Skip to main content

Human Adrenomedullin R/ADMR Antibody

R&D Systems, part of Bio-Techne | Catalog # MAB10293

R&D Systems, part of Bio-Techne
Catalog #
Availability
Size / Price
Qty
Loading...
MAB10293-100
MAB10293-SP

Key Product Details

Species Reactivity

Human

Applications

Immunohistochemistry, Flow Cytometry, CyTOF-ready

Label

Unconjugated

Antibody Source

Monoclonal Mouse IgG2B Clone # 528563

Product Specifications

Immunogen

HEK293 human embryonic kidney cell line transfected with human Adrenomedullin R/ADMR
Accession # O15218

Specificity

Detects human Adrenomedullin R/ADMR in direct ELISAs.

Clonality

Monoclonal

Host

Mouse

Isotype

IgG2B

Scientific Data Images for Human Adrenomedullin R/ADMR Antibody

Detection of Adrenomedullin R/ADMR antibody in HEK293 Human Cell Line Transfected with Human Adrenomedullin R/ADMR and eGFP antibody by Flow Cytometry.

Detection of Adrenomedullin R/ADMR in HEK293 Human Cell Line Transfected with Human Adrenomedullin R/ADMR and eGFP by Flow Cytometry.

HEK293 human embryonic kidney cell line transfected with (A) human Adrenomedullin R/ADMR or (B) irrelevant transfectants and eGFP was stained with Mouse Anti-Human Adrenomedullin R/ADMR Monoclonal Antibody (Catalog # MAB10293) followed by APC-conjugated Anti-Mouse IgG Secondary Antibody (Catalog # F0101B). Quadrant markers were set based on control antibody staining (Catalog # MAB0041). View our protocol for Staining Membrane-associated Proteins.
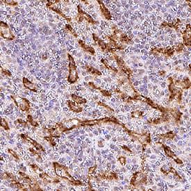
Adrenomedullin R/ADMR antibody in Human Spleen Tissue by Immunohistochemistry (IHC-P).

Adrenomedullin R/ADMR in Human Spleen Tissue.

Adrenomedullin R/ADMR was detected in immersion fixed paraffin-embedded sections of human spleen tissue using Mouse Anti-Human Adrenomedullin R/ADMR Monoclonal Antibody (Catalog # MAB10293) at 5 µg/mL for 1 hour at room temperature followed by incubation with the Anti-Mouse IgG VisUCyte™ HRP Polymer Antibody (Catalog # VC001). Before incubation with the primary antibody, tissue was subjected to heat-induced epitope retrieval using Antigen Retrieval Reagent-Basic (Catalog # CTS013). Tissue was stained using DAB (brown) and counterstained with hematoxylin (blue). Specific staining was localized to endothelial cell in sinusoids. View our protocol for IHC Staining with VisUCyte HRP Polymer Detection Reagents.

Applications for Human Adrenomedullin R/ADMR Antibody

Application
Recommended Usage

CyTOF-ready

Ready to be labeled using established conjugation methods. No BSA or other carrier proteins that could interfere with conjugation.

Flow Cytometry

0.25 µg/106 cells
Sample: HEK293 Human Cell Line Transfected with Human Adrenomedullin R/ADMR and eGFP

Immunohistochemistry

5-25 µg/mL
Sample: Immersion fixed paraffin-embedded sections of human spleen tissue

Formulation, Preparation, and Storage

Purification

Protein A or G purified from hybridoma culture supernatant

Reconstitution

Reconstitute at 0.5 mg/mL in sterile PBS. For liquid material, refer to CoA for concentration.

Reconstitution Buffer Available:
Size / Price
Qty
Loading...

Formulation

Lyophilized from a 0.2 μm filtered solution in PBS with Trehalose. *Small pack size (SP) is supplied either lyophilized or as a 0.2 µm filtered solution in PBS.

Shipping

Lyophilized product is shipped at ambient temperature. Liquid small pack size (-SP) is shipped with polar packs. Upon receipt, store immediately at the temperature recommended below.

Stability & Storage

Use a manual defrost freezer and avoid repeated freeze-thaw cycles.
  • 12 months from date of receipt, -20 to -70 °C as supplied.
  • 1 month, 2 to 8 °C under sterile conditions after reconstitution.
  • 6 months, -20 to -70 °C under sterile conditions after reconstitution.

Background: Adrenomedullin R/ADMR

ADMR (GPR182) is a seven transmembrane orphan receptor originally thought to be a receptor for adrenomedullin. ADMR is highly expressed in heart, skeletal muscle, immune system, adrenal gland and liver. Expression is in endothelial cells along the vascular tree.

Long Name

Adrenomedullin Receptor

Alternate Names

7TMR, ADMR, AdrenomedullinR, AMR, G10D, GAMRH, Gpcr22, GPR182, MB10, NOW

Entrez Gene IDs

11318 (Human); 11536 (Mouse); 29307 (Rat)

Gene Symbol

GPR182

UniProt

Additional Adrenomedullin R/ADMR Products

Product Documents for Human Adrenomedullin R/ADMR Antibody

Certificate of Analysis

To download a Certificate of Analysis, please enter a lot number in the search box below.

Note: Certificate of Analysis not available for kit components.

Product Specific Notices for Human Adrenomedullin R/ADMR Antibody

For research use only

Loading...
Loading...
Loading...
Loading...
Loading...