Goat IgG VisUCyte™ HRP Polymer Antibody (Catalog # VC004) or the HRP-conjugated Anti-Goat IgG Secondary Antibody (Catalog # HAF109). Before incubation with the primary antibody, tissue was subjected to heat-induced epitope retrieval using VisUCyte Antigen Retrieval Reagent-Basic (Catalog # VCTS021). Tissue was stained using DAB (brown) and counterstained with hematoxylin (blue). Specific staining was localized to the cytoplasm of hepatocytes. View our protocol for IHC Staining with VisUCyte HRP Polymer Detection Reagents.

Applications for Human Carboxylesterase 2/CES2 Antibody

Application
Recommended Usage

Immunohistochemistry

5-15 µg/mL
Sample: Immersion fixed paraffin-embedded sections of human liver

Western Blot

1 µg/mL
Sample: HepG2 human hepatocellular carcinoma cell line and NCI‑N87 human gastric carcinoma cell line

Formulation, Preparation, and Storage

Purification

Antigen Affinity-purified

Reconstitution

Reconstitute at 0.2 mg/mL in sterile PBS. For liquid material, refer to CoA for concentration.

Reconstitution Buffer Available:
Size / Price
Qty
Loading...

Formulation

Lyophilized from a 0.2 μm filtered solution in PBS with Trehalose. See Certificate of Analysis for details.
*Small pack size (-SP) is supplied either lyophilized or as a 0.2 µm filtered solution in PBS.

Shipping

Lyophilized product is shipped at ambient temperature. Liquid small pack size (-SP) is shipped with polar packs. Upon receipt, store immediately at the temperature recommended below.

Stability & Storage

Use a manual defrost freezer and avoid repeated freeze-thaw cycles.
  • 12 months from date of receipt, -20 to -70 °C as supplied.
  • 1 month, 2 to 8 °C under sterile conditions after reconstitution.
  • 6 months, -20 to -70 °C under sterile conditions after reconstitution.

Background: Carboxylesterase 2/CES2

CES2 (Carboxylesterase 2; also CE-2) is a glycosylated, monomeric member of the type-B carboxyesterease/lipase family of enzymes. Although it runs at 59‑62 kDa in SDS-PAGE, Gel filtration assigns an 80 kDa MW to it. CES2 is an ER luminal enzyme that catalyzes the conversion of carboxlic ester to alcohol. It is found in small intestine and liver, and likely participates in the detoxification of drugs. Mature human CES2 is 533 amino acids (aa) in length (aa 27-559). It contains a catalytic site composed of Ser228Glu345His457, and an ER-retention motif over aa 556 - 559. Individually or in combination, splice variants may show an alternate start site 64 aa upstream of the standard site, a Val substitution for aa 458-474, or a nine aa insertion after Met1. Over the length of the precursor (aa 1-559) human CES2 shares 72% aa identity with mouse CES2.

Alternate Names

CE-2, CES2, PCE-2

Entrez Gene IDs

8824 (Human); 234671 (Mouse); 171118 (Rat)

Gene Symbol

CES2

UniProt

Additional Carboxylesterase 2/CES2 Products

Product Documents for Human Carboxylesterase 2/CES2 Antibody

Certificate of Analysis

To download a Certificate of Analysis, please enter a lot number in the search box below.

Note: Certificate of Analysis not available for kit components.

Product Specific Notices for Human Carboxylesterase 2/CES2 Antibody

For research use only

Loading...
Loading...
Loading...
Loading...