Skip to main content

CTLA-4 Antibody (CTLA4/6864R) - Azide and BSA Free

Novus Biologicals, part of Bio-Techne | Catalog # NBP3-20818

Recombinant Monoclonal Antibody
Novus Biologicals, part of Bio-Techne
Catalog #
Availability
Size / Price
Qty
Loading...
NBP3-20818
Conjugate
Catalog #

Key Product Details

Species Reactivity

Human

Applications

Immunohistochemistry-Paraffin

Label

Unconjugated

Antibody Source

Recombinant Monoclonal Rabbit IgG Kappa Clone # CTLA4/6864R

Format

Azide and BSA Free

Concentration

1 mg/ml

Product Specifications

Immunogen

Recombinant fragment of human CTLA-4 (exact sequence is proprietary)

Localization

Cell surface. Secreted.

Clonality

Monoclonal

Host

Rabbit

Isotype

IgG Kappa

Description

Positive Controls: Jurkat or Raji cells. Lymph node or tonsil.

Antibody with azide - store at 2 to 8C. Antibody without azide - store at -20 to -80C. Non-hazardous. No MSDS required.

Scientific Data Images for CTLA-4 Antibody (CTLA4/6864R) - Azide and BSA Free

CTLA-4 Antibody (CTLA4/6864R) - Azide and BSA Free

CTLA-4 Antibody (CTLA4/6864R)

Formalin-fixed, paraffin-embedded human tonsil stained with CTLA-4 antibody (CTLA4/6864R). Inset: PBS instead of primary antibody; secondary only negative control.
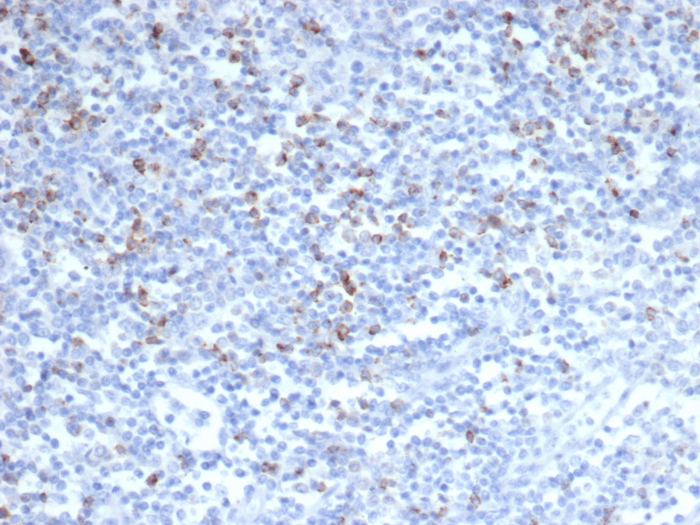
CTLA-4 Antibody (CTLA4/6864R) - Azide and BSA Free

CTLA-4 Antibody (CTLA4/6864R)

Formalin-fixed, paraffin-embedded human tonsil stained with CTLA-4 antibody (CTLA4/6864R). HIER: Tris/EDTA, pH9.0, 45min. Secondary: HRP-polymer, 30min. DAB, 5min

Applications for CTLA-4 Antibody (CTLA4/6864R) - Azide and BSA Free

Application
Recommended Usage

Immunohistochemistry-Paraffin

1-2 ug/ml
Application Notes
Immunohistochemistry (Formalin-fixed): 1-2ug/ml for 30 minutes. at RT. Staining of formalin-fixed tissues requires heating tissue sections in 10mM Tris with 1mM EDTA, pH 9.0, for 45 min at 95C followed by cooling at RT for 20 minutes.

Optimal dilution for a specific application should be determined.

Formulation, Preparation, and Storage

Purification

Protein A or G purified

Formulation

10mM PBS

Format

Azide and BSA Free

Preservative

No Preservative

Concentration

1 mg/ml

Shipping

The product is shipped with polar packs. Upon receipt, store it immediately at the temperature recommended below.

Stability & Storage

Store at -20 to -70C. Avoid freeze-thaw cycles.

