ACBP Antibody - Azide and BSA Free
Novus Biologicals, part of Bio-Techne | Catalog # NBP2-92856
Key Product Details
Species Reactivity
Human, Mouse, Rat
Applications
Immunohistochemistry, Immunohistochemistry-Paraffin, Western Blot, ELISA, Immunocytochemistry/ Immunofluorescence, Immunoprecipitation
Label
Unconjugated
Antibody Source
Polyclonal Rabbit IgG
Format
Azide and BSA Free
Concentration
Please see the vial label for concentration. If unlisted please contact technical services.
Product Specifications
Immunogen
Recombinant fusion protein containing a sequence corresponding to amino acids 1-104 of human DBI (NP_001171513.1). MWGDLWLLPPASANPGTGTEAEFEKAAEEVRHLKTKPSDEEMLFIYGHYKQATVGDINTERPGMLDFTGKAKWDAWNELKGTSKEDAMKAYINKVEELKKKYGI
Clonality
Polyclonal
Host
Rabbit
Isotype
IgG
Theoretical MW
10 kDa.
Disclaimer note: The observed molecular weight of the protein may vary from the listed predicted molecular weight due to post translational modifications, post translation cleavages, relative charges, and other experimental factors.
Disclaimer note: The observed molecular weight of the protein may vary from the listed predicted molecular weight due to post translational modifications, post translation cleavages, relative charges, and other experimental factors.
Description
Novus Biologicals Rabbit ACBP Antibody - Azide and BSA Free (NBP2-92856) is a polyclonal antibody validated for use in IHC, WB, ELISA, ICC/IF and IP. All Novus Biologicals antibodies are covered by our 100% guarantee.
Scientific Data Images for ACBP Antibody - Azide and BSA Free
Western Blot: ACBP AntibodyAzide and BSA Free [NBP2-92856]
Western Blot: ACBP Antibody [NBP2-92856] - Analysis of extracts of various cell lines, using DBI antibody at 1:1000 dilution.Secondary antibody: HRP Goat Anti-Rabbit IgG (H+L) at 1:10000 dilution.Lysates/proteins: 25ug per lane. Blocking buffer: 3% nonfat dry milk in TBST.Detection: ECL Basic Kit. Exposure time: 180s.Immunohistochemistry-Paraffin: ACBP Antibody - Azide and BSA Free [NBP2-92856]
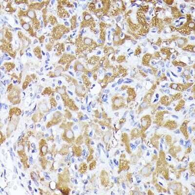
Immunohistochemistry-Paraffin: ACBP Antibody [NBP2-92856] - Immunohistochemistry of paraffin-embedded rat ovary using ACBP Rabbit pAb (NBP2-92856) at dilution of 1:250 (40x lens). Perform high pressure antigen retrieval with 10 mM citrate buffer pH 6.0 before commencing with IHC staining protocol.Western Blot: ACBP AntibodyAzide and BSA Free [NBP2-92856]
Western Blot: ACBP Antibody [NBP2-92856] - Analysis of extracts of various cell lines, using DBI antibody at 1:1000 dilution.Secondary antibody: HRP Goat Anti-Rabbit IgG (H+L) at 1:10000 dilution.Lysates/proteins: 25ug per lane. Blocking buffer: 3% nonfat dry milk in TBST.Detection: ECL Basic Kit. Exposure time: 1s.Applications for ACBP Antibody - Azide and BSA Free
Application
Recommended Usage
ELISA
Recommended starting concentration is 1 μg/mL. Please optimize the concentration based on your specific assay requirements.
Immunocytochemistry/ Immunofluorescence
1:50 - 1:200
Immunohistochemistry
1:50-1:200
Immunoprecipitation
0.5μg-4μg antibody for 200μg-400μg extracts of whole cells
Western Blot
1:500 - 1:1000
Formulation, Preparation, and Storage
Purification
Affinity purified
Formulation
PBS (pH 7.3), 50% glycerol
Format
Azide and BSA Free
Preservative
0.02% Sodium Azide
Concentration
Please see the vial label for concentration. If unlisted please contact technical services.
Shipping
The product is shipped with polar packs. Upon receipt, store it immediately at the temperature recommended below.
Stability & Storage
Store at -20C. Avoid freeze-thaw cycles.
Background: ACBP
Long Name
Acyl-CoA-binding protein
Alternate Names
DBI, Endozepine, EP
Gene Symbol
DBI
Additional ACBP Products
Product Documents for ACBP Antibody - Azide and BSA Free
Product Specific Notices for ACBP Antibody - Azide and BSA Free
This product is for research use only and is not approved for use in humans or in clinical diagnosis. Primary Antibodies are guaranteed for 1 year from date of receipt.
Loading...
Loading...
Loading...
Loading...
⚠ WARNING: This product can expose you to chemicals including Methotrexate, which is known to the State of California to cause reproductive toxicity with developmental effects. For more information, go to www.P65Warnings.ca.gov