Skip to main content

ZNF300 Antibody - BSA Free

Novus Biologicals, part of Bio-Techne | Catalog # NBP2-13566

Novus Biologicals, part of Bio-Techne
Catalog #
Availability
Size / Price
Qty
Loading...
NBP2-13566

Key Product Details

Species Reactivity

Human

Applications

Immunohistochemistry, Immunohistochemistry-Paraffin, Western Blot, Chromatin Immunoprecipitation-exo-Seq

Label

Unconjugated

Antibody Source

Polyclonal Rabbit IgG

Format

BSA Free

Concentration

Concentrations vary lot to lot. See vial label for concentration. If unlisted please contact technical services.

Product Specifications

Immunogen

This antibody was developed against a recombinant protein corresponding to the amino acids: EEPWIIKGDISNWIYPDEYQADGRQDRKSNLHNSQSCILGTVSFHHKILKGVTRDGSLCS

Clonality

Polyclonal

Host

Rabbit

Isotype

IgG

Description

Novus Biologicals Rabbit ZNF300 Antibody - BSA Free (NBP2-13566) is a polyclonal antibody validated for use in IHC and WB. All Novus Biologicals antibodies are covered by our 100% guarantee.

Scientific Data Images for ZNF300 Antibody - BSA Free

Western Blot: ZNF300 Antibody [NBP2-13566]

Western Blot: ZNF300 Antibody [NBP2-13566]

Western Blot: ZNF300 Antibody [NBP2-13566] - Lane 1: Marker [kDa] 250, 130, 95, 72, 55, 36, 28, 17, 10. Lane 2: Human cell line RT-4. Lane 3: Human cell line U-251MG sp. Lane 4: Human plasma (IgG/HSA depleted). Lane 5: Human liver tissue. Lane 6: Human tonsil tissue
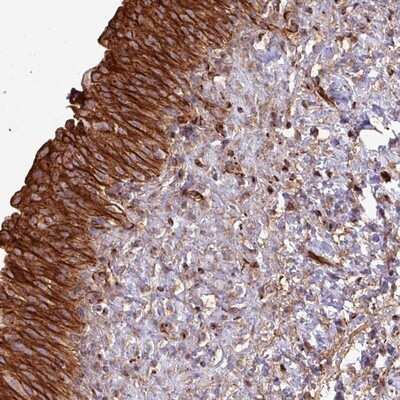
Immunohistochemistry-Paraffin: ZNF300 Antibody [NBP2-13566]

Immunohistochemistry-Paraffin: ZNF300 Antibody [NBP2-13566]

Immunohistochemistry-Paraffin: ZNF300 Antibody [NBP2-13566] - Staining of human urinary bladder shows strong cytoplasmic and membranous positivity in urothelial cells.
ZNF300 Antibody - BSA Free Chromatin Immunoprecipitation-exo-Seq: ZNF300 Antibody - BSA Free [NBP2-13566]

Chromatin Immunoprecipitation-exo-Seq: ZNF300 Antibody - BSA Free [NBP2-13566]

ChIP-Exo-Seq composite graph for Anti-ZNF300 (NBP2-13566) tested in K562 cells. Strand-specific reads (blue: forward, red: reverse) and IgG controls (black: forward, grey: reverse) are plotted against the distance from a composite set of reference binding sites. The antibody exhibits robust target enrichment compared to a non-specific IgG control and precisely reveals its structural organization around the binding site. Data generated by Prof. B. F. Pugh´s Lab at Cornell University.

Applications for ZNF300 Antibody - BSA Free

Application
Recommended Usage

Chromatin Immunoprecipitation-exo-Seq

1-10ug per reaction

Immunohistochemistry

1:50 - 1:200

Immunohistochemistry-Paraffin

1:50 - 1:200

Western Blot

0.04-0.4 ug/ml
Application Notes
For IHC-Paraffin, HIER pH 6 retrieval is recommended.

Formulation, Preparation, and Storage

Purification

Affinity purified

Formulation

PBS (pH 7.2) and 40% Glycerol

Format

BSA Free

Preservative

0.02% Sodium Azide

Concentration

Concentrations vary lot to lot. See vial label for concentration. If unlisted please contact technical services.

Shipping

The product is shipped with polar packs. Upon receipt, store it immediately at the temperature recommended below.

Stability & Storage

Store at 4C short term. Aliquot and store at -20C long term. Avoid freeze-thaw cycles.

Background: ZNF300

ZNF300 contains C2H2 (or Kruppel)-type zinc finger motifs that tetrahedrally coordinate zinc ions and form a proteinstructure that can bind DNA and regulate transcription (Gou et al., 2004 (PubMed 14746915)).(supplied by OMIM)

Alternate Names

kruppel-like zinc finger protein, zinc finger protein 300

Gene Symbol

ZNF300

Additional ZNF300 Products

Product Documents for ZNF300 Antibody - BSA Free

Certificate of Analysis

To download a Certificate of Analysis, please enter a lot number in the search box below.

Product Specific Notices for ZNF300 Antibody - BSA Free

This product is for research use only and is not approved for use in humans or in clinical diagnosis. Primary Antibodies are guaranteed for 1 year from date of receipt.

Loading...
Loading...
Loading...
Loading...