Skip to main content

Goat anti-Rabbit IgG (H+L) Secondary Antibody (Pre-adsorbed)

Novus Biologicals, part of Bio-Techne | Catalog # NBP1-72732

Novus Biologicals, part of Bio-Techne

Key Product Details

Species Reactivity

Rabbit

Applications

ELISA, Fluorophore-linked immunosorbent assay, Immunocytochemistry/ Immunofluorescence, Immunohistochemistry, SDS-Page, Western Blot

Label

Unconjugated

Antibody Source

Polyclonal Goat IgG

Format

Pre-adsorbed

Concentration

Please see the vial label for concentration. If unlisted please contact technical services.

Product Specifications

Immunogen

Goat anti-Rabbit IgG (H+L) Secondary Antibody (Pre-adsorbed) was produced by repeated immunization with rabbit whole IgG molecule in goat.

Specificity

This antibody was pre-adsorbed against Bovine, Chicken, Goat, Guinea Pig, Hamster, Horse, Human, Mouse, Rat, and Sheep Serum Proteins. No reaction was observed against Bovine, Chicken, Goat, Guinea Pig, Hamster, Horse, Human, Mouse, Rat and Sheep Serum Proteins. Specificity was confirmed using ELISA against at less than 1% of target signal.

Clonality

Polyclonal

Host

Goat

Isotype

IgG

Description

This product was prepared from monospecific antiserum by immunoaffinity chromatography using Rabbit IgG coupled to agarose beads followed by solid phase adsorption(s) to remove any unwanted reactivities. Assay by immunoelectrophoresis resulted in a single precipitin arc against anti-Goat Serum, Rabbit IgG and Rabbit Serum

Store vial at 4C prior to opening. This product is stable for several weeks at 4C as an undiluted liquid. Dilute only prior to immediate use. For extended storage aliquot contents and freeze at -20C or below. Avoid cycles of freezing and thawing.

Scientific Data Images for Goat anti-Rabbit IgG (H+L) Secondary Antibody (Pre-adsorbed)

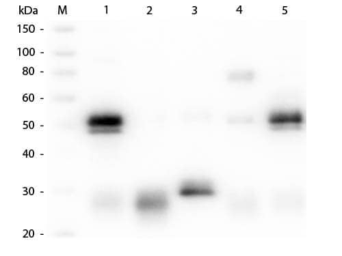
Western Blot: Goat anti-Rabbit IgG (H+L) Secondary Antibody (Pre-adsorbed) [NBP1-72732]

Western Blot: Goat anti-Rabbit IgG (H+L) Secondary Antibody (Pre-adsorbed) [NBP1-72732]

Western Blot: Goat anti-Rabbit IgG (H+L) Secondary Antibody (Pre-adsorbed) [NBP1-72732] - Lane 1: Rabbit IgG whole molecule. Lane 2: Rabbit IgG F(ab) Fragment. Lane 3: Rabbit IgG F(c) Fragment. Lane 4: Rabbit IgM Whole Molecule. Lane 5: Normal Rabbit Serum. All samples were reduced. Load: 50 ng per lane. Block: incubated with blocking buffer for 30 min at RT. Primary Antibody: Anti-Rabbit IgG (H&L) (GOAT) Antibody 1:1,000 for 60 min at RT. Secondary antibody: Anti-Goat IgG (DONKEY) Peroxidase Conjugated Antibody 1:40,000 in incubated with blocking buffer for 30 min at RT. Predicted/Observed Size: 25 and 50 kDa for Rabbit IgG and Serum, 25 kDa for F(c) and F(ab), 70 and 23 kDa for IgM. Rabbit F(c) migrates slightly higher. Image from the Alkaline Phosphatase version of this antibody.
Immunocytochemistry/ Immunofluorescence: Goat anti-Rabbit IgG (H+L) Secondary Antibody (Pre-adsorbed) [NBP1-72732]

Immunocytochemistry/ Immunofluorescence: Goat anti-Rabbit IgG (H+L) Secondary Antibody (Pre-adsorbed) [NBP1-72732]

Immunocytochemistry/Immunofluorescence: Goat anti-Rabbit IgG (H+L) Secondary Antibody (Pre-adsorbed) [NBP1-72732] - DyLight 488 conjugated anti-Rabbit IgG was used to demonstrate 2 color STED immunofluorescence microscopy. Methanol fixed A431 cells were blocked with normal goat serum. The cells were then probed with 0.4 ug/mL final concentration of anti-HDAC and detected with 0.2 ug/mL DyLight488 conjugated Anti-RABBIT IgG [GOAT] secondary antibody (colored GREEN). Also shown in this 2-color STED image is a-tubulin monoclonal antibody [MOUSE] detected with ATTO 425 conjugated anti-MOUSE IgG [GOAT] secondary antibody (colored RED). Image from the DyLight 488 version of this antibody.
Western Blot: Goat anti-Rabbit IgG (H+L) Secondary Antibody (Pre-adsorbed) [NBP1-72732]

