Skip to main content

ABCG2/CD338 Antibody (3G8) - Azide and BSA Free

Novus Biologicals, part of Bio-Techne | Catalog # NBP2-80558

Novus Biologicals, part of Bio-Techne
Catalog #
Availability
Size / Price
Qty
Loading...
NBP2-80558

Key Product Details

Species Reactivity

Human, Mouse, Primate

Applications

Immunohistochemistry, Immunohistochemistry-Paraffin, Western Blot, ELISA, Flow Cytometry, Immunocytochemistry/ Immunofluorescence, CyTOF-ready

Label

Unconjugated

Antibody Source

Monoclonal Mouse IgG1 Clone # 3G8

Format

Azide and BSA Free

Concentration

1 mg/ml

Product Specifications

Immunogen

Purified recombinant fragment of human ABCG2 expressed in E. coli.

Clonality

Monoclonal

Host

Mouse

Isotype

IgG1

Theoretical MW

65 kDa.
Disclaimer note: The observed molecular weight of the protein may vary from the listed predicted molecular weight due to post translational modifications, post translation cleavages, relative charges, and other experimental factors.

Description

Novus Biologicals Mouse ABCG2/CD338 Antibody (3G8) - Azide and BSA Free (NBP2-22124) is a monoclonal antibody validated for use in IHC, WB, ELISA, Flow and ICC/IF. All Novus Biologicals antibodies are covered by our 100% guarantee.

Scientific Data Images for ABCG2/CD338 Antibody (3G8) - Azide and BSA Free

Western Blot: ABCG2/CD338 Antibody (3G8)Azide and BSA Free [NBP2-80558]

Western Blot: ABCG2/CD338 Antibody (3G8)Azide and BSA Free [NBP2-80558]

Western Blot: ABCG2/CD338 Antibody (3G8) - Azide and BSA Free [NBP2-80558] - Analysis of ABCG2 expression in (1) human small intestine, (2) human placenta and (3) mouse placenta tissue extracts. Image from the standard format of this antibody.
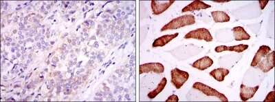
Immunocytochemistry: ABCG2/CD338 Antibody (3G8) - Azide and BSA Free [NBP2-80558]

Immunocytochemistry: ABCG2/CD338 Antibody (3G8) - Azide and BSA Free [NBP2-80558]

Immunocytochemistry: ABCG2/CD338 Antibody (3G8) - Azide and BSA Free [NBP2-80558] - Analysis of paraffin-embedded bladder cancer tissues (left) and skeletal muscle tissues (right) using ABCG2 mouse mAb with DAB staining. Image from the standard format of this antibody.
Flow Cytometry: ABCG2/CD338 Antibody (3G8) - Azide and BSA Free [NBP2-80558]

Flow Cytometry: ABCG2/CD338 Antibody (3G8) - Azide and BSA Free [NBP2-80558]

Flow Cytometry: ABCG2/CD338 Antibody (3G8) - Azide and BSA Free [NBP2-80558] - Analysis of HepG2 cells using ABCG2 mouse mAb (green) and negative control (purple). Image from the standard format of this antibody.

Applications for ABCG2/CD338 Antibody (3G8) - Azide and BSA Free

Application
Recommended Usage

ELISA

1:10000

Flow Cytometry

1:200-1:400

Immunocytochemistry/ Immunofluorescence

1:200-1:1000

Immunohistochemistry

1:10-1:500

Immunohistochemistry-Paraffin

1:200-1:1000

Western Blot

1:500-1:2000
Application Notes
In Western blot, a dimer can be seen at 60-70 kDa representing ABCG2.

Formulation, Preparation, and Storage

Purification

Ammonium sulfate precipitation

Formulation

PBS

Format

Azide and BSA Free

Preservative

No Preservative

Concentration

1 mg/ml

Shipping

The product is shipped with polar packs. Upon receipt, store it immediately at the temperature recommended below.

Stability & Storage

Store at 4C short term. Aliquot and store at -20C long term. Avoid freeze-thaw cycles.

Background: ABCG2

The membrane-associated protein encoded by this gene is included in the superfamily of ATP-binding cassette (ABC) transporters. ABC proteins transport various molecules across extra- and intra-cellular membranes. ABC genes are divided into seven distinct subfamilies (ABC1, MDR/TAP, MRP, ALD, OABP, GCN20, White). This protein is a member of the White subfamily. Alternatively referred to as a breast cancer resistance protein, this protein functions as a xenobiotic transporter which may play a major role in multi-drug resistance. It likely serves as a cellular defense mechanism in response to mitoxantrone and anthracycline exposure. Significant expression of this protein has been observed in the placenta, which may suggest a potential role for this molecule in placenta tissue.Tissue specificity: Highly expressed in placenta. Low expression in small intestine, liver and colon.

Long Name

ATP-binding Cassette Transporter G2

Alternate Names

ABCP, BCRP, CD338, MXR

Gene Symbol

ABCG2

Additional ABCG2 Products

Product Documents for ABCG2/CD338 Antibody (3G8) - Azide and BSA Free

Certificate of Analysis

To download a Certificate of Analysis, please enter a lot number in the search box below.

Product Specific Notices for ABCG2/CD338 Antibody (3G8) - Azide and BSA Free

This product is for research use only and is not approved for use in humans or in clinical diagnosis. Primary Antibodies are guaranteed for 1 year from date of receipt.

Loading...
Loading...
Loading...
Loading...
Loading...