Skip to main content

ZNF638 Antibody - BSA Free

Novus Biologicals, part of Bio-Techne | Catalog # NBP1-82730

Novus Biologicals, part of Bio-Techne
Catalog #
Availability
Size / Price
Qty
Loading...
NBP1-82730
NBP1-82730-25ul

Key Product Details

Species Reactivity

Human

Applications

Immunohistochemistry, Immunohistochemistry-Paraffin, Immunocytochemistry/ Immunofluorescence

Label

Unconjugated

Antibody Source

Polyclonal Rabbit IgG

Format

BSA Free

Concentration

Concentrations vary lot to lot. See vial label for concentration. If unlisted please contact technical services.

Product Specifications

Immunogen

This antibody was developed against Recombinant Protein corresponding to amino acids: GLLKPTSARSGLAESSSKFKPTQSSLTRGGSGRISALQGKLSKLDYRDITKQSQETEARPSIMKRDDSNNKTLAEQNTKNPK

Clonality

Polyclonal

Host

Rabbit

Isotype

IgG

Scientific Data Images for ZNF638 Antibody - BSA Free

Immunocytochemistry/ Immunofluorescence: ZNF638 Antibody [NBP1-82730]

Immunocytochemistry/ Immunofluorescence: ZNF638 Antibody [NBP1-82730]

Immunocytochemistry/Immunofluorescence: ZNF638 Antibody [NBP1-82730] - Staining of human cell line U-2 OS shows localization to nucleoplasm & vesicles. Antibody staining is shown in green.
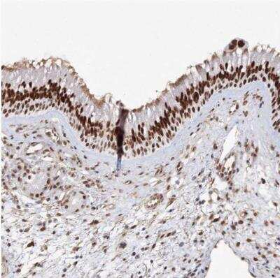
Immunohistochemistry-Paraffin: ZNF638 Antibody [NBP1-82730]

Immunohistochemistry-Paraffin: ZNF638 Antibody [NBP1-82730]

Immunohistochemistry-Paraffin: ZNF638 Antibody [NBP1-82730] - Staining of human nasopharynx shows strong nuclear positivity in respiratory epithelial cells.

Applications for ZNF638 Antibody - BSA Free

Application
Recommended Usage

Immunocytochemistry/ Immunofluorescence

0.25-2 ug/ml

Immunohistochemistry

1:200 - 1:500

Immunohistochemistry-Paraffin

1:200 - 1:500
Application Notes
For IHC-Paraffin, HIER pH 6 retrieval is recommended. ICC/IF Fixation Permeabilization: Use PFA/Triton X-100.

Formulation, Preparation, and Storage

Purification

Affinity purified

Formulation

PBS (pH 7.2) and 40% Glycerol

Format

BSA Free

Preservative

0.02% Sodium Azide

Concentration

Concentrations vary lot to lot. See vial label for concentration. If unlisted please contact technical services.

Shipping

The product is shipped with polar packs. Upon receipt, store it immediately at the temperature recommended below.

Stability & Storage

Store at 4C short term. Aliquot and store at -20C long term. Avoid freeze-thaw cycles.

Background: ZNF638

ZNF638 is encoded by this gene is a nucleoplasmic protein. It binds cytidine-rich sequences in double-stranded DNA. This protein has three types of domains: MH1, MH2 (repeated three times) and MH3. It is associated with packaging, transferring, or processing transcripts. Multiple alternatively spliced transcript variants have been found for this gene, but the biological validity of some variants has not been determined.

Alternate Names

CTCL tumor antigen se33-1, CTCL-associated antigen se33-1, Cutaneous T-cell lymphoma-associated antigen se33-1, DKFZp686P1231, MGC26130, MGC90196, NP220 nuclear protein, NP220zinc finger, matrin-like, Nuclear protein 220, ZFML, Zfp638, Zinc finger matrin-like protein, zinc finger protein 638

Gene Symbol

ZNF638

Additional ZNF638 Products

Product Documents for ZNF638 Antibody - BSA Free

Certificate of Analysis

To download a Certificate of Analysis, please enter a lot number in the search box below.

Product Specific Notices for ZNF638 Antibody - BSA Free

This product is for research use only and is not approved for use in humans or in clinical diagnosis. Primary Antibodies are guaranteed for 1 year from date of receipt.

Loading...
Loading...
Loading...
Loading...