Skip to main content

ZNF329 Antibody - BSA Free

Novus Biologicals, part of Bio-Techne | Catalog # NBP2-20993

Novus Biologicals, part of Bio-Techne
Catalog #
Availability
Size / Price
Qty
Loading...
NBP2-20993

Key Product Details

Species Reactivity

Human

Applications

Immunohistochemistry, Immunohistochemistry-Paraffin, Western Blot, Immunocytochemistry/ Immunofluorescence

Label

Unconjugated

Antibody Source

Polyclonal Rabbit IgG

Format

BSA Free

Concentration

Concentrations vary lot to lot. See vial label for concentration. If unlisted please contact technical services.

Product Specifications

Immunogen

Recombinant protein encompassing a sequence within the center region of human ZNF329. The exact sequence is proprietary.

Localization

Nucleus

Clonality

Polyclonal

Host

Rabbit

Isotype

IgG

Theoretical MW

62 kDa.
Disclaimer note: The observed molecular weight of the protein may vary from the listed predicted molecular weight due to post translational modifications, post translation cleavages, relative charges, and other experimental factors.

Description

Novus Biologicals Rabbit ZNF329 Antibody - BSA Free (NBP2-20993) is a polyclonal antibody validated for use in IHC, WB and ICC/IF. All Novus Biologicals antibodies are covered by our 100% guarantee.

Scientific Data Images for ZNF329 Antibody - BSA Free

Western Blot: ZNF329 Antibody [NBP2-20993]

Western Blot: ZNF329 Antibody [NBP2-20993]

Western Blot: ZNF329 Antibody [NBP2-20993] - Sample (30 ug of whole cell lysate) A: NT2D1 7. 5% SDS PAGE gel, diluted at 1:1000.
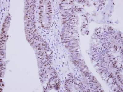
Immunohistochemistry-Paraffin: ZNF329 Antibody [NBP2-20993]

Immunohistochemistry-Paraffin: ZNF329 Antibody [NBP2-20993]

Immunohistochemistry-Paraffin: ZNF329 Antibody [NBP2-20993] - Immunohistochemical analysis of paraffin-embedded Colon ca, using antibody at 1:250 dilution.
ZNF329 Antibody - BSA Free

Immunocytochemistry/ Immunofluorescence: ZNF329 Antibody [NBP2-20993] -

ZNF329 antibody detects ZNF329 protein at nucleus by immunofluorescent analysis.
Sample: NT2D1 cells were fixed in 4% paraformaldehyde at RT for 15 min.
Green: ZNF329 protein stained by ZNF329 antibody (NBP2-20993) diluted at 1:500.
Blue: Hoechst 33342 staining.

Applications for ZNF329 Antibody - BSA Free

Application
Recommended Usage

Immunocytochemistry/ Immunofluorescence

1:100-1:1000

Immunohistochemistry

1:100-1:1000

Immunohistochemistry-Paraffin

1:100-1:1000

Western Blot

1:500-1:3000

Formulation, Preparation, and Storage

Purification

Antigen Affinity-purified

Formulation

0.1M Tris, 0.1M Glycine, 20% Glycerol

Format

BSA Free

Preservative

0.01% Thimerosal

Concentration

Concentrations vary lot to lot. See vial label for concentration. If unlisted please contact technical services.

Shipping

The product is shipped with polar packs. Upon receipt, store it immediately at the temperature recommended below.

Stability & Storage

Aliquot and store at -20C or -80C. Avoid freeze-thaw cycles.

Background: ZNF329

May be involved in transcriptional regulation.

Alternate Names

zinc finger protein 394, zinc finger protein 99, Zinc finger protein with KRAB and SCAN domains 14, ZKSCAN14FLJ12298

Gene Symbol

ZNF329

Additional ZNF329 Products

Product Documents for ZNF329 Antibody - BSA Free

Certificate of Analysis

To download a Certificate of Analysis, please enter a lot number in the search box below.

Product Specific Notices for ZNF329 Antibody - BSA Free

This product is for research use only and is not approved for use in humans or in clinical diagnosis. Primary Antibodies are guaranteed for 1 year from date of receipt.

Loading...
Loading...
Loading...
Loading...

⚠ WARNING: This product can expose you to chemicals including mercury, which is known to the State of California to cause reproductive toxicity with developmental effects.  For more information go to www.P65Warnings.ca.gov.