Skip to main content

ZBTB5 Antibody

Novus Biologicals, part of Bio-Techne | Catalog # NBP3-48564

Novus Biologicals, part of Bio-Techne
Catalog #
Availability
Size / Price
Qty
Loading...
NBP3-48564

Key Product Details

Species Reactivity

Mouse, Rat

Applications

Immunohistochemistry, Immunohistochemistry-Paraffin

Label

Unconjugated

Antibody Source

Polyclonal Rabbit IgG

Concentration

Concentrations vary lot to lot. See vial label for concentration. If unlisted please contact technical services.

Product Specifications

Immunogen

Recombinant protein encompassing a sequence within the center region of human ZBTB5. The exact sequence is proprietary.

Clonality

Polyclonal

Host

Rabbit

Isotype

IgG

Description

Novus Biologicals Rabbit ZBTB5 Antibody (NBP3-48564) is a polyclonal antibody validated for use in IHC. All Novus Biologicals antibodies are covered by our 100% guarantee.

Scientific Data Images for ZBTB5 Antibody

ZBTB5 Antibody

Immunohistochemistry: ZBTB5 Antibody [NBP3-48564] -

ZBTB5 antibody detects ZBTB5 protein at nucleus and cytosol on mouse prostate by immunohistochemical analysis.
Sample: Paraffin-embedded mouse prostate.
ZBTB5 antibody (NBP3-48564) dilution: 1:1000.

Antigen Retrieval: (EDTA based, pH 8.0) buffer, 15min
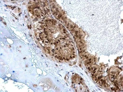
ZBTB5 Antibody

Immunohistochemistry-Paraffin: ZBTB5 Antibody [NBP3-48564] -

ZBTB5 antibody detects ZBTB5 protein at nucleus in mouse testis by immunohistochemical analysis.
Sample: Paraffin-embedded mouse testis.
ZBTB5 antibody (NBP3-48564) diluted at 1:500.

Antigen Retrieval: Citrate buffer, pH 6.0, 15 min
ZBTB5 Antibody

Immunohistochemistry: ZBTB5 Antibody [NBP3-48564] -

ZBTB5 antibody detects ZBTB5 protein at nucleus on rat fore brain by immunohistochemical analysis.
Sample: Paraffin-embedded rat fore brain.
ZBTB5 antibody (NBP3-48564) dilution: 1:1000.

Antigen Retrieval: (EDTA based, pH 8.0) buffer, 15min

Applications for ZBTB5 Antibody

Application
Recommended Usage

Immunohistochemistry-Paraffin

1:100-1:1000

Formulation, Preparation, and Storage

Purification

Antigen Affinity-purified

Formulation

0.1M Tris, 0.1M Glycine, 20% Glycerol

Preservative

0.01% Thimerosal

Concentration

Concentrations vary lot to lot. See vial label for concentration. If unlisted please contact technical services.

Shipping

The product is shipped with polar packs. Upon receipt, store it immediately at the temperature recommended below.

Stability & Storage

Store at 4C short term. Aliquot and store at -20C long term. Avoid freeze-thaw cycles.

Background: ZBTB5

ZBTB5 may be involved in transcriptional regulation

Alternate Names

KIAA0354, zinc finger and BTB domain containing 5, zinc finger and BTB domain-containing protein 5

Gene Symbol

ZBTB5

Additional ZBTB5 Products

Product Documents for ZBTB5 Antibody

Certificate of Analysis

To download a Certificate of Analysis, please enter a lot number in the search box below.

Product Specific Notices for ZBTB5 Antibody

This product is for research use only and is not approved for use in humans or in clinical diagnosis. Primary Antibodies are guaranteed for 1 year from date of receipt.

Loading...
Loading...
Loading...
Loading...