Skip to main content

EOMES Antibody (CL15425) - Azide and BSA Free

Novus Biologicals, part of Bio-Techne | Catalog # NBP3-44155

Novus Biologicals, part of Bio-Techne

Key Product Details

Validated by

Orthogonal Validation

Species Reactivity

Human, Mouse

Applications

Immunohistochemistry-Paraffin

Label

Unconjugated

Antibody Source

Monoclonal Mouse IgG1 Clone # CL15425

Format

Azide and BSA Free

Concentration

LYOPH mg/ml

Product Specifications

Immunogen

This antibody was generated using a recombinant protein sequence of O95936, with the exact immunogen sequence remaining proprietary.

Clonality

Monoclonal

Host

Mouse

Isotype

IgG1

Description

Novus Biologicals Mouse EOMES Antibody (CL15425) - Azide and BSA Free (NBP3-43667) is a monoclonal antibody validated for use in IHC. All Novus Biologicals antibodies are covered by our 100% guarantee.

Scientific Data Images for EOMES Antibody (CL15425) - Azide and BSA Free

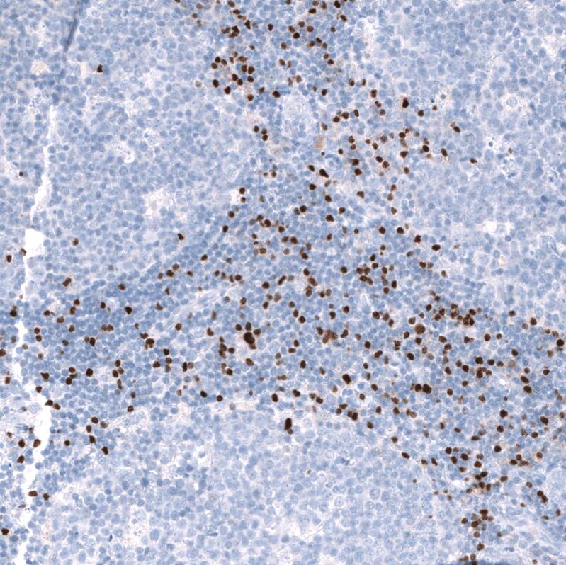
EOMES Antibody (CL15425) - Azide and BSA Free Immunohistochemistry-Paraffin: EOMES Antibody [NBP3-44155]

Immunohistochemistry-Paraffin: EOMES Antibody [NBP3-44155]

Analysis in human tonsil and prostate tissues using NBP3-44155 antibody. Corresponding EOMES RNA-seq data are presented for the same tissues.
EOMES Antibody (CL15425) - Azide and BSA Free Immunohistochemistry-Paraffin: EOMES Antibody [NBP3-44155]

Immunohistochemistry-Paraffin: EOMES Antibody [NBP3-44155]

Staining of human cerebellum shows strong nuclear positivity in a subset of neurons in the granular layer.
EOMES Antibody (CL15425) - Azide and BSA Free Immunohistochemistry-Paraffin: EOMES Antibody [NBP3-44155]

Immunohistochemistry-Paraffin: EOMES Antibody [NBP3-44155]

Staining of human prostate shows no positivity in glandular cells as expected.

Applications for EOMES Antibody (CL15425) - Azide and BSA Free

Application
Recommended Usage

Immunohistochemistry-Paraffin

1:50-1:200
Application Notes
For IHC-Paraffin, HIER pH 6 retrieval is recommended.

Formulation, Preparation, and Storage

Purification

Protein A purified

Reconstitution

Centrifuge the vial of lyophilized antibody at 12,000 x g for 20 seconds. Reconstitute by adding sterile, distilled water to achieve a final antibody concentration of 1mg/ml.

Formulation

Lyophilized from a 0.2 um filtered solution in PBS with Trehalose

Format

Azide and BSA Free

Preservative

No Preservative

Concentration

LYOPH mg/ml

Shipping

The product is shipped at ambient temperature. Upon receipt, store it immediately at the temperature recommended below.

Stability & Storage

Store at 4C short term. Aliquot and store at -20C long term. Avoid freeze-thaw cycles.

Background: EOMES

EOMES encodes a member of a conserved protein family that shares a common DNA-binding domain, the T-box. T-box genes encode transcription factors involved in the regulation of developmental processes. A similiar gene disrupted in mice is shown to be essential during trophoblast development and gastrulation.

Long Name

Eomesodermin Homolog

Alternate Names

Eomesodermin, TBR2

Gene Symbol

EOMES

Additional EOMES Products

Product Documents for EOMES Antibody (CL15425) - Azide and BSA Free

Certificate of Analysis

To download a Certificate of Analysis, please enter a lot number in the search box below.

Product Specific Notices for EOMES Antibody (CL15425) - Azide and BSA Free

This product is for research use only and is not approved for use in humans or in clinical diagnosis. Primary Antibodies are guaranteed for 1 year from date of receipt.

Loading...
Loading...
Loading...
Loading...
Loading...
Loading...