Skip to main content

ZBP1/DLM-1/DAI Antibody (2C10) - Azide and BSA Free

Novus Biologicals, part of Bio-Techne | Catalog # H00081030-M01

Novus Biologicals, part of Bio-Techne
Catalog #
Availability
Size / Price
Qty
Loading...
H00081030-M01

Key Product Details

Species Reactivity

Human

Applications

ELISA, Immunocytochemistry/ Immunofluorescence, Immunohistochemistry, Immunohistochemistry-Paraffin, Western Blot

Label

Unconjugated

Antibody Source

Monoclonal Mouse IgG1 kappa Clone # 2C10

Format

Azide and BSA Free

Concentration

Concentrations vary lot to lot. See vial label for concentration. If unlisted please contact technical services.

Product Specifications

Immunogen

ZBP1 (NP_110403.1, 2 a.a. ~ 100 a.a) partial recombinant protein with GST tag. MW of the GST tag alone is 26 KDa. AQAPADPGREGHLEQRILQVLTEAGSPVKLAQLVKECQAPKRELNQVLYRMKKELKVSLTSPATWCLGGTDPEGEGPAELALSSPAKRPQQHAATIPET

Specificity

Reacts with Z-DNA binding protein 1.

Clonality

Monoclonal

Host

Mouse

Isotype

IgG1 kappa

Description

Novus Biologicals Mouse ZBP1/DLM-1/DAI Antibody (2C10) - Azide and BSA Free (H00081030-M01) is a monoclonal antibody validated for use in IHC, WB, ELISA and ICC/IF. All Novus Biologicals antibodies are covered by our 100% guarantee.

Scientific Data Images for ZBP1/DLM-1/DAI Antibody (2C10) - Azide and BSA Free

Western Blot: ZBP1/DLM-1/DAI Antibody (2C10) [H00081030-M01]

Western Blot: ZBP1/DLM-1/DAI Antibody (2C10) [H00081030-M01]

Western Blot: ZBP1/DLM-1/DAI Antibody (2C10) [H00081030-M01] - Analysis of ZBP1 expression in transfected 293T cell line by ZBP1 monoclonal antibody (M01), clone 2C10.Lane 1: ZBP1 transfected lysate (Predicted MW: 16 KDa).Lane 2: Non-transfected lysate.
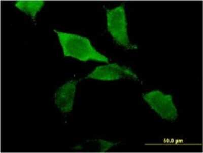
Immunocytochemistry/ Immunofluorescence: ZBP1/DLM-1/DAI Antibody (2C10) [H00081030-M01]

Immunocytochemistry/ Immunofluorescence: ZBP1/DLM-1/DAI Antibody (2C10) [H00081030-M01]

Immunocytochemistry/Immunofluorescence: ZBP1/DLM-1/DAI Antibody (2C10) [H00081030-M01] - Analysis of monoclonal antibody to ZBP1 on HeLa cell . Antibody concentration 10 ug/ml.
Immunohistochemistry-Paraffin: ZBP1/DLM-1/DAI Antibody (2C10) [H00081030-M01]

Immunohistochemistry-Paraffin: ZBP1/DLM-1/DAI Antibody (2C10) [H00081030-M01]

Immunohistochemistry-Paraffin: ZBP1/DLM-1/DAI Antibody (2C10) [H00081030-M01] - Analysis of monoclonal antibody to ZBP1 on formalin-fixed paraffin-embedded human testis. Antibody concentration 3 ug/ml.

Applications for ZBP1/DLM-1/DAI Antibody (2C10) - Azide and BSA Free

Application
Recommended Usage

ELISA

Optimal dilutions of this antibody should be experimentally determined.

Immunocytochemistry/ Immunofluorescence

Optimal dilutions of this antibody should be experimentally determined.

Immunohistochemistry

Optimal dilutions of this antibody should be experimentally determined.

Immunohistochemistry-Paraffin

Optimal dilutions of this antibody should be experimentally determined.

Western Blot

Optimal dilutions of this antibody should be experimentally determined.
Application Notes
This antibody is reactive against recombinant protein in western blot and ELISA.

Formulation, Preparation, and Storage

Purification

Protein A purified

Formulation

In 1x PBS, pH 7.4

Format

Azide and BSA Free

Preservative

No Preservative

Concentration

Concentrations vary lot to lot. See vial label for concentration. If unlisted please contact technical services.

Shipping

The product is shipped with polar packs. Upon receipt, store it immediately at the temperature recommended below.

Stability & Storage

Aliquot and store at -20C or -80C. Avoid freeze-thaw cycles.

Background: ZBP1/DLM-1/DAI

DLM1 encodes a Z-DNA binding protein. Z-DNA formation is a dynamic process, largely controlled by the amount of supercoiling.[supplied by OMIM]

Long Name

Zipcode-binding Protein 1

Alternate Names

DAI, DLM-1

Entrez Gene IDs

81030 (Human)

Gene Symbol

ZBP1

Additional ZBP1/DLM-1/DAI Products

Product Documents for ZBP1/DLM-1/DAI Antibody (2C10) - Azide and BSA Free

Certificate of Analysis

To download a Certificate of Analysis, please enter a lot number in the search box below.

Product Specific Notices for ZBP1/DLM-1/DAI Antibody (2C10) - Azide and BSA Free

This product is produced by and distributed for Abnova, a company based in Taiwan.

This product is for research use only and is not approved for use in humans or in clinical diagnosis. Primary Antibodies are guaranteed for 1 year from date of receipt.

Loading...
Loading...
Loading...
Loading...