Skip to main content

Zinc finger and BTB domain-containing protein 9 Antibody - BSA Free

Novus Biologicals, part of Bio-Techne | Catalog # NBP1-76522

Novus Biologicals, part of Bio-Techne

Key Product Details

Species Reactivity

Human, Mouse

Applications

Immunohistochemistry, Immunohistochemistry-Paraffin, Western Blot, ELISA, Immunocytochemistry/ Immunofluorescence

Label

Unconjugated

Antibody Source

Polyclonal Rabbit IgG

Format

BSA Free

Concentration

1 mg/ml

Product Specifications

Immunogen

Antibody was raised against a 15 amino acid synthetic peptide near the carboxy terminus of human ZBTB9. The immunogen is located within the first 50 amino acids of ZBTB9. Amino Acid Squence: PQHSSSLLESLNRHR

Specificity

This antibody is predicted to not cross-react with other ZBTB protein family members.

Clonality

Polyclonal

Host

Rabbit

Isotype

IgG

Description

Novus Biologicals Rabbit Zinc finger and BTB domain-containing protein 9 Antibody - BSA Free (NBP1-76522) is a polyclonal antibody validated for use in IHC, WB, ELISA and ICC/IF. All Novus Biologicals antibodies are covered by our 100% guarantee.

Scientific Data Images for Zinc finger and BTB domain-containing protein 9 Antibody - BSA Free

Western Blot: Zinc finger and BTB domain-containing protein 9 AntibodyBSA Free [NBP1-76522]

Western Blot: Zinc finger and BTB domain-containing protein 9 AntibodyBSA Free [NBP1-76522]

Western Blot: Zinc finger and BTB domain-containing protein 9 Antibody [NBP1-76522] - Mouse heart tissue lysate with Zinc finger and BTB domian-containing protein 9 antibody at 1 ug/mL in (A) the absence and (B) the presence of blocking peptide.
Zinc finger and BTB domain-containing protein 9 Antibody - BSA Free

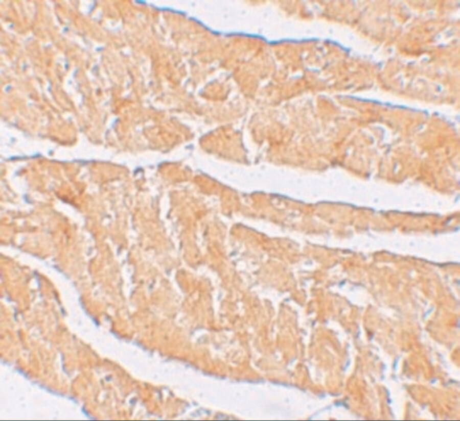
Immunohistochemistry: Zinc finger and BTB domain-containing protein 9 Antibody - BSA Free [NBP1-76522] -

Immunohistochemistry: Zinc finger and BTB domain-containing protein 9 Antibody - BSA Free [NBP1-76522] - Immunohistochemistry of Zinc finger and BTB domain-containing protein 9 in mouse heart tissue with Zinc finger and BTB domain-containing protein 9 antibody at 2.5 ug/mL.
Zinc finger and BTB domain-containing protein 9 Antibody - BSA Free

Immunocytochemistry/ Immunofluorescence: Zinc finger and BTB domain-containing protein 9 Antibody - BSA Free [NBP1-76522] -

Immunocytochemistry/ Immunofluorescence: Zinc finger and BTB domain-containing protein 9 Antibody - BSA Free [NBP1-76522] - Immunofluorescence of Zinc finger and BTB domain-containing protein 9 in mouse heart tissue with Zinc finger and BTB domain-containing protein 9 antibody at 20 ug/mL.

Applications for Zinc finger and BTB domain-containing protein 9 Antibody - BSA Free

Application
Recommended Usage

ELISA

1:100-1:2000

Immunocytochemistry/ Immunofluorescence

5 ug/ml

Immunohistochemistry

2.5 ug/ml

Immunohistochemistry-Paraffin

2.5 ug/ml

Western Blot

1 ug/ml

Formulation, Preparation, and Storage

Purification

Peptide affinity purified

Formulation

PBS

Format

BSA Free

Preservative

0.02% Sodium Azide

Concentration

1 mg/ml

Shipping

The product is shipped with polar packs. Upon receipt, store it immediately at the temperature recommended below.

Stability & Storage

Store at 4C short term. Aliquot and store at -20C long term. Avoid freeze-thaw cycles.

Background: Zinc finger and BTB domain-containing protein 9

The ZBTB family of proteins is comprised of diverse zinc finger proteins that also contain a BTB (BR-C, ttk and bab) domain. ZBTB9, also known as ZNF919, is present in multiple tissues, and is highly expressed in the cytoplasm of the placenta. While little is known about ZBTB9, other ZBTB proteins, such as ZBTB4 bind methylated DNA and repress transcription. Another ZBTB proteins, ZBTB7A, has been implicated as a proto-oncogene whose overexpression contributes to malignancy in breast cancer, suggesting that ZBTB9 may act as a transcriptional repressor or be involved in tumorigenesis.

Alternate Names

MGC23166, zinc finger and BTB domain containing 9, zinc finger and BTB domain-containing protein 9, ZNF919

Gene Symbol

ZBTB9

Additional Zinc finger and BTB domain-containing protein 9 Products

Product Documents for Zinc finger and BTB domain-containing protein 9 Antibody - BSA Free

Certificate of Analysis

To download a Certificate of Analysis, please enter a lot number in the search box below.

Product Specific Notices for Zinc finger and BTB domain-containing protein 9 Antibody - BSA Free

This product is for research use only and is not approved for use in humans or in clinical diagnosis. Primary Antibodies are guaranteed for 1 year from date of receipt.

Loading...
Loading...
Loading...
Loading...