Skip to main content

ZAP70 Antibody (rZAP70/2046) - Azide and BSA Free

Novus Biologicals, part of Bio-Techne | Catalog # NBP3-49536

Recombinant Monoclonal Antibody
Novus Biologicals, part of Bio-Techne
Catalog #
Availability
Size / Price
Qty
Loading...
NBP3-49536

Key Product Details

Species Reactivity

Human

Applications

Immunohistochemistry, ELISA

Label

Unconjugated

Antibody Source

Recombinant Monoclonal Mouse IgG1 kappa Clone # rZAP70/2046

Format

Azide and BSA Free

Concentration

Please see the vial label for concentration. If unlisted please contact technical services.

Product Specifications

Immunogen

Recombinant fragment (around aa 247-382) ofhuman ZAP70 protein (exact sequence is proprietary) (Uniprot: P43403)

Localization

Cell membrane, Cytoplasm

Clonality

Monoclonal

Host

Mouse

Isotype

IgG1 kappa

Theoretical MW

70 kDa.
Disclaimer note: The observed molecular weight of the protein may vary from the listed predicted molecular weight due to post translational modifications, post translation cleavages, relative charges, and other experimental factors.

Description

Prepared in 10mM PBS WITHOUT BSA & azide at 1.0mg/ml. Also available with 0.05% BSA & 0.05% azide.

Antibody with azide - store at 2 to 8 C. Antibody without azide - store at -20 to -80 C. Antibody is stable for 24 months. Non-hazardous.

Scientific Data Images for ZAP70 Antibody (rZAP70/2046) - Azide and BSA Free

ZAP70 Antibody (rZAP70/2046) - Azide and BSA Free

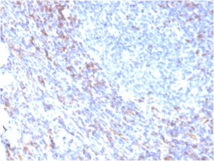
Immunohistochemistry-Paraffin: ZAP70 Antibody (rZAP70/2046) - Azide and BSA Free [NBP3-49536] -

Formalin-fixed, paraffin-embedded human tonsil stained with ZAP70 Antibody (rZAP70/2046) - Azide and BSA Free.
ZAP70 Antibody (rZAP70/2046) - Azide and BSA Free

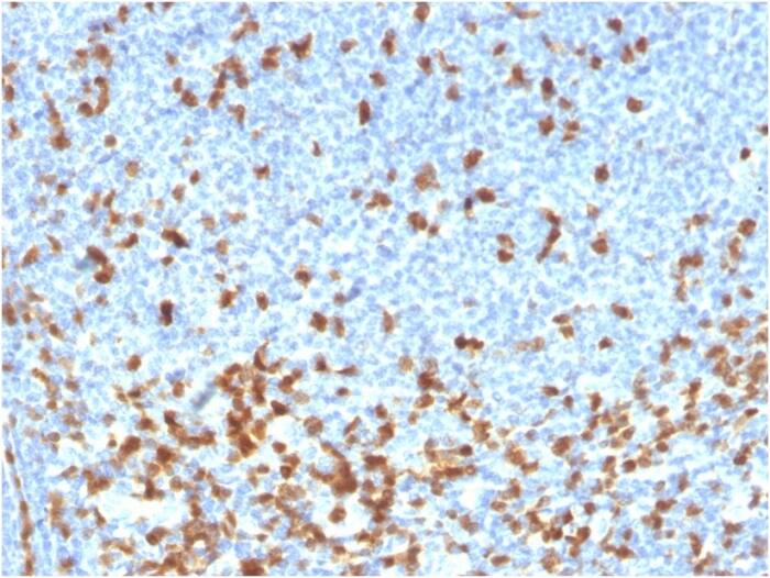
Immunohistochemistry-Paraffin: ZAP70 Antibody (rZAP70/2046) - Azide and BSA Free [NBP3-49536] -

Formalin-fixed, paraffin-embedded human lymphoma stained with ZAP70 Antibody (rZAP70/2046) - Azide and BSA Free.

Applications for ZAP70 Antibody (rZAP70/2046) - Azide and BSA Free

Application
Recommended Usage

ELISA

Optimal dilutions of this antibody should be experimentally determined.

Immunohistochemistry

Optimal dilutions of this antibody should be experimentally determined.

Formulation, Preparation, and Storage

Purification

Protein A or G purified

Formulation

10 mM PBS

Format

Azide and BSA Free

Preservative

No Preservative

Concentration

Please see the vial label for concentration. If unlisted please contact technical services.

Shipping

The product is shipped with polar packs. Upon receipt, store it immediately at the temperature recommended below.

Stability & Storage

Store at -20 to -80C. Avoid freeze-thaw cycles.

Background: ZAP70

Zap-70, a Syk-family protein tyrosine kinase, plays a critical role in mediating T cell signal transduction in response to T cell receptor (TCR) activation (1). TCR-mediated activation of the Src-family kinases, Lck and Fyn, results in tyrosine phosphorylation of the TCR zeta and CD3 chains. These domains serve as targets for binding of ZAP-70 via its tandem SH2 domains. This binding correlates with activation of ZAP-70, a critical event in T cell activation (2). Following TCR engagement, ZAP-70 is phosphorylated on several tyrosine residues, presumably by two mechanisms: an autophosphorylation and a trans-phosphorylation by the Src-family tyrosine kinase, Lck. Phosphorylation of Tyr319 is required for full activation and increased positive downstream regulation by ZAP-70 (3).

Long Name

Zeta-chain [TCR] Associated Protein Kinase 70 kDa

Alternate Names

mrtle, mur, SRK, STD, TZK

Gene Symbol

ZAP70

Additional ZAP70 Products

Product Documents for ZAP70 Antibody (rZAP70/2046) - Azide and BSA Free

Certificate of Analysis

To download a Certificate of Analysis, please enter a lot number in the search box below.

Product Specific Notices for ZAP70 Antibody (rZAP70/2046) - Azide and BSA Free

This product is for research use only and is not approved for use in humans or in clinical diagnosis. Primary Antibodies are guaranteed for 1 year from date of receipt.

Loading...
Loading...
Loading...
Loading...