Skip to main content

AMPK alpha 2 Antibody (8E11H5) - BSA Free

Novus Biologicals, part of Bio-Techne | Catalog # NBP2-61852

Novus Biologicals, part of Bio-Techne
Catalog #
Availability
Size / Price
Qty
Loading...
NBP2-61852
NBP2-61852-0.025ml

Key Product Details

Species Reactivity

Human, Monkey

Applications

Immunohistochemistry, Immunohistochemistry-Paraffin, Western Blot, ELISA, Flow Cytometry

Label

Unconjugated

Antibody Source

Monoclonal Mouse IgG1 Clone # 8E11H5

Format

BSA Free

Concentration

1 mg/ml

Product Specifications

Immunogen

Purified recombinant fragment of human AMPK alpha 2 (AA: 453-552) expressed in E. Coli.

Clonality

Monoclonal

Host

Mouse

Isotype

IgG1

Theoretical MW

62.3 kDa.
Disclaimer note: The observed molecular weight of the protein may vary from the listed predicted molecular weight due to post translational modifications, post translation cleavages, relative charges, and other experimental factors.

Description

Novus Biologicals Mouse AMPK alpha 2 Antibody (8E11H5) - BSA Free (NBP2-61852) is a monoclonal antibody validated for use in IHC, WB, ELISA and Flow. All Novus Biologicals antibodies are covered by our 100% guarantee.

Scientific Data Images for AMPK alpha 2 Antibody (8E11H5) - BSA Free

Western Blot: AMPK alpha 2 Antibody (8E11H5)BSA Free [NBP2-61852]

Western Blot: AMPK alpha 2 Antibody (8E11H5)BSA Free [NBP2-61852]

Western Blot: AMPK alpha 2 Antibody (8E11H5) [NBP2-61852] - Analysis using PRKAA2 mAb against HEK293 (1) and PRKAA2 (AA: 453-552)-hIgGFc transfected HEK293 (2) cell lysate.
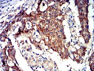
Immunohistochemistry: AMPK alpha 2 Antibody (8E11H5) - BSA Free [NBP2-61852]

Immunohistochemistry: AMPK alpha 2 Antibody (8E11H5) - BSA Free [NBP2-61852]

Immunohistochemistry: AMPK alpha 2 Antibody (8E11H5) [NBP2-61852] - Analysis of paraffin-embedded rectum cancer tissues using PRKAA2 mouse mAb with DAB staining.
Flow Cytometry: AMPK alpha 2 Antibody (8E11H5) - BSA Free [NBP2-61852]

Flow Cytometry: AMPK alpha 2 Antibody (8E11H5) - BSA Free [NBP2-61852]

Flow Cytometry: AMPK alpha 2 Antibody (8E11H5) [NBP2-61852] - Analysis of Jurkat cells using PRKAA2 mouse mAb (green) and negative control (red).

Applications for AMPK alpha 2 Antibody (8E11H5) - BSA Free

Application
Recommended Usage

ELISA

1:100-1:2000

Flow Cytometry

1:10-1:1000

Immunohistochemistry

1:10-1:1000

Immunohistochemistry-Paraffin

1:200 - 1:1000

Western Blot

1:100-1:2000

Formulation, Preparation, and Storage

Purification

Protein G purified

Formulation

PBS

Format

BSA Free

Preservative

0.05% Sodium Azide

Concentration

1 mg/ml

Shipping

The product is shipped with polar packs. Upon receipt, store it immediately at the temperature recommended below.

Stability & Storage

Store at 4C short term. Aliquot and store at -20C long term. Avoid freeze-thaw cycles.

Background: AMPK alpha 2

The protein encoded by this gene is a catalytic subunit of the AMP-activated protein kinase (AMPK). AMPK is a heterotrimer consisting of an alpha catalytic subunit, and non-catalytic beta and gamma subunits. AMPK is an important energy-sensing enzyme that monitors cellular energy status. In response to cellular metabolic stresses, AMPK is activated, and thus phosphorylates and inactivates acetyl-CoA carboxylase (ACC) and beta-hydroxy beta-methylglutaryl-CoA reductase (HMGCR), key enzymes involved in regulating de novo biosynthesis of fatty acid and cholesterol. Studies of the mouse counterpart suggest that this catalytic subunit may control whole-body insulin sensitivity and is necessary for maintaining myocardial energy homeostasis during ischemia.

Long Name

AMP-activated Protein Kinase alpha

Alternate Names

PRKAA2

Gene Symbol

PRKAA2

Additional AMPK alpha 2 Products

Product Documents for AMPK alpha 2 Antibody (8E11H5) - BSA Free

Certificate of Analysis

To download a Certificate of Analysis, please enter a lot number in the search box below.

Product Specific Notices for AMPK alpha 2 Antibody (8E11H5) - BSA Free

This product is for research use only and is not approved for use in humans or in clinical diagnosis. Primary Antibodies are guaranteed for 1 year from date of receipt.

Loading...
Loading...
Loading...
Loading...
Loading...