Skip to main content

Recombinant Cynomolgus Monkey MMP-9 Protein, CF

R&D Systems, part of Bio-Techne | Catalog # 10833-MP

R&D Systems, part of Bio-Techne
Catalog #
Availability
Size / Price
Qty
Loading...
10833-MP-020

Key Product Details

  • R&D Systems CHO-derived Recombinant Cynomolgus Monkey MMP-9 Protein (10833-MP)
  • Quality control testing to verify active proteins with lot specific assays by in-house scientists
  • All R&D Systems proteins are covered with a 100% guarantee

Source

CHO

Accession #

Structure / Form

Proform

Conjugate

Unconjugated

Applications

Enzyme Activity

Product Specifications

Source

Chinese Hamster Ovary cell line, CHO-derived cynomolgus monkey MMP-9 protein
Ala20-Asp707

Purity

>90%, by SDS-PAGE visualized with Silver Staining and quantitative densitometry by Coomassie® Blue Staining.

Endotoxin Level

<0.10 EU per 1 μg of the protein by the LAL method.

N-terminal Sequence Analysis

Ala20

Predicted Molecular Mass

76 kDa

SDS-PAGE

83-95 kDa, under reducing conditions

Activity

Measured by its ability to cleave the fluorogenic peptide substrate, Mca-PLGL-Dpa-AR-NH2 (Catalog # ES001).
The specific activity is >750 pmol/min/μg, as measured under the described conditions.

Scientific Data Images for Recombinant Cynomolgus Monkey MMP-9 Protein, CF

Recombinant Cynomolgus Monkey MMP-9 Enzyme Activity

Recombinant Cynomologous Monkey MMP-9 Protein (Catalog # 10833-MP) is measured by its ability to cleave the fluorogenic peptide substrate, Mca-PLGL-Dpa-AR-NH2 (ES001).

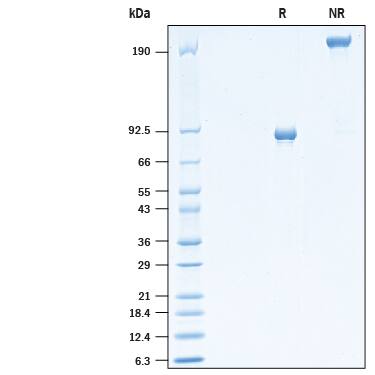
Recombinant Cynomolgus Monkey MMP-9 Protein SDS-PAGE.

2 μg/lane of Recombinant Cynomolgus Monkey MMP-9 (Catalog # 10833-MP) was resolved with SDS-PAGE under reducing (R) and non-reducing (NR) conditions and visualized by Coomassie® Blue staining, showing bands at ~90 kDa under reducing conditions.

Formulation, Preparation and Storage

10833-MP
Formulation Supplied as a 0.2 μm filtered solution in Tris, CaCl2, NaCl and Brij-35.
Shipping The product is shipped with dry ice or equivalent. Upon receipt, store it immediately at the temperature recommended below.
Stability & Storage Use a manual defrost freezer and avoid repeated freeze-thaw cycles.
  • 6 months from date of receipt, -20 to -70 °C as supplied.
  • 3 months, -20 to -70 °C under sterile conditions after opening.

Background: MMP-9

Matrix metalloproteinase 9 (MMP-9), also known as gelatinase B, is a member of the MMP zinc-dependent family of endopeptidases. It cleaves and degrades a variety of targets including important extracellular matrix (ECM) proteins: gelatin, collagen, and elastin, as well as chemokines and extracellular domain plasma membrane proteins (1-3). MMP-9 is synthesized and secreted by several cells including neutrophils, macrophages, fibroblasts, and endothelial cells (4). The monomeric MMP-9 protein is composed of several distinct domains including a signal sequence, a pro-domain which is cleaved upon activation, and a catalytic domain at the n-terminus followed by a hinge region and the c-terminal hemopexin-like domains that contribute to substrate recognition and specificity (5,6). The catalytic domain contains fibronectin type II domains, an active site, and a zinc binding site. MMP-9 can exist as a monomer, disulfide-linked homodimer, or heterodimer in complex with lipocalin-2 (7,8). MMP-9 activity is regulated at several levels via transcription, post-transcription, translation, secretion, activation, and inhibition. As MMP-9 is involved in ECM remodeling and membrane protein cleavage, it has been widely associated to play a role in several diseases including cancers (9), autoimmune, and cardiovascular diseases (9-11). MMP-9 is consequently an important target of interest for inhibition (11-13). Additionally, it has been found to be a potential biomarker for many types of cancer including pancreatic, osteosarcoma, lung, ovarian, and breast (9).

References

  1. Kridel, S.J. et al. (2001) J. Biol. Chem. 276:20572.
  2. Vaisar, T. et al. (2009) Mol. Cell. Proteom. MCP 8:1044.
  3. Dufour, A. and C.M. Overall. (2013) Trends Pharmacol. Sci. 34:233.
  4. Vandooren, J. et al. (2013) Crit. Rev. Biochem. Mol. Biol. 48:222.
  5. Roeb, E. et al. (2002) J. Biol. Chem. 277:50326.
  6. Rosenblum, G. et al. (2007) Structure 15:1227.
  7. Kjeldsen, L. et al. (1993) J. Biol. Chem. 268:10425.
  8. Olson, M.W. et al. (2000) J. Biol. Chem. 275:2661.
  9. Huang, H. (2018) Sensors 18:3249.
  10. Ram, M. et al. (2006) J. Clin. Immunol. 26:299.
  11. Hu, J. et al. (2007) Nat. Rev. Drug. Discov. 6:480.
  12. Fields, G.B. (2019) Cells. 8:984.
  13. Kumar, G.B. et al. (2019) Medchemcomm. 10:2024.

Long Name

Matrix Metalloproteinase 9

Alternate Names

CLG4B, Gelatinase B, GELB, MANDP2, MMP9

Entrez Gene IDs

4318 (Human); 17395 (Mouse); 81687 (Rat); 102117693 (Cynomolgus Monkey)

Gene Symbol

MMP9

UniProt

Additional MMP-9 Products

Product Documents for Recombinant Cynomolgus Monkey MMP-9 Protein, CF

Certificate of Analysis

To download a Certificate of Analysis, please enter a lot number in the search box below.

Note: Certificate of Analysis not available for kit components.

Product Specific Notices for Recombinant Cynomolgus Monkey MMP-9 Protein, CF

For research use only

Loading...
Loading...
Loading...
Loading...