Skip to main content

CXCR4 Antibody - BSA Free

Novus Biologicals, part of Bio-Techne | Catalog # NBP1-76480

Novus Biologicals, part of Bio-Techne

Key Product Details

Validated by

Knockout/Knockdown, Independent Antibodies

Species Reactivity

Validated:

Human, Mouse, Rat

Cited:

Mouse

Predicted:

Porcine (100%). Backed by our 100% Guarantee.

Applications

Validated:

Immunohistochemistry, Immunohistochemistry-Paraffin, Western Blot, ELISA, Immunocytochemistry/ Immunofluorescence, Knockdown Validated

Cited:

Immunocytochemistry/ Immunofluorescence

Label

Unconjugated

Antibody Source

Polyclonal Rabbit IgG

Format

BSA Free

Concentration

1 mg/ml

Product Specifications

Immunogen

Antibody was raised against a peptide corresponding to 15 amino acids near the center of human CXCR4 isoform b. The immunogen is located within amino acids 170-220 of CXCR4. Amino Acid Squence: DRYICDRFYPNDLWV

Reactivity Notes

Immunogen displays the following percentage of sequence identity for non-tested species: Bovine (86%), Sheep (86%).

Specificity

Human CXCR4 has four isoforms, including isoform a (356aa, 40.2kD), isoform b (352aa, 39.7kD), isoform c (423aa, 47.6kD), and isoform d (385aa, 43.4kD). This antibody detects human isoform b only, but not other human isoforms. Mouse CXCR4 has two isoforms, including isoform 1 (359aa, 40.4kD) and isoform 2 (357aa, 40.2kD). Rat CXCR4 has only one isoform identified so far (349aa, 39.4kD).

Clonality

Polyclonal

Host

Rabbit

Isotype

IgG

Theoretical MW

40 kDa.
Disclaimer note: The observed molecular weight of the protein may vary from the listed predicted molecular weight due to post translational modifications, post translation cleavages, relative charges, and other experimental factors.

Description

Novus Biologicals Rabbit CXCR4 Antibody - BSA Free (NBP1-76480) is a polyclonal antibody validated for use in IHC, WB, ELISA and ICC/IF. Anti-CXCR4 Antibody: Cited in 1 publication. All Novus Biologicals antibodies are covered by our 100% guarantee.

Scientific Data Images for CXCR4 Antibody - BSA Free

Western Blot: CXCR4 AntibodyBSA Free [NBP1-76480]

Western Blot: CXCR4 AntibodyBSA Free [NBP1-76480]

Western Blot: CXCR4 Antibody [NBP1-76480] - Independent Antibody Validation (IAV) via Protein Expression Profile Loading: 15 ug of lysates per lane. Antibodies: NBP1-77067 (1 ug/mL), NBP1-76480 (1 ug/mL), and beta-actin (1 ug/mL), 1 h incubation at RT in 5% NFDM/TBST.
CXCR4 Antibody - BSA Free

Immunocytochemistry/ Immunofluorescence: CXCR4 Antibody - BSA Free [NBP1-76480] -

Immunocytochemistry/ Immunofluorescence: CXCR4 Antibody - BSA Free [NBP1-76480] - Figure 5 Immunofluorescence Validation of CXCR4
Immunofluorescent analysis of 4% paraformaldehyde-fixed HeLa cells labeling CXCR4 with at 4 u/mL, followed by goat anti-rabbit IgG secondary antibody at 1/500 dilution (red). Image showing both membrane and cytoplasmic staining on HeLa cell line.
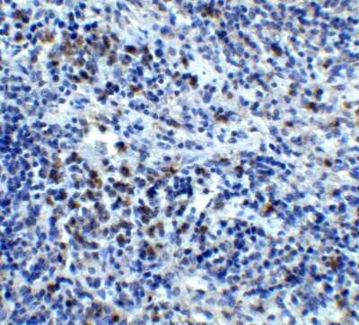
Immunohistochemistry-Paraffin: CXCR4 Antibody - BSA Free [NBP1-76480]

Immunohistochemistry-Paraffin: CXCR4 Antibody - BSA Free [NBP1-76480]

Immunohistochemistry-Paraffin: CXCR4 Antibody [NBP1-76480] - Staining of CXCR4 in mouse spleen tissue with CXCR4 antibody at 5 ug/ml.

Applications for CXCR4 Antibody - BSA Free

Application
Recommended Usage

ELISA

1:100-1:2000

Immunocytochemistry/ Immunofluorescence

4 ug/ml

Immunohistochemistry

5 ug/ml

Immunohistochemistry-Paraffin

5 ug/ml

Western Blot

1-2 ug/mL

Formulation, Preparation, and Storage

Purification

Protein A purified

Formulation

PBS

Format

BSA Free

Preservative

0.02% Sodium Azide

Concentration

1 mg/ml

Shipping

The product is shipped with polar packs. Upon receipt, store it immediately at the temperature recommended below.

Stability & Storage

Store at 4C short term. Aliquot and store at -20C long term. Avoid freeze-thaw cycles.

Background: CXCR4

Human immunodeficiency virus (HIV) and related viruses require coreceptors, in addition to CD4, to infect target cells. Some G protein-coupled receptors including CCR5, CXCR4, CCR3, CCR2b and CCR8 in the chemokine receptor family, and four new human molecules GPR15, STRL33, GPR1 and V28 were recently identified as HIV coreceptors. Among them, CXCR4 (fusin, LESTR or HUMSTR) is a principal coreceptor for T-cell tropic strains of HIV-1 fusion and entry of human white blood cells. CXCR4 is also required for the infection by dual-tropic strains of HIV-1 and mediates CD-4 independent infection by HIV-2. The a-chemokine SDF-1 is the ligand for CXCR4 and prevents infection by T-tropic HIV-1. CXCR4 associates with the surface CD4-gp120 complex before HIV enters target cells. CXCR4 messenger RNA levels correlated with HIV-1 permissiveness in diverse human cell types. Antibodies to CXCR4 block HIV-1 and HIV-2 fusion and infection of human target cells. The amino-terminal domain and the second extracellular loop of CXCR4 serve as HIV biding sites.

Long Name

C-X-C Motif Chemokine Receptor 4

Alternate Names

CD184, D2S201E, FB22, Fusin, HM89, HSY3RR, LAP-3, LAP3, LCR1, LESTR, NPY3R, NPYRL, NPYY3R, WHIMS

Gene Symbol

CXCR4

UniProt

Additional CXCR4 Products

Product Documents for CXCR4 Antibody - BSA Free

Certificate of Analysis

To download a Certificate of Analysis, please enter a lot number in the search box below.

Product Specific Notices for CXCR4 Antibody - BSA Free

This product is for research use only and is not approved for use in humans or in clinical diagnosis. Primary Antibodies are guaranteed for 1 year from date of receipt.

Loading...
Loading...
Loading...
Loading...
Loading...