Skip to main content

AKR1C2 Antibody (CPTC-AKR1C2-1) - Azide and BSA Free

Novus Biologicals, part of Bio-Techne | Catalog # NBP2-79909

Novus Biologicals, part of Bio-Techne

Key Product Details

Species Reactivity

Human

Applications

Immunohistochemistry, Immunohistochemistry-Paraffin, Western Blot, Protein Array

Label

Unconjugated

Antibody Source

Monoclonal Mouse IgG2a Kappa Clone # CPTC-AKR1C2-1

Format

Azide and BSA Free

Concentration

1 mg/ml

Product Specifications

Immunogen

Recombinant human full-length AKR1C2 protein (Uniprot: P52895)

Localization

Cytoplasm

Clonality

Monoclonal

Host

Mouse

Isotype

IgG2a Kappa

Theoretical MW

37 kDa.
Disclaimer note: The observed molecular weight of the protein may vary from the listed predicted molecular weight due to post translational modifications, post translation cleavages, relative charges, and other experimental factors.

Description

1.0 mg/ml of antibody purified from Bioreactor Concentrate by Protein A/G. Prepared in 10mM PBS WITHOUT BSA & azide. Also available at 200 ug/ml WITH BSA & azide (NBP2-79775).

Antibody with azide - store at 2 to 8C. Antibody without azide - store at -20 to -80C.

Scientific Data Images for AKR1C2 Antibody (CPTC-AKR1C2-1) - Azide and BSA Free

Western Blot: AKR1C2 Antibody (CPTC-AKR1C2-1)Azide and BSA Free [NBP2-79909]

Western Blot: AKR1C2 Antibody (CPTC-AKR1C2-1)Azide and BSA Free [NBP2-79909]

Western Blot: AKR1C2 Antibody (CPTC-AKR1C2-1) - Azide and BSA Free [NBP2-79909] - Western Blot Analysis of Human HeLa, K-562 and A431 cell lysates using AKR1C2 Mouse Monoclonal Antibody (CPTC-AKR1C2-1).
Immunohistochemistry-Paraffin: AKR1C2 Antibody (CPTC-AKR1C2-1) - Azide and BSA Free [NBP2-79909]

Immunohistochemistry-Paraffin: AKR1C2 Antibody (CPTC-AKR1C2-1) - Azide and BSA Free [NBP2-79909]

Immunohistochemistry-Paraffin: AKR1C2 Antibody (CPTC-AKR1C2-1) - Azide and BSA Free [NBP2-79909] - Formalin-fixed, paraffin-embedded human Prostate Carcinoma stained with AKR1C2 Mouse Monoclonal Antibody (CPTC-AKR1C2-1).
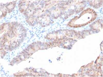
Immunohistochemistry-Paraffin: AKR1C2 Antibody (CPTC-AKR1C2-1) - Azide and BSA Free [NBP2-79909]

Immunohistochemistry-Paraffin: AKR1C2 Antibody (CPTC-AKR1C2-1) - Azide and BSA Free [NBP2-79909]

Immunohistochemistry-Paraffin: AKR1C2 Antibody (CPTC-AKR1C2-1) - Azide and BSA Free [NBP2-79909] - Formalin-fixed, paraffin-embedded human Prostate Carcinoma stained with AKR1C2 Mouse Monoclonal Antibody (CPTC-AKR1C2-1).

Applications for AKR1C2 Antibody (CPTC-AKR1C2-1) - Azide and BSA Free

Application
Recommended Usage

Immunohistochemistry

1-2 ug/ml

Immunohistochemistry-Paraffin

1-2 ug/ml

Western Blot

1-2 ug/ml
Application Notes
Immunohistochemistry (Formalin-fixed): 1-2ug/ml for 30 min at RT. Staining of formalin-fixed tissues requires heating tissue sections in 10mM Tris with 1mM EDTA, pH 9.0, for 45 min at 95C followed by cooling at RT for 20 minutes.
Optimal dilution for a specific application should be determined.

Formulation, Preparation, and Storage

Purification

Protein A or G purified

Formulation

10 mM PBS

Format

Azide and BSA Free

Preservative

No Preservative

Concentration

1 mg/ml

Shipping

The product is shipped with polar packs. Upon receipt, store it immediately at the temperature recommended below.

Stability & Storage

Store at -20 to -80C. Avoid freeze-thaw cycles.

Background: AKR1C2

AKR1C2 encodes a member of the aldo/keto reductase superfamily, which consists of more than 40 known enzymes and proteins. These enzymes catalyze the conversion of aldehydes and ketones to their corresponding alcohols by utilizing NADH and/or NADPH as cofactors. The enzymes display overlapping but distinct substrate specificity. This enzyme binds bile acid with high affinity, and shows minimal 3-alpha-hydroxysteroid dehydrogenase activity. This gene shares high sequence identity with three other gene members and is clustered with those three genes at chromosome 10p15-p14.

Alternate Names

aldo-keto reductase family 1 member C2, aldo-keto reductase family 1, member C2 (dihydrodiol dehydrogenase 2; bile acidbinding protein; 3-alpha hydroxysteroid dehydrogenase, type III), BABP, Chlordecone reductase homolog HAKRD, DD, DD-2, DD2DD/BABP, DDH2FLJ53800, Dihydrodiol dehydrogenase 2, Dihydrodiol dehydrogenase/bile acid-binding protein, EC 1.1.1,3-alpha-HSD3, EC 1.1.1.213, EC 1.3.1.20, HAKRDAKR1C-pseudo, HBAB, MCDR2, pseudo-chlordecone reductase, Trans-1,2-dihydrobenzene-1,2-diol dehydrogenase, type II dihydrodiol dehydrogenase, Type III 3-alpha-hydroxysteroid dehydrogenase

Gene Symbol

AKR1C2

Additional AKR1C2 Products

Product Documents for AKR1C2 Antibody (CPTC-AKR1C2-1) - Azide and BSA Free

Certificate of Analysis

To download a Certificate of Analysis, please enter a lot number in the search box below.

Product Specific Notices for AKR1C2 Antibody (CPTC-AKR1C2-1) - Azide and BSA Free

This product is for research use only and is not approved for use in humans or in clinical diagnosis. Primary Antibodies are guaranteed for 1 year from date of receipt.

Loading...
Loading...
Loading...
Loading...