Skip to main content

VASP [p Ser239] Antibody - BSA Free

Novus Biologicals, part of Bio-Techne | Catalog # NBP3-16890

Novus Biologicals, part of Bio-Techne
Catalog #
Availability
Size / Price
Qty
Loading...
NBP3-16890-100ul
NBP3-16890-20ul

Key Product Details

Validated by

Biological Validation

Species Reactivity

Human, Mouse, Rat

Applications

Immunohistochemistry, Immunohistochemistry-Paraffin, Western Blot

Label

Unconjugated

Antibody Source

Polyclonal Rabbit IgG

Format

BSA Free

Concentration

Please see the vial label for concentration. If unlisted please contact technical services.

Product Specifications

Immunogen

A synthetic phosphorylated peptide around S239 of human VASP (NP_003361.1). KVSKQ

Modification

p Ser 239

Clonality

Polyclonal

Host

Rabbit

Isotype

IgG

Description

Novus Biologicals Rabbit VASP [p Ser239] Antibody - BSA Free (NBP3-16890) is a polyclonal antibody validated for use in IHC and WB. All Novus Biologicals antibodies are covered by our 100% guarantee.

Scientific Data Images for VASP [p Ser239] Antibody - BSA Free

Western Blot: VASP [p Ser239] AntibodyAzide and BSA Free [NBP3-16890]

Western Blot: VASP [p Ser239] AntibodyAzide and BSA Free [NBP3-16890]

Western Blot: VASP [p Ser239] Antibody [NBP3-16890] - Western blot analysis of extracts of C6 cells, using VASP antibody (NBP3-16890) at 1:1000 dilution.C6 cells were treated by Forskolin (10 uM) at 37C for 1 hour after serum-starvation overnight. Secondary antibody: HRP Goat Anti-Rabbit IgG (H+L) at 1:10000 dilution. Lysates/proteins: 25ug per lane. Blocking buffer: 3% nonfat dry milk in TBST. Detection: ECL Basic Kit. Exposure time: 90s.
VASP [p Ser239] Antibody - Azide and BSA Free

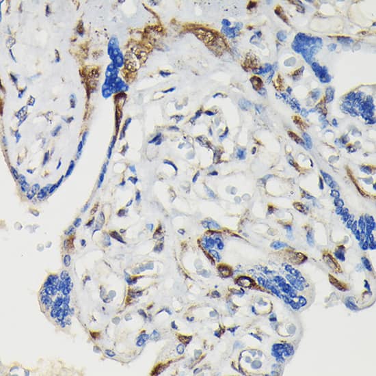
Immunohistochemistry: VASP [p Ser239] Antibody - Azide and BSA Free [NBP3-16890] -

Immunohistochemistry: VASP [p Ser239] Antibody - Azide and BSA Free [NBP3-16890] - Immunohistochemistry analysis of paraffin-embedded Human placenta using VASP Rabbit pAb at dilution of 1:100 (40x lens). High pressure antigen retrieval performed with 0.01M Citrate Bufferr (pH 6.0) prior to IHC staining.
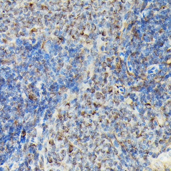
VASP [p Ser239] Antibody - Azide and BSA Free

Immunohistochemistry: VASP [p Ser239] Antibody - Azide and BSA Free [NBP3-16890] -

Immunohistochemistry: VASP [p Ser239] Antibody - Azide and BSA Free [NBP3-16890] - Immunohistochemistry analysis of paraffin-embedded Rat spleen using VASP Rabbit pAb at dilution of 1:100 (40x lens). High pressure antigen retrieval performed with 0.01M Citrate Bufferr (pH 6.0) prior to IHC staining.

Applications for VASP [p Ser239] Antibody - BSA Free

Application
Recommended Usage

Immunohistochemistry

1:50 - 1:200

Western Blot

1:500 - 1:1000

Formulation, Preparation, and Storage

Purification

Affinity purified

Formulation

PBS (pH 7.3), 50% glycerol

Format

BSA Free

Preservative

0.09% Sodium Azide

Concentration

Please see the vial label for concentration. If unlisted please contact technical services.

Shipping

The product is shipped with polar packs. Upon receipt, store it immediately at the temperature recommended below.

Stability & Storage

Store at -20C. Avoid freeze-thaw cycles.

Background: VASP

Vasodilator-stimulated phosphoprotein (VASP) is a member of the Ena-VASP protein family. VASP is associated with filamentous actin formation and likely plays a widespread role in cell adhesion and motility. VASP may also be involved in the intracellular signaling pathways that regulate integrin-extracellular matrix interactions. VASP is regulated by the cyclic nucleotide-dependent kinases PKA and PKG. VASP shares a limited degree of homology with the amino terminus of WASP, which is frequently mutated in Wiskott-Aldrich syndrome (WAS) patients. An established substrate of cAMP and cGMP dependent kinases, VASP is phosphorylated on a regulatory serine residue 157 and localizes to focal adhesions, microfilaments and highly active regions of the plasma membrane. VASP is highly expressed in human platelets and, like WASP, may play a role in cytoskeletal organization.

Long Name

Vasodilator-stimulated Phosphoprotein

Alternate Names

vasodilator-stimulated phosphoprotein

Gene Symbol

VASP

Additional VASP Products

Product Documents for VASP [p Ser239] Antibody - BSA Free

Certificate of Analysis

To download a Certificate of Analysis, please enter a lot number in the search box below.

Product Specific Notices for VASP [p Ser239] Antibody - BSA Free

This product is for research use only and is not approved for use in humans or in clinical diagnosis. Primary Antibodies are guaranteed for 1 year from date of receipt.

Loading...
Loading...
Loading...
Loading...

⚠ WARNING: This product can expose you to chemicals including Methotrexate, which is known to the State of California to cause reproductive toxicity with developmental effects. For more information, go to www.P65Warnings.ca.gov