Skip to main content

Key Product Details

Validated by

Biological Validation

Species Reactivity

Validated:

Human

Cited:

Human, Mouse

Applications

Validated:

Immunohistochemistry, Western Blot, Neutralization, Immunocytochemistry

Cited:

Immunohistochemistry, Immunohistochemistry-Paraffin, Western Blot, Neutralization, Immunocytochemistry, ELISA Capture, Functional Assay

Label

Unconjugated

Antibody Source

Polyclonal Goat IgG

Product Specifications

Immunogen

E. coli-derived recombinant human Amphiregulin
Val107-Lys184
Accession # P15514

Specificity

Detects human Amphiregulin in direct ELISAs and Western blots. In direct ELISAs, less than 5% cross-reactivity with recombinant mouse (rm) Amphiregulin, rmEpiregulin, recombinant human (rh) HB-EGF, and rhTGF-alpha is observed.

Clonality

Polyclonal

Host

Goat

Isotype

IgG

Endotoxin Level

<0.10 EU per 1 μg of the antibody by the LAL method.

Scientific Data Images for Human Amphiregulin Antibody

Detection of Human Amphiregulin antibody by Western Blot.

Detection of Human Amphiregulin by Western Blot.

Western blot shows conditioned media from T47D human breast cancer cell line untreated (-) or treated (+) with PMA and PHA for 3 days. PVDF membrane was probed with 1 µg/mL of Goat Anti-Human Amphiregulin Antigen Affinity-purified Polyclonal Antibody (Catalog # AF262) followed by HRP-conjugated Anti-Goat IgG Secondary Antibody (Catalog # HAF109). A specific band was detected for Amphiregulin at approximately 45 kDa (as indicated). This experiment was conducted under reducing conditions and using Immunoblot Buffer Group 1.
Amphiregulin antibody in MCF-7 Human Cell Line by Immunocytochemistry (ICC).

Amphiregulin in MCF‑7 Human Cell Line.

Amphiregulin was detected in immersion fixed MCF-7 human breast cancer cell line using Goat Anti-Human Amphiregulin Antigen Affinity-purified Poly-clonal Antibody (Catalog # AF262) at 10 µg/mL for 3 hours at room temperature. Cells were stained using the NorthernLights™ 557-conjugated Anti-Goat IgG Secondary Antibody (yellow; Catalog # NL001) and counter-stained with DAPI (blue). View our protocol for Fluorescent ICC Staining of Cells on Coverslips.
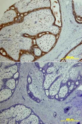
Amphiregulin antibody in Human Breast by Immunohistochemistry (IHC-P).

Amphiregulin in Human Breast.

Amphiregulin was detected in immersion fixed paraffin-embedded sections of human breast using Goat Anti-Human Amphiregulin Antigen Affinity-purified Polyclonal Antibody (Catalog # AF262) at 15 µg/mL overnight at 4 °C. Tissue was stained using the Anti-Goat HRP-DAB Cell & Tissue Staining Kit (brown; Catalog # CTS008) and counterstained with hematoxylin (blue). Lower panel shows a lack of labeling if primary antibodies are omitted and tissue is stained only with secondary antibody followed by incubation with detection reagents. View our protocol for Chromogenic IHC Staining of Paraffin-embedded Tissue Sections.

Applications for Human Amphiregulin Antibody

Application
Recommended Usage

Immunocytochemistry

5-15 µg/mL
Sample: Immersion fixed MCF-7 human breast cancer cell line

Immunohistochemistry

5-15 µg/mL
Sample: Immersion fixed paraffin-embedded sections of human breast 

Western Blot

1 µg/mL
Sample: T47D human breast cancer cell line treated with PMA and PHA

Neutralization

Measured by its ability to neutralize Amphiregulin-induced proliferation in the Balb/3T3 mouse embryonic fibroblast cell line. The Neutralization Dose (ND50) is typically 0.3-1 µg/mL in the presence of 50 ng/mL Recombinant Human Amphiregulin.

Reviewed Applications

Read 1 review rated 5 using AF262 in the following applications:

Formulation, Preparation, and Storage

Purification

Antigen Affinity-purified

Reconstitution

Reconstitute at 0.2 mg/mL in sterile PBS. For liquid material, refer to CoA for concentration.

Reconstitution Buffer Available:
Size / Price
Qty
Loading...

Formulation

Lyophilized from a 0.2 μm filtered solution in PBS with Trehalose. *Small pack size (SP) is supplied either lyophilized or as a 0.2 µm filtered solution in PBS.

Shipping

Lyophilized product is shipped at ambient temperature. Liquid small pack size (-SP) is shipped with polar packs. Upon receipt, store immediately at the temperature recommended below.

Stability & Storage

Use a manual defrost freezer and avoid repeated freeze-thaw cycles.
  • 12 months from date of receipt, -20 to -70 °C as supplied.
  • 1 month, 2 to 8 °C under sterile conditions after reconstitution.
  • 6 months, -20 to -70 °C under sterile conditions after reconstitution.

Background: Amphiregulin

Amphiregulin (AR) is a member of the EGF family of cytokines which is comprised of at least ten proteins including EGF, TGF-alpha, HB-EGF, and the various heregulins. All of these cytokines are synthesized as transmembrane precursors and are characterized by the presence of one or several EGF structural units in their extracellular domain. The soluble forms of these cytokines are released by proteolytic cleavage. Amphiregulin was originally isolated from the conditioned media of a PMA-treated MCF-7 human breast carcinoma cell line. The AR cDNA encodes a 252 amino acid (aa) residue transmembrane precursor. Multiple forms of native AR containing either 78 or 84 aa residues and both N- and O-linked oligosaccharides have been found. Amphiregulin mRNA expression can be detected in numerous carcinoma cell lines and the epithelial cells of various human tissues including colon, stomach, breast, ovary, kidney, etc.

Human AR stimulates the proliferation of various human and mouse keratinocytes, mammary epithelial cells and some fibroblasts. AR is also a growth inhibitor for various tumor cell lines. In certain colon carcinoma cell lines, AR has been shown to be an autocrine growth factor. Amphiregulin can bind to the EGF receptor. It has been suggested that in certain cell types, AR bioactivity may be mediated through the EGF receptor. The 98 aa residue long form of recombinant amphiregulin has shown to be approximately 5 - 10 fold more active than the 78 aa residue form of recombinant AR in an in vitro proliferation assay using Balb/3T3 fibroblasts.

Alternate Names

AREG

Entrez Gene IDs

374 (Human); 11839 (Mouse)

Gene Symbol

AREG

UniProt

Additional Amphiregulin Products

Product Documents for Human Amphiregulin Antibody

Certificate of Analysis

To download a Certificate of Analysis, please enter a lot number in the search box below.

Note: Certificate of Analysis not available for kit components.

Product Specific Notices for Human Amphiregulin Antibody

For research use only

Loading...
Loading...
Loading...
Loading...