Skip to main content

Key Product Details

Species Reactivity

Validated:

Human

Cited:

Human

Applications

Validated:

Immunohistochemistry, Western Blot, ELISA, Simple Western

Cited:

Immunohistochemistry-Paraffin, Western Blot, Immunocytochemistry

Label

Unconjugated

Antibody Source

Polyclonal Goat IgG

Product Specifications

Immunogen

E. coli-derived recombinant human alpha-Synuclein
Met1-Ala140
Accession # P37840

Specificity

Detects human alpha-Synuclein in direct ELISAs and Western blots. In direct ELISAs, less than 3% cross-reactivity with recombinant human (rh)  beta-Synuclein and rh gamma-Synuclein is observed.

Clonality

Polyclonal

Host

Goat

Isotype

IgG

Scientific Data Images for Human alpha-Synuclein Antibody

Detection of Human a-Synuclein antibody by Western Blot.

Detection of Human alpha-Synuclein by Western Blot.

Western blot shows lysates of human brain (motor cortex) tissue, human brain (cerebellum) tissue, SH-SY5Y human neuroblastoma cell line, and U-87 MG human glioblastoma/astrocytoma cell line. PVDF membrane was probed with 1 µg/mL of Goat Anti-Human a-Synuclein Antigen Affinity-purified Polyclonal Antibody (Catalog # AF1338) followed by HRP-conjugated Anti-Goat IgG Secondary Antibody (HAF019). A specific band was detected for a-Synuclein at approximately 18 kDa (as indicated). This experiment was conducted under reducing conditions and using Immunoblot Buffer Group 1.
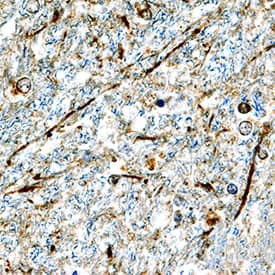
a-Synuclein antibody in Human Brain by Immunohistochemistry (IHC-P).

alpha-Synuclein in Human Brain.

a-Synuclein was detected in immersion fixed paraffin-embedded sections of human brain (hypothalamus) using Goat Anti-Human a-Synuclein Antigen Affinity-purified Polyclonal Antibody (Catalog # AF1338) at 15 µg/mL overnight at 4 °C. Tissue was stained using the Anti-Goat HRP-DAB Cell & Tissue Staining Kit (brown; CTS008) and counterstained with hematoxylin (blue). Specific staining was localized to neuronal processes. View our protocol for Chromogenic IHC Staining of Paraffin-embedded Tissue Sections.
Human a-Synuclein Antibody in ELISA Standard Curve.

Human alpha-Synuclein ELISA Standard Curve.

Recombinant Human a-Synuclein protein was serially diluted 2-fold and captured by Mouse Anti-Human a-Synuclein Monoclonal Antibody (MAB13384) coated on a Clear Polystyrene Microplate (DY990). Goat Anti-Human a-Synuclein Antigen Affinity-purified Polyclonal Antibody (Catalog # AF1338) was biotinylated and incubated with the protein captured on the plate. Detection of the standard curve was achieved by incubating Streptavidin-HRP (Catalog # DY998) followed by Substrate Solution (DY999) and stopping the enzymatic reaction with Stop Solution (DY994).

Applications for Human alpha-Synuclein Antibody

Application
Recommended Usage

ELISA

This antibody functions as an ELISA detection antibody when paired with Mouse Anti-Human alpha-Synuclein Monoclonal Antibody (Catalog # MAB13384) .

This product is intended for assay development on various assay platforms requiring antibody pairs. We recommend the Human alpha-Synuclein DuoSet ELISA Kit (Catalog # DY1338-05) for convenient development of a sandwich ELISA.

Immunohistochemistry

5-15 µg/mL
Sample: Immersion fixed paraffin-embedded sections of human brain (hypothalamus)

Simple Western

5-15 µg/mL
Sample: Human malignant melanoma cell line

Western Blot

1 µg/mL
Sample: Human brain (motor cortex) tissue, human brain (cerebellum) tissue, SH‑SY5Y human neuroblastoma cell line, and U‑87 MG human glioblastoma/astrocytoma cell line

Formulation, Preparation, and Storage

Purification

Antigen Affinity-purified

Reconstitution

Reconstitute at 0.2 mg/mL in sterile PBS. For liquid material, refer to CoA for concentration.

Reconstitution Buffer Available:
Size / Price
Qty
Loading...

Formulation

Lyophilized from a 0.2 μm filtered solution in PBS with Trehalose. *Small pack size (SP) is supplied either lyophilized or as a 0.2 µm filtered solution in PBS.

Shipping

Lyophilized product is shipped at ambient temperature. Liquid small pack size (-SP) is shipped with polar packs. Upon receipt, store immediately at the temperature recommended below.

Stability & Storage

Use a manual defrost freezer and avoid repeated freeze-thaw cycles.
  • 12 months from date of receipt, -20 to -70 °C as supplied.
  • 1 month, 2 to 8 °C under sterile conditions after reconstitution.
  • 6 months, -20 to -70 °C under sterile conditions after reconstitution.

Background: alpha-Synuclein

alpha-Synuclein is a cytoplasmic protein that is predominantly expressed in the central nervous system. It is a minor protein found in amyloid deposition that is a hallmark of Alzheimer's disease. Defects in SNCA are associated with familial Parkinson's disease.

Alternate Names

NACP, PARK1, PARK4, SNCA, Synuclein-alpha

Entrez Gene IDs

6622 (Human); 20617 (Mouse); 29219 (Rat); 641350 (Porcine); 282857 (Bovine)

Gene Symbol

SNCA

UniProt

Additional alpha-Synuclein Products

Product Documents for Human alpha-Synuclein Antibody

Certificate of Analysis

To download a Certificate of Analysis, please enter a lot number in the search box below.

Note: Certificate of Analysis not available for kit components.

Product Specific Notices for Human alpha-Synuclein Antibody

For research use only

Loading...
Loading...
Loading...
Loading...