Skip to main content

Goat anti-Rabbit IgG (H+L) Secondary Antibody [Alkaline Phosphatase] (Pre-adsorbed)

Novus Biologicals, part of Bio-Techne | Catalog # NB120-6024

Novus Biologicals, part of Bio-Techne
Catalog #
Availability
Size / Price
Qty
Loading...
NB120-6024

Key Product Details

Species Reactivity

Rabbit

Applications

ELISA, Immunohistochemistry, Western Blot

Label

Alkaline Phosphatase

Antibody Source

Polyclonal Goat IgG

Format

Pre-adsorbed

Concentration

Please see the vial label for concentration. If unlisted please contact technical services.

Product Specifications

Immunogen

Rabbit IgG whole molecule

Specificity

This antibody was pre-adsorbed against Bovine, Chicken, Goat, Guinea Pig, Hamster, Horse, Human, Mouse, Rat, and Sheep Serum Proteins. No reaction was observed against Bovine, Chicken, Goat, Guinea Pig, Hamster, Horse, Human, Mouse, Rat and Sheep Serum Proteins.

Clonality

Polyclonal

Host

Goat

Isotype

IgG

Description

Store secondary antibody at 4C before opening. DO NOT FREEZE. Alkaline Phosphatase conjugated antibodies are stable at 4C as an undiluted liquid. Dilute only prior to immediate use. Freezing alkaline phosphatase conjugates will result in a substantial loss of enzymatic activity.

This product was prepared from monospecific antiserum by immunoaffinity chromatography using Rabbit IgG coupled to agarose beads followed by solid phase adsorption(s) to remove any unwanted reactivities. Assay by immunoelectrophoresis resulted in a single precipitin arc against anti-Alkaline Phosphatase (calf intestine), anti-Goat Serum, Rabbit IgG and Rabbit Serum

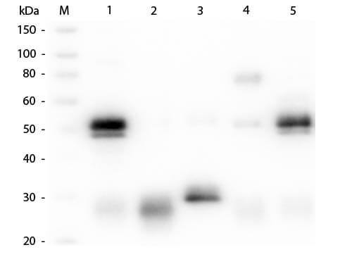
Scientific Data Images

Western Blot: Goat anti-Rabbit IgG (H+L) Secondary Antibody [Alkaline Phosphatase] (Pre-adsorbed) [NB120-6024] - Western Blot of Unconjugated Goat anti-Rabbit IgG (H+L) Secondary antibody [Alkaline Phosphatase] (Pre-adsorbed). Lane M: 3 ul Molecular Ladder. Lane 1: Rabbit IgG whole molecule. Lane 2: Rabbit IgG F(ab) Fragment. Lane 3: Rabbit IgG F(c) Fragment. Lane 4: Rabbit IgM Whole Molecule. Lane 5: Normal Rabbit Serum. All samples were reduced. Load: 50 ng per lane. Block for 30 min at RT. Primary Antibody: Goat anti-Rabbit IgG (H+L) Secondary antibody [Alkaline Phosphatase] (Pre-adsorbed) 1:1,000 for 60 min at RT. Secondary antibody: Anti-Goat IgG (DONKEY) Peroxidase Conjugated Antibody 1:40,000 in blocking buffer for 30 min at RT. Predicted/Obsevered Size: 25 and 50 kDa for Rabbit IgG and Serum, 25 kDa for F(c) and F(ab), 70 and 23 kDa for IgM. Rabbit F(c) migrates slightly higher.
Goat anti-Rabbit IgG (H+L) Secondary Antibody [Alkaline Phosphatase] (Pre-adsorbed)

Goat anti-Rabbit IgG (H+L) Secondary Antibody [Alkaline Phosphatase] (Pre-adsorbed)

Western Blot of Goat anti-Rabbit IgG (H+L) Secondary Antibody [Alkaline Phosphatase] (Pre-adsorbed)

Applications

Application
Recommended Usage

ELISA

1:10000 - 1:50000

Immunohistochemistry

1:200 - 1:1000

Western Blot

1:500 - 1:2500
Application Notes
This secondary antibody are ideal for Western Blotting, Immunohistochemistry, ELISA as well as other antibody detection methods.

Formulation, Preparation, and Storage

Purification

Multi-step

Formulation

0.05 M Tris Chloride, 0.15M Sodium Chloride, 0.001M Magnesium Chloride, 0.0001M Zinc Chloride, 50% (v/v) Glycerol; pH 8.0, 10 mg/mL Bovine Serum Albumin (BSA) - Immunoglobulin and Protease free

Format

Pre-adsorbed

Preservative

0.1% Sodium Azide

Concentration

Please see the vial label for concentration. If unlisted please contact technical services.

Shipping

The product is shipped with polar packs. Upon receipt, store it immediately at the temperature recommended below.

Stability & Storage

Store at 4C. Do not freeze.

Background: IgG (H+L)

Antibodies, also known as immunoglobulins (Igs) are critical for immunity and are grouped into five primary classes: IgG, IgM, IgA, IgD, and IgE. The most abundant antibody isotype is immunoglobulin G (IgG) with concentrations ranging from 7.5-22 mg/ml in human serum and has a molecular weight of 150 kDa. The major effector functions of IgG include neutralization, opsonization, complement fixation and antibody dependent cell-mediated cytotoxicity (ADCC). This monomeric immunoglobulin, expressed on the surface of mature B cells, is often depicted as a Y-shape and comprised of 2 heavy chains and 2 light chains linked by disulfide bonds. The heavy chain is type gamma including subtypes gamma 1, gamma 2, gamma 3, and gamma 4 while the light chain is either a kappa or lambda chain. An IgG molecule has two antigen binding sites, each consisting of a heavy and light chain N-terminal variable domain. When combined with the constant heavy chain 1 (Ch1) and the constant light chain domains, it forms the fragment antigen-binding (Fab) region (2 per antibody). The remaining domains (Ch2-Ch4) of both heavy chains make up the Fc region and contain a site for covalently linking an enzymatic or fluorochrome probe, such as HRP or Janelia Fluor 549, for target detection and visualization (1,2,3).

The 4 IgG subclasses, sharing 95% amino acid identity, include IgG1, IgG2, IgG3, and IgG4 for humans and IgG1, IgG2a, IgG2b, and IgG3 for mice. The relative abundance of each human subclass is 60% for IgG1, 32% for IgG2, 4% for IgG3, and 4% for IgG4. In an IgG deficiency, there may be a shortage of one or more subclasses (4).

References

1. Painter RH. (1998) Encyclopedia of Immunology (Second Edition). Elsevier. 1208-1211

2. Chapter 9 - Antibodies. (2012) Immunology for Pharmacy. Mosby 70-78

3. Schroeder H, Cavacini, L. (2010) Structure and Function of Immunoglobulins. J Allergy Clin Immunol. 125(2 0 2): S41-S52. PMID: 20176268

4. Vidarsson G, Dekkers G, Rispens T. (2014) IgG subclasses and allotypes: from structure to effector functions. Front Immunol. 5:520. PMID: 25368619

Additional IgG (H+L) Products

Product Documents

Certificate of Analysis

To download a Certificate of Analysis, please enter a lot number in the search box below.

Product Specific Notices

This product is for research use only and is not approved for use in humans or in clinical diagnosis. Secondary Antibodies are guaranteed for 1 year from date of receipt.

Loading...
Loading...
Loading...
Loading...