Skip to main content

XPF Antibody (OTI4E11) - Azide and BSA Free

Novus Biologicals, part of Bio-Techne | Catalog # NBP2-74883

Novus Biologicals, part of Bio-Techne
Catalog #
Availability
Size / Price
Qty
Loading...
NBP2-74883

Key Product Details

Species Reactivity

Human, Mouse

Applications

Immunohistochemistry, Immunohistochemistry-Paraffin, Western Blot, Flow Cytometry, Immunocytochemistry/ Immunofluorescence, CyTOF-ready

Label

Unconjugated

Antibody Source

Monoclonal Mouse IgG2A Clone # OTI4E11

Format

Azide and BSA Free

Concentration

LYOPH mg/ml

Product Specifications

Immunogen

Full length human recombinant protein of human ERCC4(NP_005227) produced in HEK293 cell.

Reactivity Notes

Please note that this antibody is reactive to Mouse and derived from the same host, Mouse. Mouse-On-Mouse blocking reagent may be needed for IHC and ICC experiments to reduce high background signal. You can find these reagents under catalog numbers PK-2200-NB and MP-2400-NB. Please contact Technical Support if you have any questions.

Clonality

Monoclonal

Host

Mouse

Isotype

IgG2A

Theoretical MW

104.3 kDa.
Disclaimer note: The observed molecular weight of the protein may vary from the listed predicted molecular weight due to post translational modifications, post translation cleavages, relative charges, and other experimental factors.

Description

Novus Biologicals Mouse XPF Antibody (OTI4E11) - Azide and BSA Free (NBP2-01020) is a monoclonal antibody validated for use in IHC, WB, Flow and ICC/IF. All Novus Biologicals antibodies are covered by our 100% guarantee.

Scientific Data Images for XPF Antibody (OTI4E11) - Azide and BSA Free

Western Blot: XPF Antibody (OTI4E11)Azide and BSA Free [NBP2-74883]

Western Blot: XPF Antibody (OTI4E11)Azide and BSA Free [NBP2-74883]

Western Blot: XPF Antibody (OTI4E11) - Azide and BSA Free [NBP2-74883] - HEK293T cells were transfected with the pCMV6-ENTRY control (Left lane) or pCMV6-ENTRY XPF (Right lane) cDNA for 48 hrs and lysed. Equivalent amounts of cell lysates (5 ug per lane) were separated by SDS-PAGE and immunoblotted with anti-XPF.
Immunocytochemistry/ Immunofluorescence: XPF Antibody (OTI4E11) - Azide and BSA Free [NBP2-74883]

Immunocytochemistry/ Immunofluorescence: XPF Antibody (OTI4E11) - Azide and BSA Free [NBP2-74883]

Immunocytochemistry/Immunofluorescence: XPF Antibody (OTI4E11) - Azide and BSA Free [NBP2-74883] - Staining of COS7 cells transiently transfected by pCMV6-ENTRY XPF.
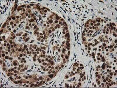
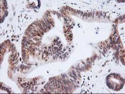
Immunohistochemistry: XPF Antibody (OTI4E11) - Azide and BSA Free [NBP2-74883]

Immunohistochemistry: XPF Antibody (OTI4E11) - Azide and BSA Free [NBP2-74883]

Immunohistochemistry: XPF Antibody (OTI4E11) - Azide and BSA Free [NBP2-74883] - Staining of paraffin-embedded Human prostate tissue using anti-XPF mouse monoclonal antibody.

Applications for XPF Antibody (OTI4E11) - Azide and BSA Free

Application
Recommended Usage

Flow Cytometry

1:100

Immunocytochemistry/ Immunofluorescence

1:100

Immunohistochemistry

1:150

Western Blot

1:500-2000

Formulation, Preparation, and Storage

Purification

Immunogen affinity purified

Reconstitution

we recommend adding 100uL distilled water to a final antibody concentration of about 1 mg/mL. To use this carrier-free antibody for conjugation experiment, we strongly recommend performing another round of desalting process.

Formulation

Lyophilized from PBS (pH 7.3) with 8% Trehalose

Format

Azide and BSA Free

Preservative

No Preservative

Concentration

LYOPH mg/ml

Shipping

The product is shipped with polar packs. Upon receipt, store it immediately at the temperature recommended below.

Stability & Storage

Store at -20C. Avoid freeze-thaw cycles.

Background: XPF

XPF/ERCC4 is suggested to play a role in the repair of DNA double-strand breaks (DSB), homologous recombination, and gene conversion via single-strand annealing (SSA). XPF/ERCC4 is an endonuclease that incises 5-prime DNA. Defects in XPF/ERCC4 cause xeroderma pigmentosum VI (XP6) an autosomal recessive disease characterized by hypersensitivity to sunlight and a predisposition to skin cancer as well as neurological abnormalities. Defects in XPF/ERCC4 are also responsible for XFE progeroid syndrome, a syndrome characterized by dwarfism, cachexia, and microcephaly.

Long Name

Xeroderma Pigmentosum F

Alternate Names

ERCC4

Gene Symbol

ERCC4

Additional XPF Products

Product Documents for XPF Antibody (OTI4E11) - Azide and BSA Free

Certificate of Analysis

To download a Certificate of Analysis, please enter a lot number in the search box below.

Product Specific Notices for XPF Antibody (OTI4E11) - Azide and BSA Free

This product is for research use only and is not approved for use in humans or in clinical diagnosis. Primary Antibodies are guaranteed for 1 year from date of receipt.

Loading...
Loading...
Loading...
Loading...
Loading...
Loading...