Recombinant Human EGFR Fc Chimera Avi-tag Protein, CF
R&D Systems, part of Bio-Techne | Catalog # AVI344
Key Product Details
- R&D Systems HEK293-derived Recombinant Human EGFR Fc Chimera Avi-tag Protein (AVI344)
- Quality control testing to verify active proteins with lot specific assays by in-house scientists
- All R&D Systems proteins are covered with a 100% guarantee
Source
Accession #
Structure / Form
Conjugate
Applications
Product Specifications
Source
| Human EGFR (Leu25-Ser645) Accession # CAA25240.1 |
IEGRMD | Human IgG1 (Pro100-Lys330) |
Avi-tag |
| N-terminus | C-terminus | ||
Purity
Endotoxin Level
Predicted Molecular Mass
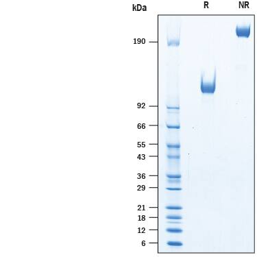
SDS-PAGE
Activity
When Human EGFR (Research Grade Cetuximab Biosimilar) Antibody (Catalog # MAB9577) is immobilized at 0.25 μg/mL, 100 μL/well, the concentration of Recombinant Human EGFR Fc Chimera Avi-tag (Catalog # AVI344) that produces 50% of the optimal binding response is approximately 2-15 ng/mL.
Scientific Data Images for Recombinant Human EGFR Fc Chimera Avi-tag Protein, CF
Recombinant Human EGFR Fc Chimera Avi-tag Protein Binding Activity
When Human EGFR (Research Grade Cetuximab Biosimilar) Antibody (Catalog # MAB9577) is immobilized at 0.25 µg/mL, 100 µL/well, the concentration of Recombinant Human EGFR Fc Chimera Avi-tag (Catalog # AVI344) that produces 50% of the optimal binding response is approximately 2-15 ng/mL.Recombinant Human EGFR Fc Chimera Avi-tag Protein SDS-PAGE
2 μg/lane of Biotinylated Recombinant Human EGFR Fc Chimera Avi-tag (Catalog # AVI344) was resolved with SDS-PAGE under reducing (R) and non-reducing (NR) conditions and visualized by Coomassie® Blue staining, showing bands at 110-130 kDa and 220-260 kDa, respectively.Formulation, Preparation and Storage
AVI344
| Formulation | Lyophilized from a 0.2 μm filtered solution in PBS with Trehalose. |
| Reconstitution | Reconstitute at 500 μg/mL in PBS. |
| Shipping | The product is shipped at ambient temperature. Upon receipt, store it immediately at the temperature recommended below. |
| Stability & Storage | Use a manual defrost freezer and avoid repeated freeze-thaw cycles.
|
Background: EGFR
The EGFR subfamily of receptor tyrosine kinases comprises four members: EGFR (also known as HER-1, ErbB1, or ErbB), ErbB2 (Neu, HER-2), ErbB3 (HER-3), and ErbB4 (HER-4). All family members are type I transmembrane glycoproteins with an extracellular ligand binding domain containing two cysteine-rich domains separated by a spacer region and a cytoplasmic domain containing a membrane-proximal tyrosine kinase domain followed by multiple tyrosine autophosphorylation sites (1-4). Soluble receptors consisting of the extracellular ligand binding domain are generated by alternate splicing in human and mouse (5‑7). Within the mature ECD, human EGFR shares 88% aa sequence identity with mouse and rat EGFR. Human EGFR shares 43%-44% aa sequence identity with the ECD of human ErbB2, ErbB3, and ErbB4. EGFR binds a subset of the EGF family ligands, including EGF, amphiregulin, TGF-alpha, betacellulin, epiregulin, HB-EGF, and epigen (1, 2). Ligand binding induces EGFR homodimerization as well as heterodimerization with ErbB2, resulting in kinase activation, heterodimerization tyrosine phosphorylation and cell signaling (8‑12). EGFR can also be recruited to form heterodimers with the ligand‑activated ErbB3 or ErbB4. EGFR signaling regulates multiple biological functions including cell proliferation, differentiation, motility, and apoptosis (13, 14). EGFR is overexpressed in a wide variety of tumors and is the target of several anti-cancer drugs (15).
References
- Singh, A.B. and R.C. Harris (2005) Cell. Signal. 17:1183.
- Shilo, B.Z. (2005) Development 132:4017.
- Lin, C. et al. (1984) Science 224:843.
- Ullrich, A. et al. (1984) Nature 309:418.
- Reiter, J.L. and N.J. Maihle (1996) Nucleic Acids Res. 24:4050.
- Reiter J.L. et al. (2001) Genomics 71:1.
- Xu, Y.H. et al. (1984) Nature 309:806.
- Graus-Porta, D. et al. (1997) EMBO J. 16:1647.
- Yarden, Y. et al. (1987) Biochemistry 26:1434.
- Burgess, A.W. et al. (2003) Mol. Cell 12:541.
- Lemmon, M.A. et al. (1997) EMBO J. 16:281.
- Cohen, S. et al. (1982) J. Biol. Chem. 257:1523.
- Sibilia, M. and E.F. Wagner (1995) Science 269:234.
- Miettinen, P.J. et al. (1995) Nature 376:337.
- Roskoski Jr., R. (2004) Biochem. Biophys. Res. Commun. 319:1.
Long Name
Alternate Names
Gene Symbol
UniProt
Additional EGFR Products
Product Documents for Recombinant Human EGFR Fc Chimera Avi-tag Protein, CF
Product Specific Notices for Recombinant Human EGFR Fc Chimera Avi-tag Protein, CF
For research use only