Skip to main content

ABH1 Antibody (OTI4C4)

Novus Biologicals, part of Bio-Techne | Catalog # NBP2-46511

Novus Biologicals, part of Bio-Techne
Catalog #
Availability
Size / Price
Qty
Loading...
NBP2-46511
Conjugate
Catalog #

Key Product Details

Species Reactivity

Human

Applications

Immunohistochemistry, Immunohistochemistry-Paraffin

Label

Unconjugated

Antibody Source

Monoclonal Mouse IgG1 Clone # OTI4C4

Concentration

1 mg/ml

Product Specifications

Immunogen

Human recombinant protein fragment corresponding to amino acids 1-245 of human ALKBH1 (NP_006011) produced in E.coli.

Clonality

Monoclonal

Host

Mouse

Isotype

IgG1

Theoretical MW

43.7 kDa.
Disclaimer note: The observed molecular weight of the protein may vary from the listed predicted molecular weight due to post translational modifications, post translation cleavages, relative charges, and other experimental factors.

Scientific Data Images for ABH1 Antibody (OTI4C4)

Immunohistochemistry: ABH1 Antibody (OTI4C4) [NBP2-46511]

Immunohistochemistry: ABH1 Antibody (OTI4C4) [NBP2-46511]

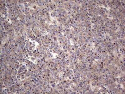
Immunohistochemistry: ABH1 Antibody (4C4) [NBP2-46511] - Analysis of Carcinoma of Human lung tissue.(Heat-induced epitope retrieval by 1 mM EDTA in 10mM Tris, pH8.5, 120C for 3min)
Immunohistochemistry: ABH1 Antibody (OTI4C4) [NBP2-46511]

Immunohistochemistry: ABH1 Antibody (OTI4C4) [NBP2-46511]

Immunohistochemistry: ABH1 Antibody (4C4) [NBP2-46511] - Analysis of Human tonsil tissue. (Heat-induced epitope retrieval by 1 mM EDTA in 10mM Tris, pH8.5, 120C for 3min)

Applications for ABH1 Antibody (OTI4C4)

Application
Recommended Usage

Immunohistochemistry

1:150

Formulation, Preparation, and Storage

Purification

Immunogen affinity purified

Formulation

PBS (pH 7.3), 1.0% BSA and 50% Glycerol

Preservative

0.02% Sodium Azide

Concentration

1 mg/ml

Shipping

The product is shipped with polar packs. Upon receipt, store it immediately at the temperature recommended below.

Stability & Storage

Store at -20C. Avoid freeze-thaw cycles.

Background: ABH1

ABH1 encodes a homolog to the E. coli alkB gene product. The E. coli alkB protein is part of the adaptive response mechanism of DNA alkylation damage repair. It is involved in damage reversal by oxidative demethylation of 1-methyladenine and 3-methylcytosine.

Alternate Names

ABH1, ABHalkB, alkylation repair homolog (E. coli), alkB, alkB, alkylation repair homolog 1 (E. coli), ALKBH, alkylated DNA repair protein alkB homolog 1, alkylation repair, alkB homolog, Alpha-ketoglutarate-dependent dioxygenase ABH1, DNA lyase ABH1, EC 1.14.11.-, EC 4.2.99.18, hABH

Gene Symbol

ALKBH1

Additional ABH1 Products

Product Documents for ABH1 Antibody (OTI4C4)

Certificate of Analysis

To download a Certificate of Analysis, please enter a lot number in the search box below.

Product Specific Notices for ABH1 Antibody (OTI4C4)

This product is for research use only and is not approved for use in humans or in clinical diagnosis. Primary Antibodies are guaranteed for 1 year from date of receipt.

Loading...
Loading...
Loading...
Loading...