Skip to main content

Granulysin Antibody - BSA Free

Novus Biologicals, part of Bio-Techne | Catalog # NBP2-38839

Novus Biologicals, part of Bio-Techne
Catalog #
Availability
Size / Price
Qty
Loading...
NBP2-38839
NBP2-38839-25ul

Key Product Details

Validated by

Orthogonal Validation

Species Reactivity

Human

Applications

Immunohistochemistry, Immunohistochemistry-Paraffin

Label

Unconjugated

Antibody Source

Polyclonal Rabbit IgG

Format

BSA Free

Concentration

Concentrations vary lot to lot. See vial label for concentration. If unlisted please contact technical services.

Product Specifications

Immunogen

This antibody was developed against a recombinant protein corresponding to amino acids: RLSPEYYDLARAHLRDEEKSCPCLAQEGPQGDLLTKTQELGRDYRTCLTIVQKLKKMVDKP

Clonality

Polyclonal

Host

Rabbit

Isotype

IgG

Description

Novus Biologicals Rabbit Granulysin Antibody - BSA Free (NBP2-38839) is a polyclonal antibody validated for use in IHC. All Novus Biologicals antibodies are covered by our 100% guarantee.

Scientific Data Images for Granulysin Antibody - BSA Free

Immunohistochemistry-Paraffin: Granulysin Antibody [NBP2-38839]

Immunohistochemistry-Paraffin: Granulysin Antibody [NBP2-38839]

Immunohistochemistry-Paraffin: Granulysin Antibody [NBP2-38839] - Analysis in human spleen and pancreas tissues. Corresponding Granulysin RNA-seq data are presented for the same tissues.
Immunohistochemistry-Paraffin: Granulysin Antibody [NBP2-38839]

Immunohistochemistry-Paraffin: Granulysin Antibody [NBP2-38839]

Immunohistochemistry-Paraffin: Granulysin Antibody [NBP2-38839] - Staining of human spleen shows strong cytoplasmic positivity in cells in red pulp.
Immunohistochemistry-Paraffin: Granulysin Antibody [NBP2-38839]

Immunohistochemistry-Paraffin: Granulysin Antibody [NBP2-38839]

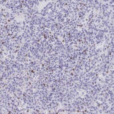
Immunohistochemistry-Paraffin: Granulysin Antibody [NBP2-38839] - Staining of human endometrium strong cytoplasmic positivity in lymphoid cells.

Applications for Granulysin Antibody - BSA Free

Application
Recommended Usage

Immunohistochemistry

1:1000 - 1:2500

Immunohistochemistry-Paraffin

1:1000 - 1:2500
Application Notes
For IHC-Paraffin, HIER pH 6 retrieval is recommended.

Formulation, Preparation, and Storage

Purification

Immunogen affinity purified

Formulation

PBS (pH 7.2) and 40% Glycerol

Format

BSA Free

Preservative

0.02% Sodium Azide

Concentration

Concentrations vary lot to lot. See vial label for concentration. If unlisted please contact technical services.

Shipping

The product is shipped with polar packs. Upon receipt, store it immediately at the temperature recommended below.

Stability & Storage

Store at 4C short term. Aliquot and store at -20C long term. Avoid freeze-thaw cycles.

Background: Granulysin

The product of this gene is a member of the saposin-like protein (SAPLIP) family and is located in the cytotoxic granules of T cells, which are released upon antigen stimulation. This protein is present in cytotoxic granules of cytotoxic T lymphocytes and natural killer cells, and it has antimicrobial activity against M. tuberculosis and other organisms. Alternatively spliced transcript variants encoding different isoforms have been identified. [provided by RefSeq]

Alternate Names

GNLY, LAG2, Lymphokine, NKG5, TLA519

Gene Symbol

GNLY

UniProt

Additional Granulysin Products

Product Documents for Granulysin Antibody - BSA Free

Certificate of Analysis

To download a Certificate of Analysis, please enter a lot number in the search box below.

Product Specific Notices for Granulysin Antibody - BSA Free

This product is for research use only and is not approved for use in humans or in clinical diagnosis. Primary Antibodies are guaranteed for 1 year from date of receipt.

Loading...
Loading...
Loading...
Loading...