Skip to main content

Key Product Details

Species Reactivity

Human

Applications

Immunohistochemistry, Western Blot, Intracellular Staining by Flow Cytometry, Immunocytochemistry, Simple Western, CyTOF-ready

Label

Unconjugated

Antibody Source

Recombinant Monoclonal Rabbit IgG Clone # 2621E

Product Specifications

Immunogen

Synthetic Human Androgen R/NR3C4 peptide

Specificity

Detects human Androgen R/NR3C4 in direct ELISAs.

Clonality

Monoclonal

Host

Rabbit

Isotype

IgG

Scientific Data Images for Human Androgen R/NR3C4 Antibody

Detection of Human Androgen R/NR3C4 antibody by Western Blot.

Detection of Human Androgen R/NR3C4 by Western Blot.

Western blot shows lysates of LNCaP human prostate cancer cell line. PVDF membrane was probed with 1 µg/mL of Mouse Anti-Human Androgen R/NR3C4 Monoclonal Antibody (Catalog # MAB58762) followed by HRP-conjugated Anti-Rabbit IgG Secondary Antibody (HAF008). A specific band was detected for Androgen R/NR3C4 at approximately 110 kDa (as indicated). This experiment was conducted under reducing conditions and using Western Blot Buffer Group 1.

Androgen R/NR3C4 in Human LNCaP Cell Line.

Androgen R/NR3C4 was detected in immersion fixed LNCaP human prostate cancer cell line (left panel; positive staining) and PC-3 human prostate cancer cell line (right panel; negative staining) using Rabbit Anti-Human Androgen R/NR3C4 Monoclonal Antibody (Catalog # MAB58762) at 8 µg/mL for 3 hours at room temperature. Cells were stained using the NorthernLights™ 557-conjugated Anti-Rabbit IgG Secondary Antibody (red; NL004) and counterstained with DAPI (blue). Specific staining was localized to the nucleus. Staining was performed using our protocol for Fluorescent ICC Staining of Non-adherent Cells.

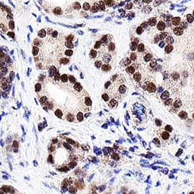
Androgen R/NR3C4 in Human Prostate Cancer.

Androgen R/NR3C4 was detected in immersion fixed paraffin-embedded sections of human prostate cancer using Rabbit Anti-Human Androgen R/NR3C4 Monoclonal Antibody (Catalog # MAB58762) at 3 µg/mL for 1 hour at room temperature followed by incubation with the Anti-Rabbit IgG VisUCyte™ HRP Polymer Antibody (VC003). Before incubation with the primary antibody, tissue was subjected to heat-induced epitope retrieval using Antigen Retrieval Reagent-Basic (CTS013). Tissue was stained using DAB (brown) and counterstained with hematoxylin (blue). Specific staining was localized to cell nuclei. Staining was performed using our protocol for IHC Staining with VisUCyte HRP Polymer Detection Reagents.

Applications for Human Androgen R/NR3C4 Antibody

Application
Recommended Usage

CyTOF-ready

Ready to be labeled using established conjugation methods. No BSA or other carrier proteins that could interfere with conjugation.

Immunocytochemistry

8-25 µg/mL
Sample: Immersion fixed LNCaP human prostate cancer cell line 

Immunohistochemistry

3-25 µg/mL
Sample: Immersion fixed paraffin-embedded sections of human prostate cancer

Intracellular Staining by Flow Cytometry

0.25 µg/106 cells
Sample: LNCaP human prostate cancer cell line fixed with Flow Cytometry Fixation Buffer (Catalog # FC004) and permeabilized with Flow Cytometry Permeabilization/Wash Buffer I (Catalog # FC005)

Simple Western

10 µg/mL
Sample: Lysates of LNCaP human prostate cancer cell line.

Western Blot

1 µg/mL
Sample: LNCaP human prostate cancer cell line

Reviewed Applications

Read 1 review rated 5 using MAB58762 in the following applications:

Formulation, Preparation, and Storage

Purification

Protein A or G purified from cell culture supernatant

Reconstitution

Reconstitute at 0.5 mg/mL in sterile PBS. For liquid material, refer to CoA for concentration.

Reconstitution Buffer Available:
Size / Price
Qty
Loading...

Formulation

Lyophilized from a 0.2 μm filtered solution in PBS with Trehalose. *Small pack size (SP) is supplied either lyophilized or as a 0.2 µm filtered solution in PBS.

Shipping

Lyophilized product is shipped at ambient temperature. Liquid small pack size (-SP) is shipped with polar packs. Upon receipt, store immediately at the temperature recommended below.

Stability & Storage

Use a manual defrost freezer and avoid repeated freeze-thaw cycles.
  • 12 months from date of receipt, -20 to -70 °C as supplied.
  • 1 month, 2 to 8 °C under sterile conditions after reconstitution.
  • 6 months, -20 to -70 °C under sterile conditions after reconstitution.

Background: Androgen R/NR3C4

The Androgen Receptor (AR) is a 90 kDa steroid hormone receptor that is critical for the development and function of the male reproductive system. AR binding to testosterone or 5 alpha-dihydrotestosterone (DHT) triggers receptor dimerization followed by translocation to the nucleus where it promotes transcription of androgen responsive genes. Multiple polymorphisms in AR are linked to the development of prostate cancer. The ligand binding domain of human AR (aa 661-920) shares 100% aa sequence identity with mouse and rat AR.

Long Name

Androgen Receptor

Alternate Names

AIS, AndrogenR, AR, DHTR, NR3C4, SBMA, SMAX1

Entrez Gene IDs

367 (Human)

Gene Symbol

AR

Additional Androgen R/NR3C4 Products

Product Documents for Human Androgen R/NR3C4 Antibody

Certificate of Analysis

To download a Certificate of Analysis, please enter a lot number in the search box below.

Note: Certificate of Analysis not available for kit components.

Product Specific Notices for Human Androgen R/NR3C4 Antibody

For research use only

Loading...
Loading...
Loading...
Loading...
Loading...