Skip to main content

Adenosine A2b R Antibody - BSA Free

Novus Biologicals, part of Bio-Techne | Catalog # NBP2-41312

Novus Biologicals, part of Bio-Techne

Key Product Details

Species Reactivity

Validated:

Human, Mouse, Rat

Cited:

Human, Mouse

Applications

Validated:

Immunohistochemistry, Immunohistochemistry-Paraffin, Western Blot, ELISA, Flow Cytometry, Immunocytochemistry/ Immunofluorescence

Cited:

Western Blot, Flow Cytometry, IF/IHC

Label

Unconjugated

Antibody Source

Polyclonal Rabbit IgG

Format

BSA Free

Concentration

1 mg/ml

Product Specifications

Immunogen

Antibody was raised against a 19 amino acid peptide near the carboxy terminus of human ADORA2B. The immunogen is located within the last 50 amino acids of ADORA2B. Amino Acid Squence: QADVKSGNGQAGVQPA

Reactivity Notes

Immunogen displays the following percentage of sequence identity for non-tested species: Rabbit (80%)

Specificity

At least two isoforms of ADORA2B are known to exist; this antibody will detect both isoforms. ADORA2B antibody is predicted to not cross-react with ADORA2A.

Clonality

Polyclonal

Host

Rabbit

Isotype

IgG

Theoretical MW

41 kDa.
Disclaimer note: The observed molecular weight of the protein may vary from the listed predicted molecular weight due to post translational modifications, post translation cleavages, relative charges, and other experimental factors.

Description

Novus Biologicals Rabbit Adenosine A2b R Antibody - BSA Free (NBP2-41312) is a polyclonal antibody validated for use in IHC, WB, ELISA, Flow and ICC/IF. Anti-Adenosine A2b R Antibody: Cited in 7 publications. All Novus Biologicals antibodies are covered by our 100% guarantee.

Scientific Data Images for Adenosine A2b R Antibody - BSA Free

Western Blot: Adenosine A2b R AntibodyBSA Free [NBP2-41312]

Western Blot: Adenosine A2b R AntibodyBSA Free [NBP2-41312]

Adenosine-A2b-R-Antibody-Western-Blot-NBP2-41312-img0006.jpg
Western Blot: Adenosine A2b R AntibodyBSA Free [NBP2-41312]

Western Blot: Adenosine A2b R AntibodyBSA Free [NBP2-41312]

Western Blot: Adenosine A2b R Antibody [NBP2-41312] - Analysis of ADORA2B in mouse kidney tissue lysate with ADORA2B antibody at (A) 0.25 and (B) 0.5 ug/mL
Adenosine A2b R Antibody - BSA Free

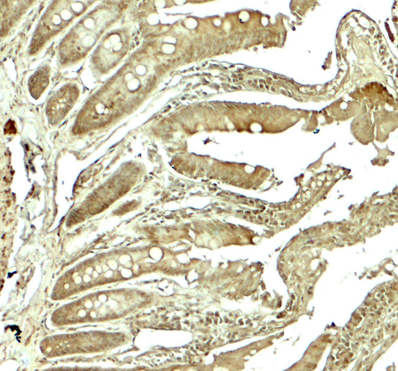
Immunocytochemistry/ Immunofluorescence: Adenosine A2b R Antibody - BSA Free [NBP2-41312] -

Immunocytochemistry/ Immunofluorescence: Adenosine A2b R Antibody - BSA Free [NBP2-41312] - Immunofluorescence of Adenosine A2b R in rat colon tissue with Adenosine A2b R antibody at 20 u/mL.

Applications for Adenosine A2b R Antibody - BSA Free

Application
Recommended Usage

Immunocytochemistry/ Immunofluorescence

20 ug/ml

Immunohistochemistry

5 ug/ml

Immunohistochemistry-Paraffin

5 ug/ml

Western Blot

0.25- 0.5 ug/ml
Application Notes
Use in FLOW reported in scientific literature (PMID: 30242135).

Formulation, Preparation, and Storage

Purification

Peptide affinity purified

Formulation

PBS

Format

BSA Free

Preservative

0.02% Sodium Azide

Concentration

1 mg/ml

Shipping

The product is shipped with polar packs. Upon receipt, store it immediately at the temperature recommended below.

Stability & Storage

Store at 4C.

Background: Adenosine A2b R

The Adenosine A2b Receptor (ADORA2B) gene codes for a receptor located on chromosome 17 (near the Smith-Magenis syndrome region) that initiates adenylyl cyclase in the presence of adenosine. The encoded adenoside receptor is 332 amino acids long, around 36 kDA, and is member to the G protein-coupled receptor superfamily and interacts with netrin-1 to promote axon elongation. ADORA2B has been associated with cholera, hepatitis B, breast cancer, carcinoma, eclampsia, ischemia, asthma, cystic fibrosis, astrocytoma, and atherosclerosis. It is involved in signal transduction IP3 signaling, GPCR ligand binding and signaling, and the methotrexate pathway through interactions with the EZR, NTN1, ADA, DDC, and SLC9A3R2 genes.

Long Name

Adenosine A2b Receptor

Alternate Names

Adenosine A2bR, ADORA2B

Gene Symbol

ADORA2B

Additional Adenosine A2b R Products

Product Documents for Adenosine A2b R Antibody - BSA Free

Certificate of Analysis

To download a Certificate of Analysis, please enter a lot number in the search box below.

Product Specific Notices for Adenosine A2b R Antibody - BSA Free

This product is for research use only and is not approved for use in humans or in clinical diagnosis. Primary Antibodies are guaranteed for 1 year from date of receipt.

Loading...
Loading...
Loading...
Loading...
Loading...