Skip to main content

Recombinant Mouse CD300g/Nepmucin Fc Chimera Protein, CF

R&D Systems, part of Bio-Techne | Catalog # 10801-NE

R&D Systems, part of Bio-Techne
Catalog #
Availability
Size / Price
Qty
Loading...
10801-NE-050

Key Product Details

  • R&D Systems NS0-derived Recombinant Mouse CD300g/Nepmucin Fc Chimera Protein (10801-NE)
  • Quality control testing to verify active proteins with lot specific assays by in-house scientists
  • All R&D Systems proteins are covered with a 100% guarantee

Source

NS0

Accession #

Conjugate

Unconjugated

Applications

Bioactivity

Product Specifications

Source

Mouse myeloma cell line, NS0-derived mouse CD300g/Nepmucin protein
Mouse CD300g/Nepmucin
(Leu19-Ile284)
Accession # NP_001154183.1
IEGRMDP Mouse IgG2a
(Glu98-Lys330)
N-terminus C-terminus

Purity

>95%, by SDS-PAGE visualized with Silver Staining and quantitative densitometry by Coomassie® Blue Staining.

Endotoxin Level

<0.10 EU per 1 μg of the protein by the LAL method.

N-terminal Sequence Analysis

Leu19

Predicted Molecular Mass

55 kDa

SDS-PAGE

88-100 kDa, under reducing conditions

Activity

Measured by its ability to inhibit anti-CD3 antibody induced IL-2 or IFN-gamma secretion by human T cells.
The ED50 for this effect is 0.40-4.00 μg/mL.

Scientific Data Images for Recombinant Mouse CD300g/Nepmucin Fc Chimera Protein, CF

Recombinant Mouse CD300g/Nepmucin Fc Chimera Protein Bioactivity.

Measured by its ability to inhibit anti-CD3 antibody induced IL-2 secretion by human T cells. The ED50 for this effect is 0.40-4.0 μg/mL.

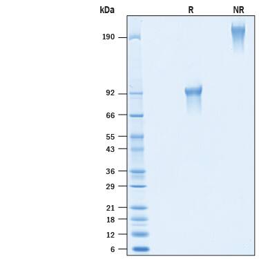
Recombinant Mouse CD300g/Nepmucin Fc Chimera Protein SDS-PAGE.

2 μg/lane of Recombinant Mouse CD300g/Nepmucin Fc Chimera (Catalog # 10801-NE) was resolved with SDS-PAGE under reducing (R) and non-reducing (NR) conditions and visualized by Coomassie® Blue staining, showing bands at 88-100 kDa and 176-200 kDa, respectively.

Formulation, Preparation and Storage

10801-NE
Formulation Lyophilized from a 0.2 μm filtered solution in PBS.
Reconstitution Reconstitute at 200 μg/mL in PBS.
Shipping The product is shipped at ambient temperature. Upon receipt, store it immediately at the temperature recommended below.
Stability & Storage Use a manual defrost freezer and avoid repeated freeze-thaw cycles.
  • 12 months from date of receipt, -20 to -70 °C as supplied.
  • 1 month, 2 to 8 °C under sterile conditions after reconstitution.
  • 3 months, -20 to -70 °C under sterile conditions after reconstitution.

Background: CD300g/Nepmucin

Nepmucin, also known as CMRF35-like molecule 9 (CLM-9), TREM-4 and CD300g, is a 75-95 kDa type I transmembrane O-glycosylated member of the CD300 family of molecules. Nepmucin (mucin not expressed in Peyer's Patches) is expressed on capillary endothelium and its expression appears to be influenced by factors that are locally produced in tissues (1, 2). Nepmucin contains a single V-type immunoglobulin domain and a mucin-like domain (3). Mature human Nepmucin is composed of 313 amino acid (aa), containing 186 aa extracellular domain (ECD), a 21 aa transmembrane segment, and a 106 aa cytoplasmic region. Within the ECD, mouse nepmucin shares 53% aa identity with human Nepmucin. Nepmucin plays a critical role in promoting lymphocyte transendothelial migration of high endothelial veins and mediates lymphocyte adhesion with endothelial cells by its Ig domain, which is independent of LFA-1 or VLA-4 adhesion pathway (3). Glycosylated Nepmucin with MECA-79 epitope associate with L-selectin to mediate L-selectin-dependent lymphocyte rolling by its mucin-like domain (4). Expression of Nepmucin is down-regulated in tumors and tumor-draining lymph nodes, indicating that the expression of Nepmucin is negatively regulated by locally produced signals under these circumstances (2). Nepmucin induction can significantly improve the killing activity of CIK cells (5).

References

  1. Jin, S. et al. (2008) FEBS Lett. 582:3018.
  2. Umemoto, E. et al. (2013) PloS One. 8:e83681.
  3. Umemoto, E. et al. (2006) J. Exp. Med. 203:1603.
  4. Takatsu, H, et al. (2006) Biochem. Biophys. Res. Commun. 348:183.
  5. Wang, Q. et al. (2017) Cent. Eur. J. Immunol. 42:117.

Alternate Names

CD300LG, CLM9, Nepmucin, TREM-4

Entrez Gene IDs

146894 (Human); 52685 (Mouse); 684984 (Rat)

Gene Symbol

CD300LG

UniProt

Additional CD300g/Nepmucin Products

Product Documents for Recombinant Mouse CD300g/Nepmucin Fc Chimera Protein, CF

Certificate of Analysis

To download a Certificate of Analysis, please enter a lot number in the search box below.

Note: Certificate of Analysis not available for kit components.

Product Specific Notices for Recombinant Mouse CD300g/Nepmucin Fc Chimera Protein, CF

For research use only

Loading...
Loading...
Loading...