Skip to main content

VASP Antibody - BSA Free

Novus Biologicals, part of Bio-Techne | Catalog # NBP1-85792

Novus Biologicals, part of Bio-Techne
Catalog #
Availability
Size / Price
Qty
Loading...
NBP1-85792
NBP1-85792-25ul

Key Product Details

Validated by

Orthogonal Validation

Species Reactivity

Human, Mouse, Rat

Applications

Immunohistochemistry, Immunohistochemistry-Paraffin, Western Blot, Immunocytochemistry/ Immunofluorescence

Label

Unconjugated

Antibody Source

Polyclonal Rabbit IgG

Format

BSA Free

Concentration

Concentrations vary lot to lot. See vial label for concentration. If unlisted please contact technical services.

Product Specifications

Immunogen

This antibody was developed against Recombinant Protein corresponding to amino acids: PKAESGRSGGGGLMEEMNAMLARRRKATQVGEKTPKDESANQEEPEARVPAQSESVRRPWEKNSTTLPRMKSSSSVTTSETQPCTPSSSDYSDLQRVKQELLEEVKKELQKVK

Marker

Focal Adhesion Marker

Clonality

Polyclonal

Host

Rabbit

Isotype

IgG

Description

Novus Biologicals Rabbit VASP Antibody - BSA Free (NBP1-85792) is a polyclonal antibody validated for use in IHC, WB and ICC/IF. Anti-VASP Antibody: Cited in 1 publication. All Novus Biologicals antibodies are covered by our 100% guarantee.

Scientific Data Images for VASP Antibody - BSA Free

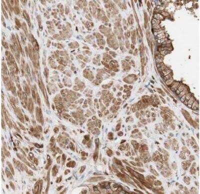
Immunohistochemistry-Paraffin: VASP Antibody [NBP1-85792]

Immunohistochemistry-Paraffin: VASP Antibody [NBP1-85792]

Immunohistochemistry-Paraffin: VASP Antibody [NBP1-85792] - Analysis in human lymph node and skeletal muscle tissues using NBP1-85792 antibody. Corresponding VASP RNA-seq data are presented for the same tissues.
Immunocytochemistry/ Immunofluorescence: VASP Antibody [NBP1-85792]

Immunocytochemistry/ Immunofluorescence: VASP Antibody [NBP1-85792]

Immunocytochemistry/Immunofluorescence: VASP Antibody [NBP1-85792] - Staining of human cell line A-431 shows localization to plasma membrane, cytosol & focal adhesion sites. Antibody staining is shown in green.
Immunohistochemistry-Paraffin: VASP Antibody [NBP1-85792]

Immunohistochemistry-Paraffin: VASP Antibody [NBP1-85792]

Immunohistochemistry-Paraffin: VASP Antibody [NBP1-85792] - Staining of human skeletal muscle shows no positivity in myocytes as expected.

Applications for VASP Antibody - BSA Free

Application
Recommended Usage

Immunocytochemistry/ Immunofluorescence

0.25-2 ug/ml

Immunohistochemistry

1:500 - 1:1000

Immunohistochemistry-Paraffin

1:500 - 1:1000

Western Blot

0.04 - 0.4 ug/ml
Application Notes
For IHC-Paraffin, HIER pH 6 retrieval is recommended. ICC/IF Fixation Permeabilization: Use PFA/Triton X-100.

Formulation, Preparation, and Storage

Purification

Immunogen affinity purified

Formulation

PBS (pH 7.2) and 40% Glycerol

Format

BSA Free

Preservative

0.02% Sodium Azide

Concentration

Concentrations vary lot to lot. See vial label for concentration. If unlisted please contact technical services.

Shipping

The product is shipped with polar packs. Upon receipt, store it immediately at the temperature recommended below.

Stability & Storage

Store at 4C short term. Aliquot and store at -20C long term. Avoid freeze-thaw cycles.

Background: VASP

Vasodilator-stimulated phosphoprotein (VASP) is a member of the Ena-VASP protein family. VASP is associated with filamentous actin formation and likely plays a widespread role in cell adhesion and motility. VASP may also be involved in the intracellular signaling pathways that regulate integrin-extracellular matrix interactions. VASP is regulated by the cyclic nucleotide-dependent kinases PKA and PKG. VASP shares a limited degree of homology with the amino terminus of WASP, which is frequently mutated in Wiskott-Aldrich syndrome (WAS) patients. An established substrate of cAMP and cGMP dependent kinases, VASP is phosphorylated on a regulatory serine residue 157 and localizes to focal adhesions, microfilaments and highly active regions of the plasma membrane. VASP is highly expressed in human platelets and, like WASP, may play a role in cytoskeletal organization.

Long Name

Vasodilator-stimulated Phosphoprotein

Alternate Names

vasodilator-stimulated phosphoprotein

Gene Symbol

VASP

Additional VASP Products

Product Documents for VASP Antibody - BSA Free

Certificate of Analysis

To download a Certificate of Analysis, please enter a lot number in the search box below.

Product Specific Notices for VASP Antibody - BSA Free

This product is for research use only and is not approved for use in humans or in clinical diagnosis. Primary Antibodies are guaranteed for 1 year from date of receipt.

Loading...
Loading...
Loading...
Loading...