Skip to main content

Dectin-1/CLEC7A Antibody - BSA Free

Novus Biologicals, part of Bio-Techne | Catalog # NBP2-41170

Novus Biologicals, part of Bio-Techne

Key Product Details

Species Reactivity

Human, Mouse, Rat

Applications

Immunohistochemistry, Immunohistochemistry-Paraffin, Western Blot, ELISA, Immunocytochemistry/ Immunofluorescence

Label

Unconjugated

Antibody Source

Polyclonal Rabbit IgG

Format

BSA Free

Concentration

1 mg/ml

Product Specifications

Immunogen

Antibody was raised against a 17 amino acid synthetic peptide near the center of human CLEC7A. The immunogen is located within amino acids 70 - 120 of CLEC7A. Amino Acid Squence: LSRNKENHSQPTQSSLE

Reactivity Notes

Immunogen displays the following percentage of sequence identity for non-tested species: Bovine (88%)

Specificity

Multiple isoforms of CLEC7A are known to exist.

Clonality

Polyclonal

Host

Rabbit

Isotype

IgG

Theoretical MW

27 kDa.
Disclaimer note: The observed molecular weight of the protein may vary from the listed predicted molecular weight due to post translational modifications, post translation cleavages, relative charges, and other experimental factors.

Description

Novus Biologicals Rabbit Dectin-1/CLEC7A Antibody - BSA Free (NBP2-41170) is a polyclonal antibody validated for use in IHC, WB, ELISA and ICC/IF. All Novus Biologicals antibodies are covered by our 100% guarantee.

Scientific Data Images for Dectin-1/CLEC7A Antibody - BSA Free

Western Blot: Dectin-1/CLEC7A AntibodyBSA Free [NBP2-41170]

Western Blot: Dectin-1/CLEC7A AntibodyBSA Free [NBP2-41170]

Western Blot: Dectin-1/CLEC7A Antibody [NBP2-41170] - Western blot analysis of CLEC7A in rat spleen tissue lysate with CLEC7A antibody at (A) 1 and (B) 2 ug/mL.
Dectin-1/CLEC7A Antibody - BSA Free

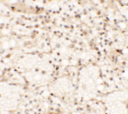
Immunohistochemistry: Dectin-1/CLEC7A Antibody - BSA Free [NBP2-41170] -

Immunohistochemistry: Dectin-1/CLEC7A Antibody - BSA Free [NBP2-41170] - Immunohistochemistry of Dectin-1/CLEC7A in human spleen tissue with Dectin-1/CLEC7A antibody at 5 ug/mL.
Dectin-1/CLEC7A Antibody - BSA Free

Immunocytochemistry/ Immunofluorescence: Dectin-1/CLEC7A Antibody - BSA Free [NBP2-41170] -

Immunocytochemistry/ Immunofluorescence: Dectin-1/CLEC7A Antibody - BSA Free [NBP2-41170] - Immunofluorescence of Dectin-1/CLEC7A in Jurkat cells with Dectin-1/CLEC7A antibody at 20 ug/mL.

Applications for Dectin-1/CLEC7A Antibody - BSA Free

Application
Recommended Usage

Immunocytochemistry/ Immunofluorescence

20 ug/ml

Immunohistochemistry

5 ug/mL

Immunohistochemistry-Paraffin

5 ug/mL

Western Blot

1 - 2 ug/mL

Formulation, Preparation, and Storage

Purification

Peptide affinity purified

Formulation

PBS

Format

BSA Free

Preservative

0.02% Sodium Azide

Concentration

1 mg/ml

Shipping

The product is shipped with polar packs. Upon receipt, store it immediately at the temperature recommended below.

Stability & Storage

Store at 4C short term. Aliquot and store at -20C long term. Avoid freeze-thaw cycles.

Background: Dectin-1/CLEC7A

Dectin1 encodes a member of the C-type lectin/C-type lectin-like domain (CTL/CTLD) superfamily. The encoded glycoprotein is a small type II membrane receptor with an extracellular C-type lectin-like domain fold and a cytoplasmic domain with an immunoreceptor tyrosine-based activation motif. It functions as a pattern-recognition receptor that recognizes a variety of beta-1,3-linked and beta-1,6-linked glucans from fungi and plants, and in this way plays a role in innate immune response. Alternate transcriptional splice variants, encoding different isoforms, have been characterized. This gene is closely linked to other CTL/CTLD superfamily members on chromosome 12p13 in the natural killer gene complex region.

Alternate Names

CD369, CLEC7A, CLECSF12, Dectin1

Gene Symbol

CLEC7A

Additional Dectin-1/CLEC7A Products

Product Documents for Dectin-1/CLEC7A Antibody - BSA Free

Certificate of Analysis

To download a Certificate of Analysis, please enter a lot number in the search box below.

Product Specific Notices for Dectin-1/CLEC7A Antibody - BSA Free

This product is for research use only and is not approved for use in humans or in clinical diagnosis. Primary Antibodies are guaranteed for 1 year from date of receipt.

Loading...
Loading...
Loading...
Loading...