OVCA2: Antibodies
Bio-Techne offers high quality OVCA2 antibodies from our Novus Biologicals brand. Browse our catalog for anti-OVCA2 polyclonal antibodies. These antibodies are reactive in target species including Human and Rat. Our OVCA2 antibodies have been validated for use in research applications: Western Blot, Immunohistochemistry, and Immunocytochemistry/ Immunofluorescence. Choose the anti-OVCA2 antibody best suited for your research needs by viewing the technical details, images, citations, reviews, and more. Each OVCA2 antibody is fully covered by Bio-Techne’s 100% guarantee.
Bio-Techne offers a comprehensive range of other OVCA2-related products including OVCA2 Proteins and Enzymes.
4 results for "OVCA2 Primary Antibodies" in Products
4 results for "OVCA2 Primary Antibodies" in Products
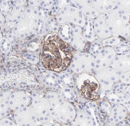
OVCA2: Antibodies
Bio-Techne offers high quality OVCA2 antibodies from our Novus Biologicals brand. Browse our catalog for anti-OVCA2 polyclonal antibodies. These antibodies are reactive in target species including Human and Rat. Our OVCA2 antibodies have been validated for use in research applications: Western Blot, Immunohistochemistry, and Immunocytochemistry/ Immunofluorescence. Choose the anti-OVCA2 antibody best suited for your research needs by viewing the technical details, images, citations, reviews, and more. Each OVCA2 antibody is fully covered by Bio-Techne’s 100% guarantee.
Bio-Techne offers a comprehensive range of other OVCA2-related products including OVCA2 Proteins and Enzymes.
| Reactivity: | Human |
| Details: | Rabbit IgG Polyclonal |
| Applications: | WB, ICC/IF |
| Reactivity: | Human, Mouse, Rat |
| Details: | Rabbit IgG Polyclonal |
| Applications: | IHC, WB, ELISA |
| Reactivity: | Human |
| Details: | Rabbit IgG Polyclonal |
| Applications: | IHC, WB |
| Reactivity: | Rat |
| Details: | Rabbit Polyclonal |
| Applications: | WB |