Skip to main content

XPF Antibody (OTI4E11)

Novus Biologicals, part of Bio-Techne | Catalog # NBP2-01020

Novus Biologicals, part of Bio-Techne
Catalog #
Availability
Size / Price
Qty
Loading...
NBP2-01020

Key Product Details

Species Reactivity

Human, Mouse

Applications

Immunohistochemistry, Immunohistochemistry-Paraffin, Western Blot, Flow Cytometry, Immunocytochemistry/ Immunofluorescence

Label

Unconjugated

Antibody Source

Monoclonal Mouse IgG2A Clone # OTI4E11

Concentration

0.84 mg/ml

Product Specifications

Immunogen

Full length human recombinant protein of human ERCC4(NP_005227) produced in HEK293 cell.

Reactivity Notes

Please note that this antibody is reactive to Mouse and derived from the same host, Mouse. Mouse-On-Mouse blocking reagent may be needed for IHC and ICC experiments to reduce high background signal. You can find these reagents under catalog numbers PK-2200-NB and MP-2400-NB. Please contact Technical Support if you have any questions.

Clonality

Monoclonal

Host

Mouse

Isotype

IgG2A

Theoretical MW

104.3 kDa.
Disclaimer note: The observed molecular weight of the protein may vary from the listed predicted molecular weight due to post translational modifications, post translation cleavages, relative charges, and other experimental factors.

Description

Novus Biologicals Mouse XPF Antibody (OTI4E11) (NBP2-01020) is a monoclonal antibody validated for use in IHC, WB, Flow and ICC/IF. All Novus Biologicals antibodies are covered by our 100% guarantee.

Scientific Data Images for XPF Antibody (OTI4E11)

Western Blot: XPF Antibody (4E11) [NBP2-01020] Analysis of extracts (35ug) from 9 different cell lines by using anti-XPF monoclonal antibody.
Immunocytochemistry/ Immunofluorescence: XPF Antibody (OTI4E11) [NBP2-01020]

Immunocytochemistry/ Immunofluorescence: XPF Antibody (OTI4E11) [NBP2-01020]

Immunocytochemistry/Immunofluorescence: XPF Antibody (4E11) [NBP2-01020] - Staining of COS7 cells transiently transfected by pCMV6-ENTRY XPF.
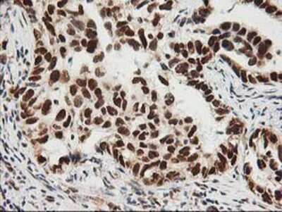
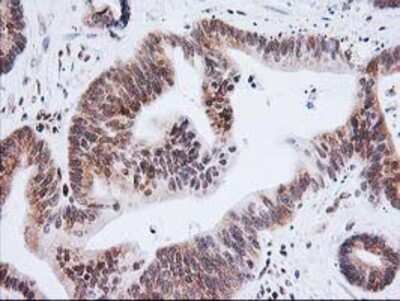
Immunohistochemistry-Paraffin: XPF Antibody (OTI4E11) [NBP2-01020]

Immunohistochemistry-Paraffin: XPF Antibody (OTI4E11) [NBP2-01020]

Immunohistochemistry-Paraffin: XPF Antibody (4E11) [NBP2-01020] - Staining of paraffin-embedded Human tonsil using anti-XPF mouse monoclonal antibody.

Applications for XPF Antibody (OTI4E11)

Application
Recommended Usage

Flow Cytometry

1:100

Immunocytochemistry/ Immunofluorescence

1:100

Immunohistochemistry

1:150

Immunohistochemistry-Paraffin

1:150

Western Blot

1:500-2000

Formulation, Preparation, and Storage

Purification

Immunogen affinity purified

Formulation

PBS (pH 7.3), 1.0% BSA and 50% Glycerol

Preservative

0.02% Sodium Azide

Concentration

0.84 mg/ml

Shipping

The product is shipped with polar packs. Upon receipt, store it immediately at the temperature recommended below.

Stability & Storage

Store at -20C. Avoid freeze-thaw cycles.

Background: XPF

The protein encoded by this gene forms a complex with ERCC1 and is involved in the 5' incision made during nucleotide excision repair. This complex is a structure specific DNA repair endonuclease that interacts with EME1. Defects in this gene are a cause of xeroderma pigmentosum complementation group F (XP-F), or xeroderma pigmentosum VI (XP6).

Long Name

Xeroderma Pigmentosum F

Alternate Names

ERCC4

Entrez Gene IDs

2072 (Human)

Gene Symbol

ERCC4

Additional XPF Products

Product Documents for XPF Antibody (OTI4E11)

Certificate of Analysis

To download a Certificate of Analysis, please enter a lot number in the search box below.

Product Specific Notices for XPF Antibody (OTI4E11)

This product is for research use only and is not approved for use in humans or in clinical diagnosis. Primary Antibodies are guaranteed for 1 year from date of receipt.

Loading...
Loading...
Loading...
Loading...
Loading...