Skip to main content

Key Product Details

Validated by

Knockout/Knockdown

Species Reactivity

Validated:

Human

Cited:

Human

Applications

Validated:

Knockout Validated, Immunohistochemistry, Western Blot, Flow Cytometry, Simple Western, Immunoprecipitation, CyTOF-ready

Cited:

Immunohistochemistry, Immunohistochemistry-Frozen, Western Blot

Label

Unconjugated

Antibody Source

Polyclonal Sheep IgG

Product Specifications

Immunogen

Mouse myeloma cell line NS0-derived recombinant human Aminopeptidase N/CD13
Lys69-Lys967
Accession # P15144

Specificity

Detects human Aminopeptidase N/CD13 in the direct ELISAs and Western blots. In direct ELISAs and Western blots, approximately 20% cross-reactivity with recombinant mouse APN is observed.

Clonality

Polyclonal

Host

Sheep

Isotype

IgG

Scientific Data Images for Human Aminopeptidase N/CD13 Antibody

Detection of Human Aminopeptidase N/CD13 antibody by Western Blot.

Detection of Human Aminopeptidase N/CD13 by Western Blot.

Western blot shows lysates of human kidney tissue and human prostate tissue. PVDF membrane was probed with 0.5 µg/mL of Sheep Anti-Human Aminopeptidase N/CD13 Antigen Affinity-purified Polyclonal Antibody (Catalog # AF3815) followed by HRP-conjugated Anti-Sheep IgG Secondary Antibody (Catalog # HAF016). A specific band was detected for Aminopeptidase N/CD13 at approximately 150 kDa (as indicated). This experiment was conducted under reducing conditions and using Immunoblot Buffer Group 1.
Detection of Aminopeptidase N/CD13 antibody in U937 Human Cell Line antibody by Flow Cytometry.

Detection of Aminopeptidase N/CD13 in U937 Human Cell Line by Flow Cytometry.

U937 human histiocytic lymphoma cell line was stained with Sheep Anti-Human Aminopeptidase N/CD13 Antigen Affinity-purified Polyclonal Antibody (Catalog # AF3815, filled histogram) or isotype control antibody (Catalog # 5-001-A, open histogram), followed by APC-conjugated Anti-Sheep IgG Secondary Antibody (Catalog # F0127). View our protocol for Staining Membrane-associated Proteins.
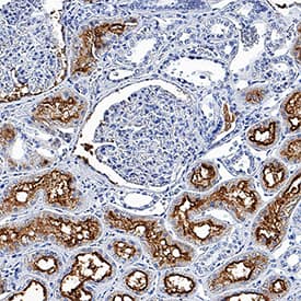
Aminopeptidase N/CD13 antibody in Human Kidney by Immunohistochemistry (IHC-P).

Aminopeptidase N/CD13 in Human Kidney.

Aminopeptidase N/CD13 was detected in immersion fixed paraffin-embedded sections of human kidney using Sheep Anti-Human Aminopeptidase N/CD13 Antigen Affinity-purified Polyclonal Antibody (Catalog # AF3815) at 0.3 µg/mL overnight at 4 °C. Tissue was stained using the Anti-Sheep HRP-DAB Cell & Tissue Staining Kit (brown; Catalog # CTS019) and counterstained with hematoxylin (blue). Specific staining was localized to convoluted tubules. View our protocol for Chromogenic IHC Staining of Paraffin-embedded Tissue Sections.

Applications for Human Aminopeptidase N/CD13 Antibody

Application
Recommended Usage

CyTOF-ready

Ready to be labeled using established conjugation methods. No BSA or other carrier proteins that could interfere with conjugation.

Flow Cytometry

0.25 µg/106 cells
Sample: U937 human histiocytic lymphoma cell line

Immunohistochemistry

0.3-15 µg/mL
Sample: Immersion fixed paraffin-embedded sections of human kidney

Immunoprecipitation

25 µg/mL
Sample: Conditioned cell culture medium spiked with Recombinant Human Aminopeptidase N/CD13 (Catalog # 3815-ZN), see our available Western blot detection antibodies

Knockout Validated

Aminopeptidase N/CD13 is specifically detected in U937 human histiocytic lymphoma parental cell line but is not detectable in Aminopeptidase N/CD13 knockout U937 human histiocytic lymphoma cell line.

Simple Western

10 µg/mL
Sample: Human small intestine tissue and Human prostate tissue

Western Blot

0.5 µg/mL
Sample: Human kidney tissue and human prostate tissue

Formulation, Preparation, and Storage

Purification

Antigen Affinity-purified

Reconstitution

Reconstitute at 0.2 mg/mL in sterile PBS. For liquid material, refer to CoA for concentration.

Reconstitution Buffer Available:
Size / Price
Qty
Loading...

Formulation

Lyophilized from a 0.2 μm filtered solution in PBS with Trehalose. *Small pack size (SP) is supplied either lyophilized or as a 0.2 µm filtered solution in PBS.

Shipping

Lyophilized product is shipped at ambient temperature. Liquid small pack size (-SP) is shipped with polar packs. Upon receipt, store immediately at the temperature recommended below.

Stability & Storage

Use a manual defrost freezer and avoid repeated freeze-thaw cycles.
  • 12 months from date of receipt, -20 to -70 °C as supplied.
  • 1 month, 2 to 8 °C under sterile conditions after reconstitution.
  • 6 months, -20 to -70 °C under sterile conditions after reconstitution.

Background: Aminopeptidase N/CD13

The human ANPEP gene encodes aminopeptidase N (APN), which is also known as microsomal aminopeptiase, alanyl aminopeptidase, aminopeptidase M, CD13, or membrane protein p161 (1‑3). The deduced amino acid sequence of human APN consists of a short cytoplasmic tail (residues 2 to 8), a transmembrane region (residue 9 to 32), a Ser/Thr rich region and a zinc metalloprotease domain (residues 69 to 966). Widely expressed in many cells, tissues and species, APN cleaves the N-terminal amino acids from bioactive peptides, leading to their inactivation or degradation. The roles of APN in many fields, such as neuroscience, hematopoeitic cells, immune system, angiogenesis, cancer and viral infection, have been reviewed (3).

References

  1. Olsen, J. et al. (1988) FEBS Lett. 238:307.
  2. Look, A.T. et al. (1989) J. Clin. Invest. 83:1299.
  3. Turner, A.J. (2004) in Handbook of Proteolytic Enzymes (ed. Barrett, et al.) pp. 289, Academic Press, San Diego.

Alternate Names

Aminopeptidase M, ANPEP, APN, CD13, gp150, PEPN

Entrez Gene IDs

290 (Human); 16790 (Mouse); 397520 (Porcine); 102115663 (Cynomolgus Monkey)

Gene Symbol

ANPEP

UniProt

Additional Aminopeptidase N/CD13 Products

Product Documents for Human Aminopeptidase N/CD13 Antibody

Certificate of Analysis

To download a Certificate of Analysis, please enter a lot number in the search box below.

Note: Certificate of Analysis not available for kit components.

Product Specific Notices for Human Aminopeptidase N/CD13 Antibody

For research use only

Loading...
Loading...
Loading...
Loading...
Loading...