VEGFR1/Flt-1 Antibody (CL0345) - Azide and BSA Free
Novus Biologicals, part of Bio-Techne | Catalog # NBP3-43978
Conjugate
Catalog #
Forumulation
Catalog #
Key Product Details
Validated by
Orthogonal Validation
Species Reactivity
Human
Applications
Immunohistochemistry-Paraffin, Western Blot
Label
Unconjugated
Antibody Source
Monoclonal Mouse IgG2B Clone # CL0345
Format
Azide and BSA Free
Concentration
LYOPH mg/ml
Product Specifications
Immunogen
This antibody was generated using a recombinant protein sequence of P17948, with the exact immunogen sequence remaining proprietary.
Clonality
Monoclonal
Host
Mouse
Isotype
IgG2B
Description
Novus Biologicals Mouse VEGFR1/Flt-1 Antibody (CL0345) - Azide and BSA Free (NBP2-30982) is a monoclonal antibody validated for use in IHC and WB. All Novus Biologicals antibodies are covered by our 100% guarantee.
Scientific Data Images for VEGFR1/Flt-1 Antibody (CL0345) - Azide and BSA Free
Western Blot: VEGFR1/Flt-1 Antibody [NBP3-43978]
Lane 1: Marker [kDa]Lane 2: Human cell line RT-4
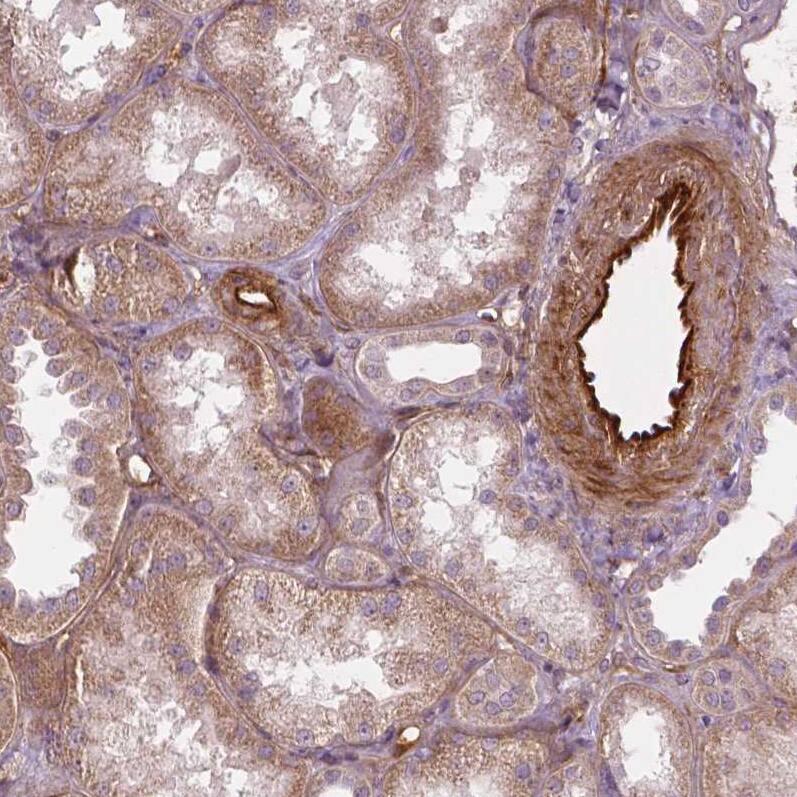
Immunohistochemistry-Paraffin: VEGFR1/Flt-1 Antibody [NBP3-43978]
Staining of human kidney shows strong cytoplasmic positivity in endothelial cells.Applications for VEGFR1/Flt-1 Antibody (CL0345) - Azide and BSA Free
Application
Recommended Usage
Immunohistochemistry-Paraffin
1:200 - 1:500
Western Blot
1 ug/ml
Application Notes
For IHC-Paraffin, HIER pH 6 retrieval is recommended.
Formulation, Preparation, and Storage
Purification
Protein A purified
Reconstitution
Centrifuge the vial of lyophilized antibody at 12,000 x g for 20 seconds. Reconstitute by adding sterile, distilled water to achieve a final antibody concentration of 1mg/ml.
Formulation
Lyophilized from a 0.2 um filtered solution in PBS with Trehalose
Format
Azide and BSA Free
Preservative
No Preservative
Concentration
LYOPH mg/ml
Shipping
The product is shipped at ambient temperature. Upon receipt, store it immediately at the temperature recommended below.
Stability & Storage
Store at 4C short term. Aliquot and store at -20C long term. Avoid freeze-thaw cycles.
Background: VEGFR1/Flt-1
Long Name
Vascular Endothelial Growth Factor Receptor 1
Alternate Names
Flt-1, FLT1, FRT, VEGF R1, VEGFR-1
Gene Symbol
FLT1
Additional VEGFR1/Flt-1 Products
Product Documents for VEGFR1/Flt-1 Antibody (CL0345) - Azide and BSA Free
Product Specific Notices for VEGFR1/Flt-1 Antibody (CL0345) - Azide and BSA Free
This product is for research use only and is not approved for use in humans or in clinical diagnosis. Primary Antibodies are guaranteed for 1 year from date of receipt.
Loading...
Loading...
Loading...
Loading...
Loading...