Skip to main content

alpha-Fetoprotein/AFP Antibody - BSA Free

Novus Biologicals, part of Bio-Techne | Catalog # NBP1-76275

Novus Biologicals, part of Bio-Techne

Key Product Details

Species Reactivity

Validated:

Human, Mouse, Rat

Cited:

Human, Mouse, Rat

Predicted:

Porcine (91%). Backed by our 100% Guarantee.

Applications

Validated:

Immunohistochemistry, Immunohistochemistry-Paraffin, Western Blot, ELISA, Immunocytochemistry/ Immunofluorescence

Cited:

Immunocytochemistry/ Immunofluorescence, Radioimmunoassay, IF/IHC

Label

Unconjugated

Antibody Source

Polyclonal Rabbit IgG

Format

BSA Free

Concentration

1 mg/ml

Product Specifications

Immunogen

Antibody was raised against a 14 amino acid synthetic peptide near the center of human AFP. The immunogen is located within amino acids 340 - 390 of AFP. Amino Acid Squence: CVHEYSRRHPQLAVS

Reactivity Notes

Immunogen displays the following percentage of sequence identity for non-tested species: Sheep: (83%), Bovine: (83%)

Clonality

Polyclonal

Host

Rabbit

Isotype

IgG

Description

Novus Biologicals Rabbit alpha-Fetoprotein/AFP Antibody - BSA Free (NBP1-76275) is a polyclonal antibody validated for use in IHC, WB, ELISA and ICC/IF. Anti-alpha-Fetoprotein/AFP Antibody: Cited in 4 publications. All Novus Biologicals antibodies are covered by our 100% guarantee.

Scientific Data Images for alpha-Fetoprotein/AFP Antibody - BSA Free

alpha-Fetoprotein/AFP Antibody - BSA Free

Western Blot: alpha-Fetoprotein/AFP Antibody - BSA Free [NBP1-76275] -

Western Blot: alpha-Fetoprotein/AFP Antibody - BSA Free [NBP1-76275] - Western blot analysis of alpha-Fetoprotein/AFP in fetal human liver tissue lysate with alpha-Fetoprotein/AFP antibody at (A) 1 u/mL and (B) 2 u/mL.
alpha-Fetoprotein/AFP Antibody - BSA Free

Immunocytochemistry/ Immunofluorescence: alpha-Fetoprotein/AFP Antibody - BSA Free [NBP1-76275] -

Immunocytochemistry/ Immunofluorescence: alpha-Fetoprotein/AFP Antibody - BSA Free [NBP1-76275] - Immunofluorescence of alpha-Fetoprotein/AFP in mouse liver tissue with alpha-Fetoprotein/AFP antibody at 20 u/mL.

Red: alpha-Fetoprotein/AFP Antibody
Blue: DAPI staining
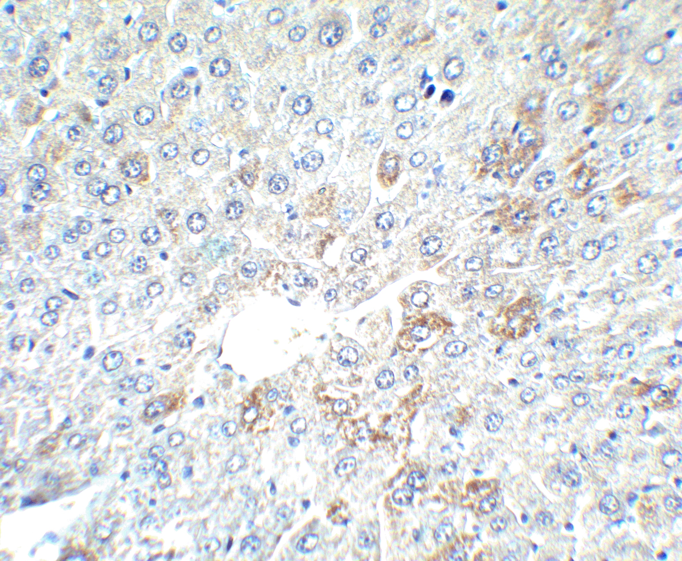
Immunohistochemistry-Paraffin: alpha-Fetoprotein/AFP Antibody - BSA Free [NBP1-76275]

Immunohistochemistry-Paraffin: alpha-Fetoprotein/AFP Antibody - BSA Free [NBP1-76275]

Immunohistochemistry-Paraffin: alpha-Fetoprotein/AFP Antibody [NBP1-76275] - Rat liver tissue with AFP antibody at 10 ug/mL.

Applications for alpha-Fetoprotein/AFP Antibody - BSA Free

Application
Recommended Usage

ELISA

1:100-1:2000

Immunocytochemistry/ Immunofluorescence

20 ug/ml

Immunohistochemistry

10 ug/ml

Immunohistochemistry-Paraffin

10 ug/ml

Western Blot

1 ug/ml

Formulation, Preparation, and Storage

Purification

Peptide affinity purified

Formulation

PBS

Format

BSA Free

Preservative

0.02% Sodium Azide

Concentration

1 mg/ml

Shipping

The product is shipped with polar packs. Upon receipt, store it immediately at the temperature recommended below.

Stability & Storage

Store at 4C short term. Aliquot and store at -20C long term. Avoid freeze-thaw cycles.

Background: alpha-Fetoprotein/AFP

Alpha 1 Fetoprotein is a major plasma protein produced by the yolk sac and the liver during fetal life. Alpha fetoprotein expression in adults is often associated with hepatoma or teratoma. However, hereditary persistance of alpha-fetoprotein may also be found in individuals with no obvious pathology. The protein is thought to be the fetal counterpart of serum albumin, and the alpha fetoprotein and albumin genes are present in tandem in the same transcriptional orientation on chromosome 4. Alpha fetoprotein is found in monomeric as well as dimeric and trimeric forms, and binds copper, nickel, fatty acids and bilirubin. The level of alpha fetoprotein in amniotic fluid is used to measure renal loss of protein to screen for spina bifida and anencephaly. Expression has been documented in human adrenal, liver, ovary, testis, and pancreas. ESTs have been isolated from normal human brain, liver/spleen, embryo and uterus tissue libraries.

Alternate Names

AFP, DSCAM2

Entrez Gene IDs

174 (Human); 11576 (Mouse); 24177 (Rat)

Gene Symbol

AFP

UniProt

Additional alpha-Fetoprotein/AFP Products

Product Documents for alpha-Fetoprotein/AFP Antibody - BSA Free

Certificate of Analysis

To download a Certificate of Analysis, please enter a lot number in the search box below.

Product Specific Notices for alpha-Fetoprotein/AFP Antibody - BSA Free

This product is for research use only and is not approved for use in humans or in clinical diagnosis. Primary Antibodies are guaranteed for 1 year from date of receipt.

Loading...
Loading...
Loading...
Loading...