Skip to main content

WDR68 Antibody - BSA Free

Novus Biologicals, part of Bio-Techne | Catalog # NBP1-92590

Novus Biologicals, part of Bio-Techne
Catalog #
Availability
Size / Price
Qty
Loading...
NBP1-92590-25ul
NBP1-92590

Key Product Details

Validated by

Independent Antibodies

Species Reactivity

Validated:

Human

Predicted:

Mouse (100%), Rat (100%). Backed by our 100% Guarantee.

Applications

Immunohistochemistry, Immunohistochemistry-Paraffin, Western Blot

Label

Unconjugated

Antibody Source

Polyclonal Rabbit IgG

Format

BSA Free

Concentration

Concentrations vary lot to lot. See vial label for concentration. If unlisted please contact technical services.

Product Specifications

Immunogen

This antibody was developed against Recombinant Protein corresponding to amino acids: YPDLLATSGDYLRVWRVGETETRLECLLNNNKNSDFCAPLTSFDWNEVDPYLLGTSSIDTTCTIWGLETGQVLGRVNLVSGHVKTQ

Clonality

Polyclonal

Host

Rabbit

Isotype

IgG

Theoretical MW

39 kDa.
Disclaimer note: The observed molecular weight of the protein may vary from the listed predicted molecular weight due to post translational modifications, post translation cleavages, relative charges, and other experimental factors.

Description

Novus Biologicals Rabbit WDR68 Antibody - BSA Free (NBP1-92590) is a polyclonal antibody validated for use in IHC and WB. Anti-WDR68 Antibody: Cited in 1 publication. All Novus Biologicals antibodies are covered by our 100% guarantee.

Scientific Data Images for WDR68 Antibody - BSA Free

Western Blot: WDR68 Antibody [NBP1-92590]

Western Blot: WDR68 Antibody [NBP1-92590]

Western Blot: WDR68 Antibody [NBP1-92590] - Analysis in control (vector only transfected HEK293T lysate) and DCAF7 over-expression lysate (Co-expressed with a C-terminal myc-DDK tag (3.1 kDa) in mammalian HEK293T cells).
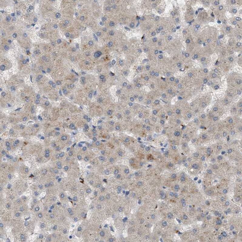
Immunohistochemistry-Paraffin: WDR68 Antibody [NBP1-92590]

Immunohistochemistry-Paraffin: WDR68 Antibody [NBP1-92590]

Immunohistochemistry-Paraffin: WDR68 Antibody [NBP1-92590] - Staining of human liver.
Immunohistochemistry-Paraffin: WDR68 Antibody [NBP1-92590]

Immunohistochemistry-Paraffin: WDR68 Antibody [NBP1-92590]

Immunohistochemistry-Paraffin: WDR68 Antibody [NBP1-92590] - Staining of human kidney shows moderate cytoplasmic positivity in cells in tubules.

Applications for WDR68 Antibody - BSA Free

Application
Recommended Usage

Immunohistochemistry

1:20 - 1:50

Immunohistochemistry-Paraffin

1:20 - 1:50

Western Blot

0.04-0.4 ug/ml
Application Notes
For IHC-Paraffin, HIER pH 6 retrieval is recommended.

Formulation, Preparation, and Storage

Purification

Immunogen affinity purified

Formulation

PBS (pH 7.2) and 40% Glycerol

Format

BSA Free

Preservative

0.02% Sodium Azide

Concentration

Concentrations vary lot to lot. See vial label for concentration. If unlisted please contact technical services.

Shipping

The product is shipped with polar packs. Upon receipt, store it immediately at the temperature recommended below.

Stability & Storage

Store at 4C short term. Aliquot and store at -20C long term. Avoid freeze-thaw cycles.

Background: WDR68

WDR68 is involved in craniofacial development. Acts upstream of the EDN1 pathway and is required for formation of theupper jaw equivalent, the palatoquadrate. The activity required for EDN1 pathway function differs between the firstand second arches . Associates w

Alternate Names

DDB1 and CUL4 associated factor 7, DDB1- and CUL4-associated factor 7, HAN11AN11, human anthocyanin, seven-WD-repeat protein of the AN11 family-1, SWAN-1, WD repeat domain 68, WD repeat-containing protein 68, WD repeat-containing protein An11 homolog, WDR68, WD-repeat protein

Entrez Gene IDs

10238 (Human)

Gene Symbol

DCAF7

UniProt

Additional WDR68 Products

Product Documents for WDR68 Antibody - BSA Free

Certificate of Analysis

To download a Certificate of Analysis, please enter a lot number in the search box below.

Product Specific Notices for WDR68 Antibody - BSA Free

This product is for research use only and is not approved for use in humans or in clinical diagnosis. Primary Antibodies are guaranteed for 1 year from date of receipt.

Loading...
Loading...
Loading...
Loading...