Skip to main content

Zinc finger and BTB domain-containing protein 9 Antibody - BSA Free

Novus Biologicals, part of Bio-Techne | Catalog # NBP2-20956

Novus Biologicals, part of Bio-Techne
Catalog #
Availability
Size / Price
Qty
Loading...
NBP2-20956

Key Product Details

Species Reactivity

Human

Applications

Immunohistochemistry, Immunohistochemistry-Paraffin, Western Blot

Label

Unconjugated

Antibody Source

Polyclonal Rabbit IgG

Format

BSA Free

Concentration

Concentrations vary lot to lot. See vial label for concentration. If unlisted please contact technical services.

Product Specifications

Immunogen

Recombinant protein encompassing a sequence within the center region of human Zinc finger and BTB domain-containing protein 9. The exact sequence is proprietary.

Reactivity Notes

Immunogen displays the following percentage of sequence identity for non-tested species: Bovine (86%), Rat (82%), Mouse (86%).

Localization

Nucleus

Clonality

Polyclonal

Host

Rabbit

Isotype

IgG

Theoretical MW

51 kDa.
Disclaimer note: The observed molecular weight of the protein may vary from the listed predicted molecular weight due to post translational modifications, post translation cleavages, relative charges, and other experimental factors.

Description

Novus Biologicals Rabbit Zinc finger and BTB domain-containing protein 9 Antibody - BSA Free (NBP2-20956) is a polyclonal antibody validated for use in IHC and WB. All Novus Biologicals antibodies are covered by our 100% guarantee.

Scientific Data Images for Zinc finger and BTB domain-containing protein 9 Antibody - BSA Free

Western Blot: Zinc finger and BTB domain-containing protein 9 Antibody [NBP2-20956]

Western Blot: Zinc finger and BTB domain-containing protein 9 Antibody [NBP2-20956]

Western Blot: Zinc finger and BTB domain-containing protein 9 Antibody [NBP2-20956] - Sample (30 ug of whole cell lysate) A: IMR32 B: U87-MG 10% SDS PAGE gel, diluted at 1:1000.
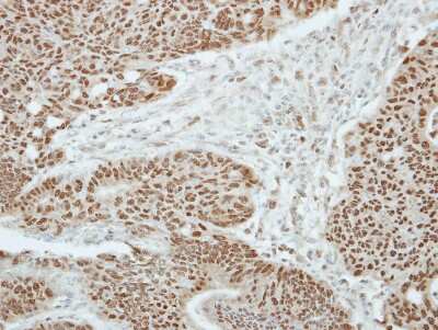
Immunohistochemistry-Paraffin: Zinc finger and BTB domain-containing protein 9 Antibody [NBP2-20956]

Immunohistochemistry-Paraffin: Zinc finger and BTB domain-containing protein 9 Antibody [NBP2-20956]

Immunohistochemistry-Paraffin: Zinc finger and BTB domain-containing protein 9 Antibody [NBP2-20956] - Immunohistochemical analysis of paraffin-embedded Colon ca, using antibody at 1:250 dilution.

Applications for Zinc finger and BTB domain-containing protein 9 Antibody - BSA Free

Application
Recommended Usage

Immunohistochemistry

10 - 1:500

Immunohistochemistry-Paraffin

1:100-1:1000

Western Blot

1:500-1:3000

Formulation, Preparation, and Storage

Purification

Antigen Affinity-purified

Formulation

0.1M Tris, 0.1M Glycine, 20% Glycerol

Format

BSA Free

Preservative

0.01% Thimerosal

Concentration

Concentrations vary lot to lot. See vial label for concentration. If unlisted please contact technical services.

Shipping

The product is shipped with polar packs. Upon receipt, store it immediately at the temperature recommended below.

Stability & Storage

Aliquot and store at -20C or -80C. Avoid freeze-thaw cycles.

Background: Zinc finger and BTB domain-containing protein 9

Zinc finger and BTB domain-containing protein 9 may be involved in transcriptional regulation

Alternate Names

MGC23166, zinc finger and BTB domain containing 9, zinc finger and BTB domain-containing protein 9, ZNF919

Gene Symbol

ZBTB9

UniProt

Additional Zinc finger and BTB domain-containing protein 9 Products

Product Documents for Zinc finger and BTB domain-containing protein 9 Antibody - BSA Free

Certificate of Analysis

To download a Certificate of Analysis, please enter a lot number in the search box below.

Product Specific Notices for Zinc finger and BTB domain-containing protein 9 Antibody - BSA Free

This product is for research use only and is not approved for use in humans or in clinical diagnosis. Primary Antibodies are guaranteed for 1 year from date of receipt.

Loading...
Loading...
Loading...
Loading...

⚠ WARNING: This product can expose you to chemicals including mercury, which is known to the State of California to cause reproductive toxicity with developmental effects.  For more information go to www.P65Warnings.ca.gov.