Skip to main content

AGPS Antibody (AGPS-03) - BSA Free

Novus Biologicals, part of Bio-Techne | Catalog # NBP2-62219

Novus Biologicals, part of Bio-Techne

Key Product Details

Species Reactivity

Human

Applications

Western Blot, Flow (Intracellular)

Label

Unconjugated

Antibody Source

Monoclonal Mouse IgG2A Clone # AGPS-03

Format

BSA Free

Concentration

Please see the vial label for concentration. If unlisted please contact technical services.

Product Specifications

Immunogen

recombinant human AGPS (amino acids 158-384)

Specificity

The antibody MEM-154 reacts with an epitope on CD16 antigen that is residing in proximity to FG loop (probably BC or C'E loop). CD16 is a low affinity receptor for aggregated IgG (FcgammaRIII antigen). The antibody MEM-154 reacts with CD16+ granulocytes.

Clonality

Monoclonal

Host

Mouse

Isotype

IgG2A

Description

Novus Biologicals Mouse AGPS Antibody (AGPS-03) - BSA Free (NBP2-62219) is a monoclonal antibody validated for use in WB and Flow. All Novus Biologicals antibodies are covered by our 100% guarantee.

Scientific Data Images for AGPS Antibody (AGPS-03) - BSA Free

Western Blot: AGPS Antibody (AGPS-03) [NBP2-62219]

Western Blot: AGPS Antibody (AGPS-03) [NBP2-62219]

Western Blot: AGPS Antibody (AGPS-03) [NBP2-62219] - Analysis of AGPS in HEK293 cell lysate using monoclonal antibody AGPS-03.
AGPS Antibody (AGPS-03) Western Blot: AGPS Antibody (AGPS-03) [NBP2-62219]

Western Blot: AGPS Antibody (AGPS-03) [NBP2-62219]

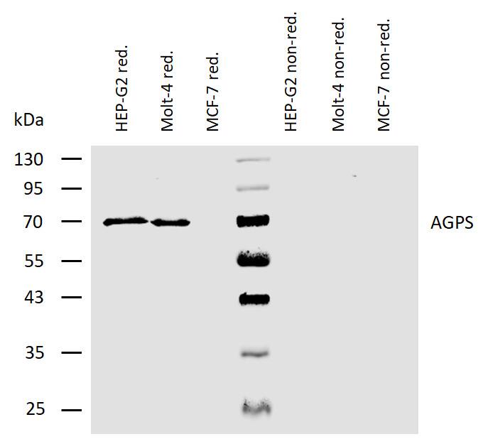
Analysis of human AGPS using mouse monoclonal antibody AGPS-03 on lysates of HEP-G2 and Molt-4 cells, and MCF-7 cells (negative control) under reducing and non-reducing conditions. Nitrocellulose membrane was probed with 2 µg/ml of mouse anti-AGPS monoclonal antibody followed by IRDye800-conjugated anti-mouse secondary antibody. AGPS was detected at approximately 70 kDa.

Applications for AGPS Antibody (AGPS-03) - BSA Free

Application
Recommended Usage

Flow (Intracellular)

1-4 ug/ml

Western Blot

1-2 ug/ml

Formulation, Preparation, and Storage

Purification

Protein A purified

Formulation

Phosphate buffered saline (PBS), pH 7.4

Format

BSA Free

Preservative

15mM Sodium Azide

Concentration

Please see the vial label for concentration. If unlisted please contact technical services.

Shipping

The product is shipped with polar packs. Upon receipt, store it immediately at the temperature recommended below.

Stability & Storage

Store at 4C. Do not freeze.

Background: AGPS

The AGPS gene is a member of the FAD-binding oxidoreductase/transferase type 4 family. It encodes a protein that catalyzes the second step of ether lipid biosynthesis in which acyl-dihydroxyacetonephosphate (DHAP) is converted to alkyl-DHAP by the addition of

Alternate Names

ADAP-S, ADAS, ADHAPSAlkylglycerone-phosphate synthase, ADPS, Aging-associated gene 5 protein, aging-associated protein 5, ALDHPSY, Alkyl-DHAP synthase, alkyldihydroxyacetonephosphate synthase, peroxisomal, alkylglycerone phosphate synthase, DKFZp762O2215, EC 2.5.1.26, FLJ99755

Gene Symbol

AGPS

Additional AGPS Products

Product Documents for AGPS Antibody (AGPS-03) - BSA Free

Certificate of Analysis

To download a Certificate of Analysis, please enter a lot number in the search box below.

Product Specific Notices for AGPS Antibody (AGPS-03) - BSA Free

This product is for research use only and is not approved for use in humans or in clinical diagnosis. Primary Antibodies are guaranteed for 1 year from date of receipt.

Loading...
Loading...
Loading...
Loading...
Loading...