Skip to main content

WIZ Antibody - BSA Free

Novus Biologicals, part of Bio-Techne | Catalog # NBP1-76515

Novus Biologicals, part of Bio-Techne

Key Product Details

Species Reactivity

Human, Mouse, Rat

Applications

Immunohistochemistry, Immunohistochemistry-Paraffin, Western Blot, ELISA, Immunocytochemistry/ Immunofluorescence

Label

Unconjugated

Antibody Source

Polyclonal Rabbit IgG

Format

BSA Free

Concentration

1 mg/ml

Product Specifications

Immunogen

Antibody was raised against a 17 amino acid synthetic peptide near the carboxy terminus of human TFF3. The immunogen is located within the last 50 amino acids of WIZ. Amino Acid Squence: NFSKADPPPEESQAPQA

Specificity

At least four isoforms of WIZ are known to exist; this antibody will detect all four.

Clonality

Polyclonal

Host

Rabbit

Isotype

IgG

Description

Novus Biologicals Rabbit WIZ Antibody - BSA Free (NBP1-76515) is a polyclonal antibody validated for use in IHC, WB, ELISA and ICC/IF. All Novus Biologicals antibodies are covered by our 100% guarantee.

Scientific Data Images for WIZ Antibody - BSA Free

Western Blot: WIZ AntibodyBSA Free [NBP1-76515]

Western Blot: WIZ AntibodyBSA Free [NBP1-76515]

Western Blot: WIZ Antibody [NBP1-76515] - Analysis of rat lung tissue lysate with WIZ antibody at 1 ug/mL.
WIZ Antibody - BSA Free

Immunocytochemistry/ Immunofluorescence: WIZ Antibody - BSA Free [NBP1-76515] -

Immunocytochemistry/ Immunofluorescence: WIZ Antibody - BSA Free [NBP1-76515] - Immunofluorescence of WIZ in human brain tissue with WIZ antibody at 20 ug/mL.
WIZ Antibody - BSA Free

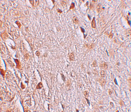
Immunohistochemistry: WIZ Antibody - BSA Free [NBP1-76515] -

Immunohistochemistry: WIZ Antibody - BSA Free [NBP1-76515] - Immunohistochemistry of WIZ in human brain tissue with WIZ antibody at 2.5 ug/mL.

Applications for WIZ Antibody - BSA Free

Application
Recommended Usage

ELISA

1:100-1:2000

Immunocytochemistry/ Immunofluorescence

20 ug/mL

Immunohistochemistry

2.5 ug/mL

Immunohistochemistry-Paraffin

2.5 ug/mL

Western Blot

1 ug/ml

Formulation, Preparation, and Storage

Purification

Peptide affinity purified

Formulation

PBS

Format

BSA Free

Preservative

0.02% Sodium Azide

Concentration

1 mg/ml

Shipping

The product is shipped with polar packs. Upon receipt, store it immediately at the temperature recommended below.

Stability & Storage

Store at 4C short term. Aliquot and store at -20C long term. Avoid freeze-thaw cycles.

Background: WIZ

WIZ, also known as ZNF803, was initially identified in a mouse cerebellum cDNA library screen and its message was found to be expressed in the granule cell layers of the cerebellum as well as in the dentate gyrus and olfactory bulb. Later analysis indicates however that WIZ is ubiquitously expressed. WIZ is a nuclear protein that co-localizes with G9a, a histone methyltransferase responsible for mono- and dimethylation of H3K9 at euchromatic regions. WIZ can also associate with CtBP family proteins, known to be transcriptional co-repressors, and has been suggested to link G9a/GLP complexes to the CtBP co-repressor machinery, possibly regulating complex stability and gene silencing.

Long Name

WIZ zinc finger

Alternate Names

ZNF803

Gene Symbol

WIZ

Additional WIZ Products

Product Documents for WIZ Antibody - BSA Free

Certificate of Analysis

To download a Certificate of Analysis, please enter a lot number in the search box below.

Product Specific Notices for WIZ Antibody - BSA Free

This product is for research use only and is not approved for use in humans or in clinical diagnosis. Primary Antibodies are guaranteed for 1 year from date of receipt.

Loading...
Loading...
Loading...
Loading...