Background: CTLA-4

Cytotoxic T-Lymphocyte Antigen 4 (CTLA-4), also known as CD152, is a cell surface glycoprotein belonging to the immunoglobulin family with a role in regulation of T cell activation (1). Human CTLA-4 is a 223 amino acid (aa) protein with a theoretical molecular weight of 24.6 kDa containing a leader peptide, a IgV-like domain, a transmembrane domain, and a cytoplasmic tail (1,2). CTLA-4 is both structurally and functionally related with another member of the immunoglobulin-related receptor family, CD28 (1-3). CTLA-4 and CD28 receptors are both expressed by CD4+ and CD8+ T cells and share two common ligands, CD80 (B7.1) and CD86 (B7.2), expressed on the surface of antigen presenting cells (APCs) (2,3). While CD28 is present on the plasma membrane of T cells, CTLA-4 is predominantly expressed intracellularly on vesicles in FoxP3+ regulatory T (Treg) cells and activated T cells due to endocytosis (3). While they share ligands, the two receptors have opposing functions in T cell activation; CD28 is involved in activation of T cells, while CTLA-4 functions as a negative regulator of T cell response (2,3). One of the primary functions of CTLA-4 is preventing autoimmunity (1-4).

Similar to programmed cell death protein 1 (PD-1), CTLA-4 is an inhibitory immune checkpoint protein (3,5). Checkpoint blockade immunotherapy using drugs or antibodies to target CTLA-4 is one of the main approaches for cancer treatment (5). A number of drugs targeting CTLA-4, or a combination of CTLA-4/PD-1, have been approved for treatment of various cancers like melanoma, renal cell carcinoma, and colorectal cancer (5). While blocking CTLA-4 in the tumor microenvironment is a promising cancer therapeutic, the absence of CTLA-4 under normal conditions can have deleterious effects. Studies have found that patients with CTLA-4 deficiency or mutations have clinical features associated with autoimmunity and immune dysregulation (4). Treatment options for CTLA-4 deficiency includes immunoglobulin-replacement therapy, corticosteroids, CTLA-4-immunoglobulin (Ig) fusion protein, and, in life-threatening cases, hematopoietic stem cell transplantation (4,6). Additionally, engaging CD80/CD86 with CTLA-4-Ig is a common immunosuppressive treatment for rheumatoid arthritis and kidney transplant recipients (6).

References

1. Romo-Tena, J., Gomez-Martin, D., & Alcocer-Varela, J. (2013). CTLA-4 and autoimmunity: new insights into the dual regulator of tolerance. Autoimmunity reviews, 12(12), 1171-1176. https://doi.org/10.1016/j.autrev.2013.07.002

2. Hosseini, A., Gharibi, T., Marofi, F., Babaloo, Z., & Baradaran, B. (2020). CTLA-4: From mechanism to autoimmune therapy. International immunopharmacology, 80, 106221. https://doi.org/10.1016/j.intimp.2020.106221

3. Rowshanravan, B., Halliday, N., & Sansom, D. M. (2018). CTLA-4: a moving target in immunotherapy. Blood, 131(1), 58-67. https://doi.org/10.1182/blood-2017-06-741033

4. Verma, N., Burns, S. O., Walker, L., & Sansom, D. M. (2017). Immune deficiency and autoimmunity in patients with CTLA-4 (CD152) mutations. Clinical and experimental immunology, 190(1), 1-7. https://doi.org/10.1111/cei.12997

5. Rotte A. (2019). Combination of CTLA-4 and PD-1 blockers for treatment of cancer. Journal of experimental & clinical cancer research : CR, 38(1), 255. https://doi.org/10.1186/s13046-019-1259-z

6. Bluestone, J. A., St Clair, E. W., & Turka, L. A. (2006). CTLA4Ig: bridging the basic immunology with clinical application. Immunity, 24(3), 233-238. https://doi.org/10.1016/j.immuni.2006.03.001

Long Name

Cytotoxic T-lymphocyte-associated Molecule 4

Alternate Names

CD152, CTLA4

Gene Symbol

CTLA4

Additional CTLA-4 Products

Product Documents for CTLA-4 Antibody (CTLA4/6864R) - Azide and BSA Free

Certificate of Analysis

To download a Certificate of Analysis, please enter a lot number in the search box below.

Product Specific Notices for CTLA-4 Antibody (CTLA4/6864R) - Azide and BSA Free

This product is for research use only and is not approved for use in humans or in clinical diagnosis. Primary Antibodies are guaranteed for 1 year from date of receipt.

Loading...
Loading...
Loading...
Loading...