Skip to main content

Key Product Details

Species Reactivity

Validated:

Human

Cited:

Human

Applications

Validated:

Immunohistochemistry, Western Blot, Immunocytochemistry

Cited:

Western Blot

Label

Unconjugated

Antibody Source

Polyclonal Rabbit IgG

Product Specifications

Immunogen

KLH-coupled human BAK synthetic peptide
AAPADPEMVTLPLQPSSTMGC
Accession # Q16611

Specificity

Detects human BAK in Western blots. This antibody does not detect mouse BAK.

Clonality

Polyclonal

Host

Rabbit

Isotype

IgG

Scientific Data Images for Human BAK Antibody

Detection of Human BAK antibody by Western Blot.

Detection of Human BAK by Western Blot.

Western blot shows lysates of THP-1 human acute monocytic leukemia cell line and HEK293 human embryonic kidney cell line. PVDF membrane was probed with 1-4 µg/mL of Human BAK Antigen Affinity-purified Polyclonal Antibody (Catalog # AF816) followed by HRP-conjugated Anti-Rabbit IgG Secondary Antibody (HAF008). A specific band was detected for BAK at approximately 26 kDa (as indicated). This experiment was conducted under reducing conditions and using Immunoblot Buffer Group 2.
BAK antibody in HEK293 Human Cell Line by Immunocytochemistry (ICC).

BAK in HEK293 Human Cell Line.

BAK was detected in immersion fixed HEK293 human embryonic kidney cell line using Rabbit Anti-Human BAK Antigen Affinity-purified Polyclonal Antibody (Catalog # AF816) at 15 µg/mL for 3 hours at room temperature. Cells were stained using the NorthernLights™ 557-conjugated Anti-Rabbit IgG Secondary Antibody (red; NL004) and counterstained with DAPI (blue). Specific staining was localized to cytoplasm. View our protocol for Fluorescent ICC Staining of Cells on Coverslips.

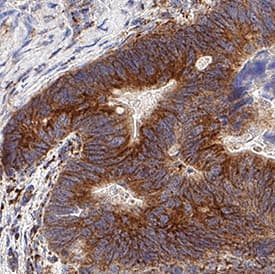
Detection of BAK in Human Colon.

BAK was detected in immersion fixed paraffin-embedded sections of Human Colon using Rabbit Anti-Human BAK Antigen Affinity-purified Polyclonal Antibody (Catalog # AF816) at 5 µg/mL for 1 hour at room temperature followed by incubation with the Anti-Rabbit IgG VisUCyte™ HRP Polymer Antibody (Catalog # VC003). Before incubation with the primary antibody, tissue was subjected to heat-induced epitope retrieval using VisUCyte Antigen Retrieval Reagent-Basic (Catalog # VCTS021). Tissue was stained using DAB (brown) and counterstained with hematoxylin (blue). Specific staining was localized to cell membrane in epithelial cells in mucosal glands. View our protocol for IHC Staining with VisUCyte HRP Polymer Detection Reagents.

Applications for Human BAK Antibody

Application
Recommended Usage

Immunocytochemistry

5-15 µg/mL
Sample: Immersion fixed HEK293 human embryonic kidney cell line

Immunohistochemistry

5-15 µg/mL
Sample: Immersion fixed paraffin-embedded sections of Human Colon

Western Blot

1-4 µg/mL
Sample: THP-1 human acute monocytic leukemia cell line and HEK293 human embryonic kidney cell line

Formulation, Preparation, and Storage

Purification

Antigen Affinity-purified

Reconstitution

Reconstitute at 0.2 mg/mL in sterile PBS. For liquid material, refer to CoA for concentration.

Reconstitution Buffer Available:
Size / Price
Qty
Loading...

Formulation

Lyophilized from a 0.2 μm filtered solution in PBS with Trehalose. *Small pack size (SP) is supplied either lyophilized or as a 0.2 µm filtered solution in PBS.

Shipping

Lyophilized product is shipped at ambient temperature. Liquid small pack size (-SP) is shipped with polar packs. Upon receipt, store immediately at the temperature recommended below.

Stability & Storage

Use a manual defrost freezer and avoid repeated freeze-thaw cycles.
  • 12 months from date of receipt, -20 to -70 °C as supplied.
  • 1 month, 2 to 8 °C under sterile conditions after reconstitution.
  • 6 months, -20 to -70 °C under sterile conditions after reconstitution.

Background: BAK

BAK (Bcl-2 homologous antagonist/killer; also BAK1) is a 25‑30 kDa member of the BCL-2 family of proteins. It is widely expressed, and participates in the apoptotic cycle. BAK is an outer mitochondrial membrane protein that is inactive as a Zn-dependent homodimer. Upon activation by p53 or tBID, BAK oligomerizes, creating a pore in the mitochondrial membrane and allowing for cytochrome C release. Human BAK is 211 amino acids (aa) in length and contains three BCL-2 homology domains (aa 74‑88, 117‑136 and 169‑184), a Zn-binding region (aa 160‑166) and a C-terminal transmembrane segment (aa 188‑205). Amino acids 67‑94 mediate oligomerization of BAK. There are two potential isoform variants; one shows an alternate start site at Met96, while a second shows a deletion of aa 46‑66. Over amino acids 53-72, human BAK shares 55% aa identity with mouse BAK.

Long Name

Bcl-2 Antagonist/Killer

Alternate Names

BAK1, BCL2L7

Entrez Gene IDs

578 (Human); 12018 (Mouse)

Gene Symbol

BAK1

UniProt

Additional BAK Products

Product Documents for Human BAK Antibody

Certificate of Analysis

To download a Certificate of Analysis, please enter a lot number in the search box below.

Note: Certificate of Analysis not available for kit components.

Product Specific Notices for Human BAK Antibody

For research use only

Loading...
Loading...
Loading...
Loading...