Western Blot: Goat anti-Rabbit IgG (H+L) Secondary Antibody (Pre-adsorbed) [NBP1-72732]

Western Blot: Goat anti-Rabbit IgG (H+L) Secondary Antibody (Pre-adsorbed) [NBP1-72732] - Lane 1: Rabbit IgG. Load: 100 ng per lane. Primary antibody: RABBIT IgG (H&L) Antibody Pre-adsorbed at 1:1,000 for overnight at 4C. Secondary antibody: DyLight 800 goat secondary antibody 1:20,000 for 30 min at RT. Block: incubated with blocking buffer for 30 min at RT. Predicted/Observed size: 55 and 28 kDa for Rabbit IgG.

Applications for Goat anti-Rabbit IgG (H+L) Secondary Antibody (Pre-adsorbed)

Application
Recommended Usage

Immunocytochemistry/ Immunofluorescence

1:10 - 1:500

Immunohistochemistry

1:10 - 1:500

Western Blot

1:500 - 1:2000
Application Notes
This secondary antibody is suitable for use in immunoelectrophoresis, western-blot, competitive western-blot, ELISA and competitive ELISA assays. Specific conditions for reactivity and signal detection should be optimized by the end user.

Formulation, Preparation, and Storage

Purification

Multi-step

Formulation

0.02 M Potassium Phosphate, 0.15 M Sodium Chloride, pH 7.2

Format

Pre-adsorbed

Preservative

0.01% Sodium Azide

Concentration

Please see the vial label for concentration. If unlisted please contact technical services.

Shipping

The product is shipped with polar packs. Upon receipt, store it immediately at the temperature recommended below.

Stability & Storage

Store at 4C short term. Aliquot and store at -20C long term. Avoid freeze-thaw cycles.

Background: IgG (H+L)

Antibodies, also known as immunoglobulins (Igs) are critical for immunity and are grouped into five primary classes: IgG, IgM, IgA, IgD, and IgE. The most abundant antibody isotype is immunoglobulin G (IgG) with concentrations ranging from 7.5-22 mg/ml in human serum and has a molecular weight of 150 kDa. The major effector functions of IgG include neutralization, opsonization, complement fixation and antibody dependent cell-mediated cytotoxicity (ADCC). This monomeric immunoglobulin, expressed on the surface of mature B cells, is often depicted as a Y-shape and comprised of 2 heavy chains and 2 light chains linked by disulfide bonds. The heavy chain is type gamma including subtypes gamma 1, gamma 2, gamma 3, and gamma 4 while the light chain is either a kappa or lambda chain. An IgG molecule has two antigen binding sites, each consisting of a heavy and light chain N-terminal variable domain. When combined with the constant heavy chain 1 (Ch1) and the constant light chain domains, it forms the fragment antigen-binding (Fab) region (2 per antibody). The remaining domains (Ch2-Ch4) of both heavy chains make up the Fc region and contain a site for covalently linking an enzymatic or fluorochrome probe, such as HRP or Janelia Fluor 549, for target detection and visualization (1,2,3).

The 4 IgG subclasses, sharing 95% amino acid identity, include IgG1, IgG2, IgG3, and IgG4 for humans and IgG1, IgG2a, IgG2b, and IgG3 for mice. The relative abundance of each human subclass is 60% for IgG1, 32% for IgG2, 4% for IgG3, and 4% for IgG4. In an IgG deficiency, there may be a shortage of one or more subclasses (4).

References

1. Painter RH. (1998) Encyclopedia of Immunology (Second Edition). Elsevier. 1208-1211

2. Chapter 9 - Antibodies. (2012) Immunology for Pharmacy. Mosby 70-78

3. Schroeder H, Cavacini, L. (2010) Structure and Function of Immunoglobulins. J Allergy Clin Immunol. 125(2 0 2): S41-S52. PMID: 20176268

4. Vidarsson G, Dekkers G, Rispens T. (2014) IgG subclasses and allotypes: from structure to effector functions. Front Immunol. 5:520. PMID: 25368619

Additional IgG (H+L) Products

Product Documents for Goat anti-Rabbit IgG (H+L) Secondary Antibody (Pre-adsorbed)

Certificate of Analysis

To download a Certificate of Analysis, please enter a lot number in the search box below.

Product Specific Notices for Goat anti-Rabbit IgG (H+L) Secondary Antibody (Pre-adsorbed)

This product is for research use only and is not approved for use in humans or in clinical diagnosis. Secondary Antibodies are guaranteed for 1 year from date of receipt.

Loading...
Loading...
Loading...
Loading...