Skip to main content

Xanthine Oxidase Antibody (JG38-40)

Novus Biologicals, part of Bio-Techne | Catalog # NBP2-75717

Recombinant Monoclonal Antibody.
Novus Biologicals, part of Bio-Techne
Catalog #
Availability
Size / Price
Qty
Loading...
NBP2-75717

Key Product Details

Species Reactivity

Human, Mouse, Rat

Applications

Immunohistochemistry, Immunohistochemistry-Paraffin, Western Blot

Label

Unconjugated

Antibody Source

Recombinant Monoclonal Rabbit IgG Clone # JG38-40 expressed in HEK293

Concentration

1 mg/ml

Product Specifications

Immunogen

Recombinant protein within Human Xanthine Oxidase aa 182-313 / 1333. (SwissProt: P47989 Human; SwissProt: Q00519 Mouse; SwissProt: P22985 Rat)

Localization

Cytoplasm. Peroxisome. Secreted.

Clonality

Monoclonal

Host

Rabbit

Isotype

IgG

Theoretical MW

146 kDa.
Disclaimer note: The observed molecular weight of the protein may vary from the listed predicted molecular weight due to post translational modifications, post translation cleavages, relative charges, and other experimental factors.

Description

Novus Biologicals Rabbit Xanthine Oxidase Antibody (JG38-40) (NBP2-75717) is a recombinant monoclonal antibody validated for use in IHC and WB. All Novus Biologicals antibodies are covered by our 100% guarantee.

Scientific Data Images for Xanthine Oxidase Antibody (JG38-40)

Western Blot: Xanthine Oxidase Antibody (JG38-40) [NBP2-75717]

Western Blot: Xanthine Oxidase Antibody (JG38-40) [NBP2-75717]

Western Blot: Xanthine Oxidase Antibody (JG38-40) [NBP2-75717] - Analysis of Xanthine Oxidase on human kidney tissue lysate using anti-Xanthine Oxidase antibody at 1/1,000 dilution.
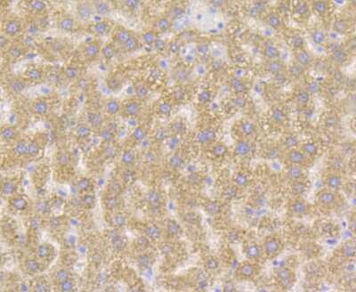
Immunohistochemistry-Paraffin: Xanthine Oxidase Antibody (JG38-40) [NBP2-75717]

Immunohistochemistry-Paraffin: Xanthine Oxidase Antibody (JG38-40) [NBP2-75717]

Immunohistochemistry-Paraffin: Xanthine Oxidase Antibody (JG38-40) [NBP2-75717] - Analysis of paraffin-embedded rat liver tissue using anti-Xanthine Oxidase antibody. Counter stained with hematoxylin.
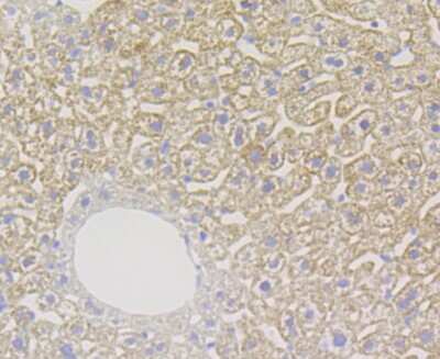
Immunohistochemistry-Paraffin: Xanthine Oxidase Antibody (JG38-40) [NBP2-75717]

Immunohistochemistry-Paraffin: Xanthine Oxidase Antibody (JG38-40) [NBP2-75717]

Immunohistochemistry-Paraffin: Xanthine Oxidase Antibody (JG38-40) [NBP2-75717] - Analysis of paraffin-embedded human liver tissue using anti-Xanthine Oxidase antibody. Counter stained with hematoxylin.

Applications for Xanthine Oxidase Antibody (JG38-40)

Application
Recommended Usage

Immunohistochemistry-Paraffin

1:50-1:200

Western Blot

1:500-1:2000

Formulation, Preparation, and Storage

Purification

Protein A purified

Formulation

TBS (pH7.4), 0.05% BSA, 40% Glycerol

Preservative

0.05% Sodium Azide

Concentration

1 mg/ml

Shipping

The product is shipped with polar packs. Upon receipt, store it immediately at the temperature recommended below.

Stability & Storage

Store at 4C short term. Aliquot and store at -20C long term. Avoid freeze-thaw cycles.

Background: Xanthine Oxidase

Xanthine dehydrogenase belongs to the group of molybdenum-containing hydroxylases involved in the oxidative metabolism of purines. The enzyme is a homodimer. Xanthine dehydrogenase can be converted to xanthine oxidase by reversible sulfhydryl oxidation or by irreversible proteolytic modification. Defects in xanthine dehydrogenase cause xanthinuria, may contribute to adult respiratory stress syndrome, and may potentiate influenza infection through an oxygen metabolite-dependent mechanism. (provided by RefSeq)

Long Name

Xanthine dehydrogenase/oxidase [Includes: Xanthine dehydrogenase

Alternate Names

EC 1.17.3.2, XD, XDH, XDHA, XOR)

Gene Symbol

XDH

Additional Xanthine Oxidase Products

Product Documents for Xanthine Oxidase Antibody (JG38-40)

Certificate of Analysis

To download a Certificate of Analysis, please enter a lot number in the search box below.

Product Specific Notices for Xanthine Oxidase Antibody (JG38-40)

This product is for research use only and is not approved for use in humans or in clinical diagnosis. Primary Antibodies are guaranteed for 1 year from date of receipt.

Loading...
Loading...
Loading...
Loading...